[반대교합/주걱턱] 비수술 반대교합 개선 / 덧니
임유림 Date. 2023-04-21 Hit. 3796

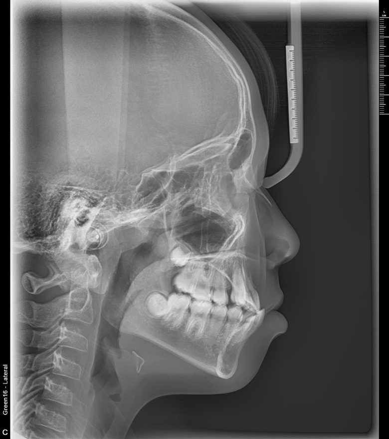
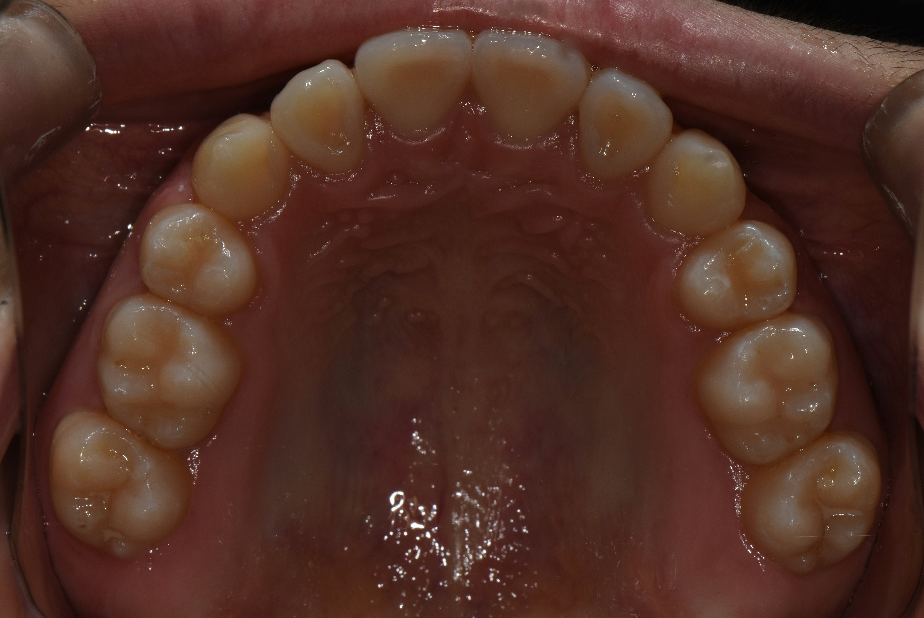
치료 전 사진입니다.

