[덧니교정] 덧니교정
임유림 Date. 2023-05-22 Hit. 4007

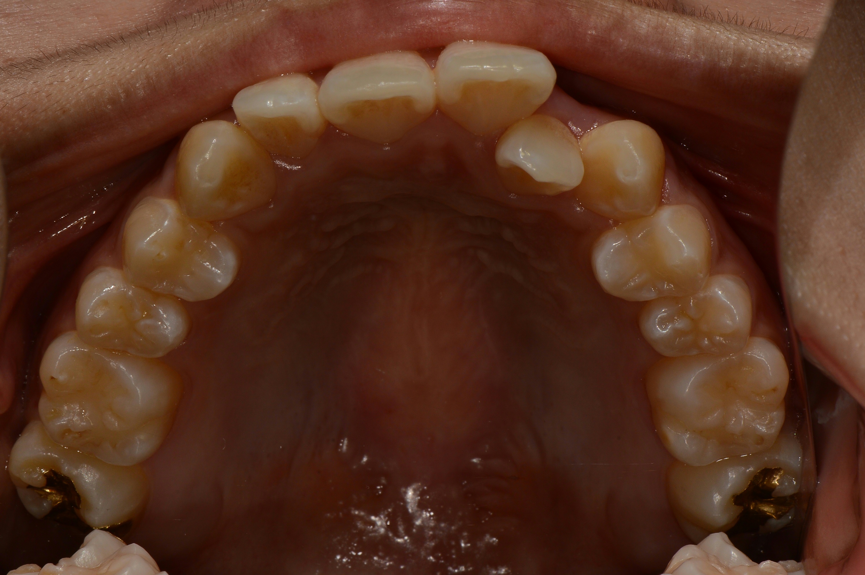
치료 전 사진입니다.

치료 후 사진입니다.

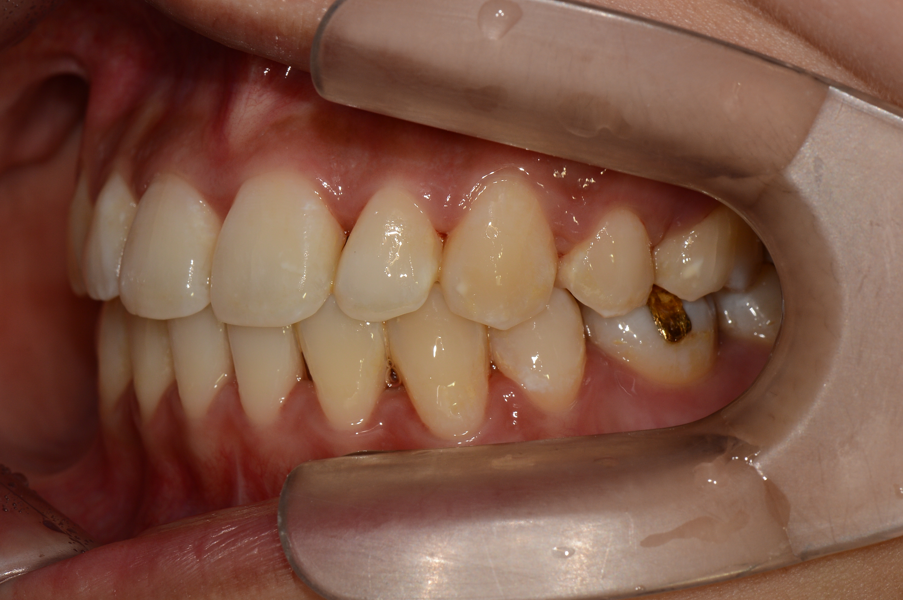
치료 전 사진입니다.

치료 후 사진입니다.

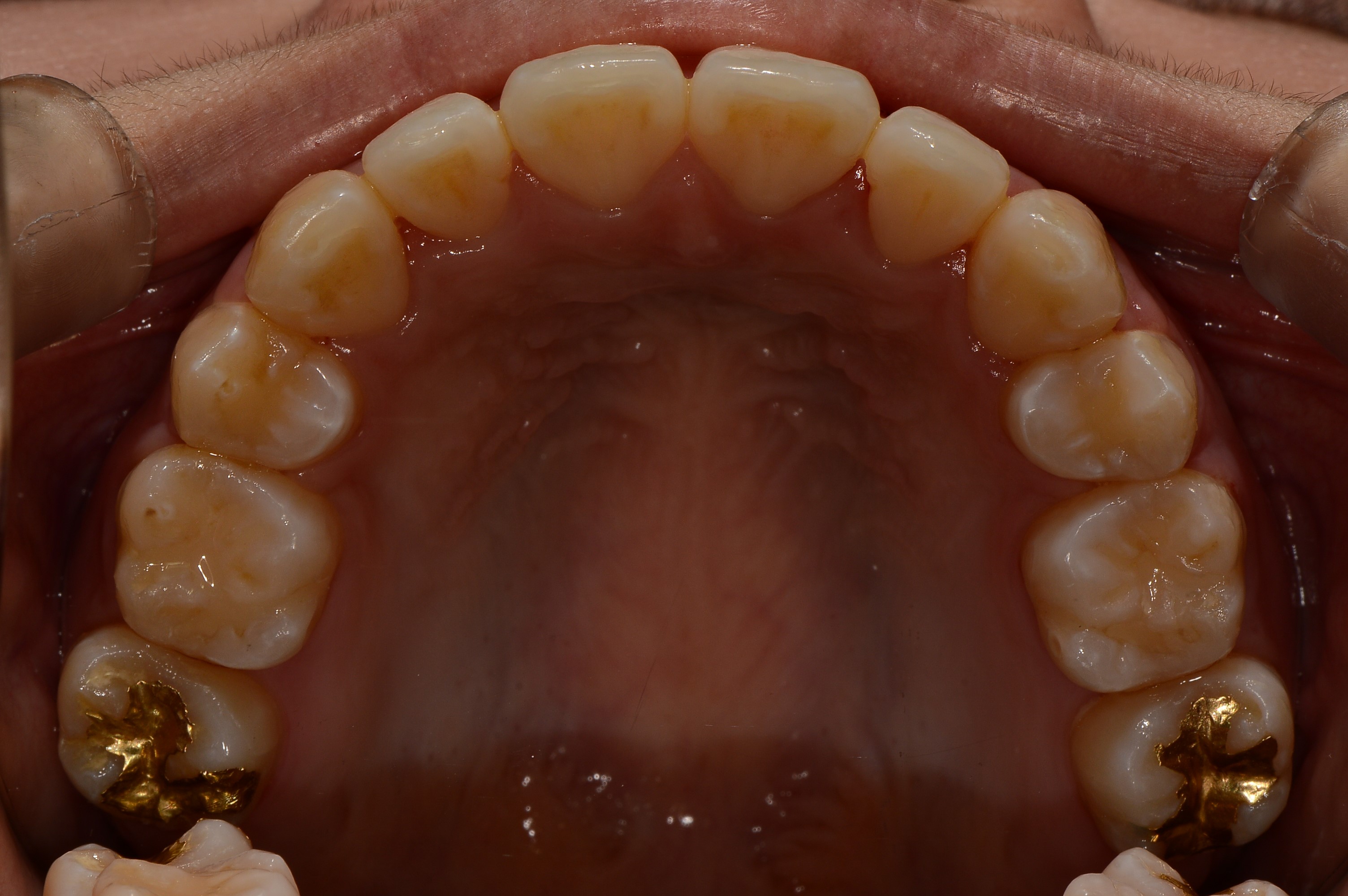
치료 전 사진입니다.

치료 후 사진입니다.