[과개교합] 과개교합
임유림 Date. 2023-06-07 Hit. 3422

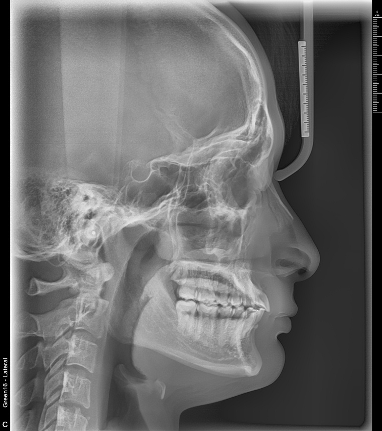
치료 전 사진입니다.

치료 후 사진입니다.

치료 전 사진입니다.

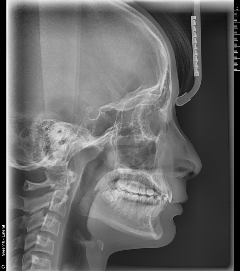
치료 후 사진입니다.

치료 전 사진입니다.

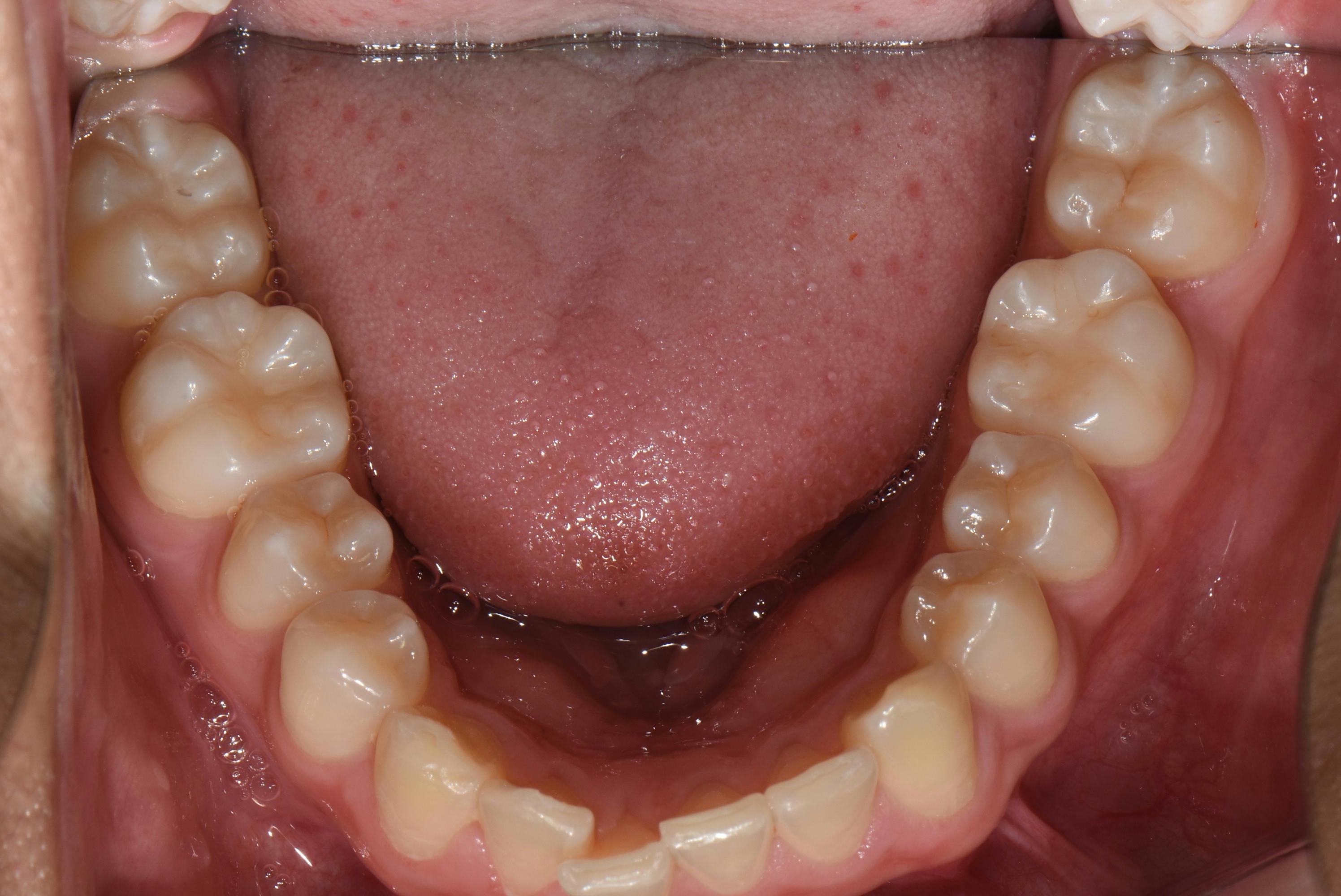
치료 후 사진입니다.