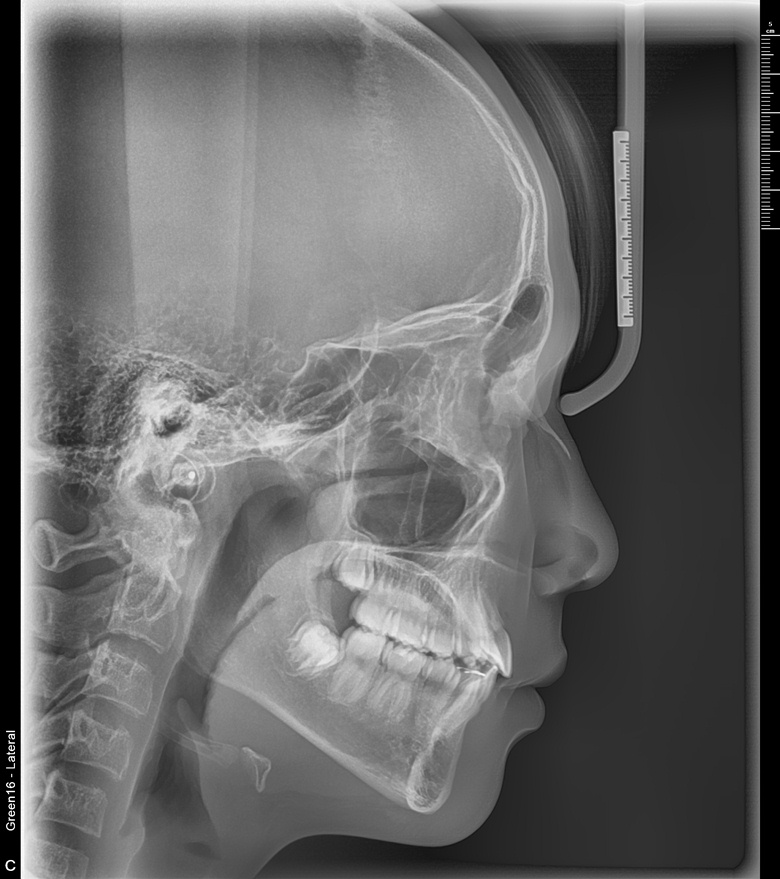
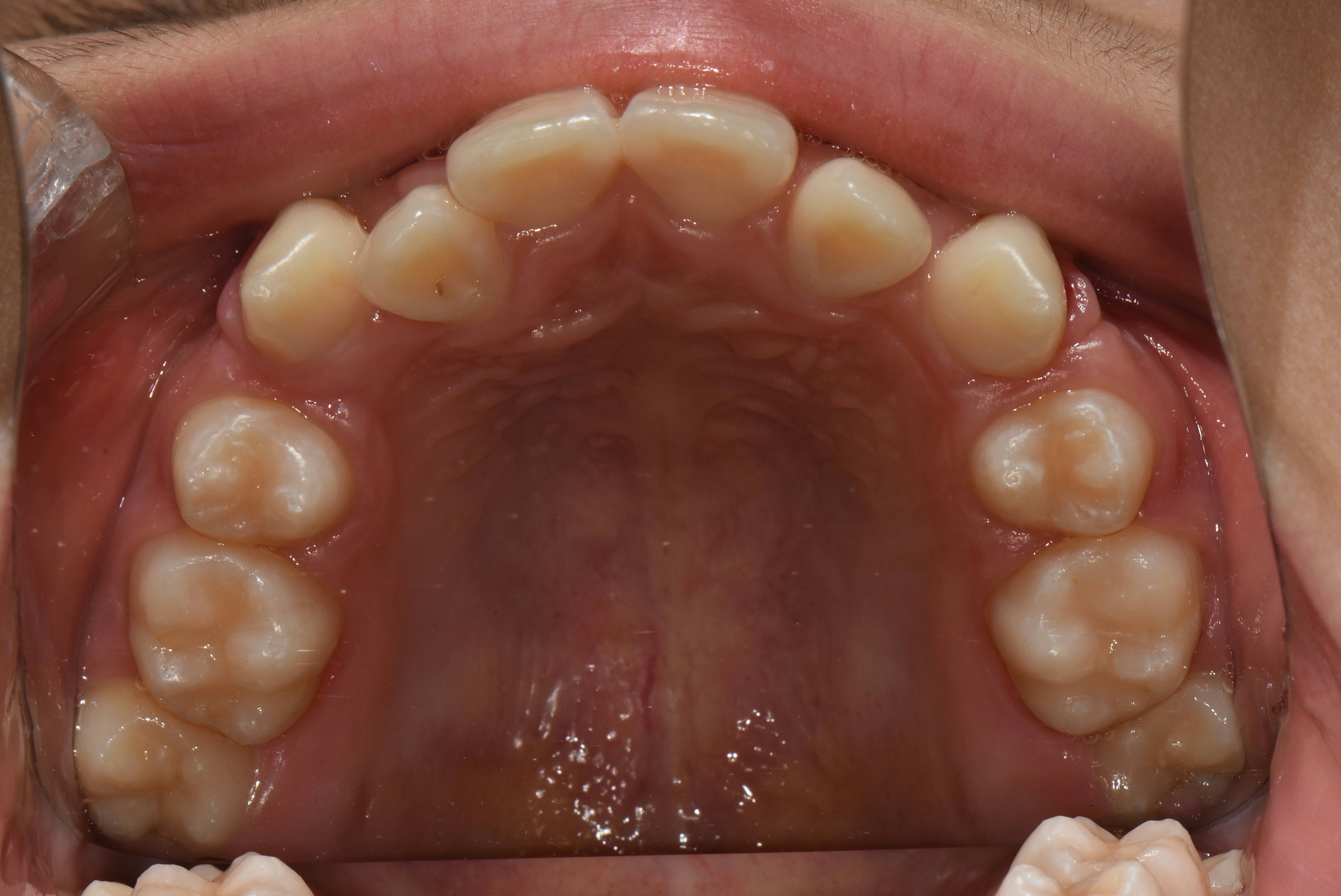
치료 후 사진입니다.

치료 전 사진입니다.

치료 후 사진입니다.

치료 전 사진입니다.

치료 후 사진입니다.