[돌출입] 덧니교정/ 돌출입
임유림 Date. 2023-04-11 Hit. 4452

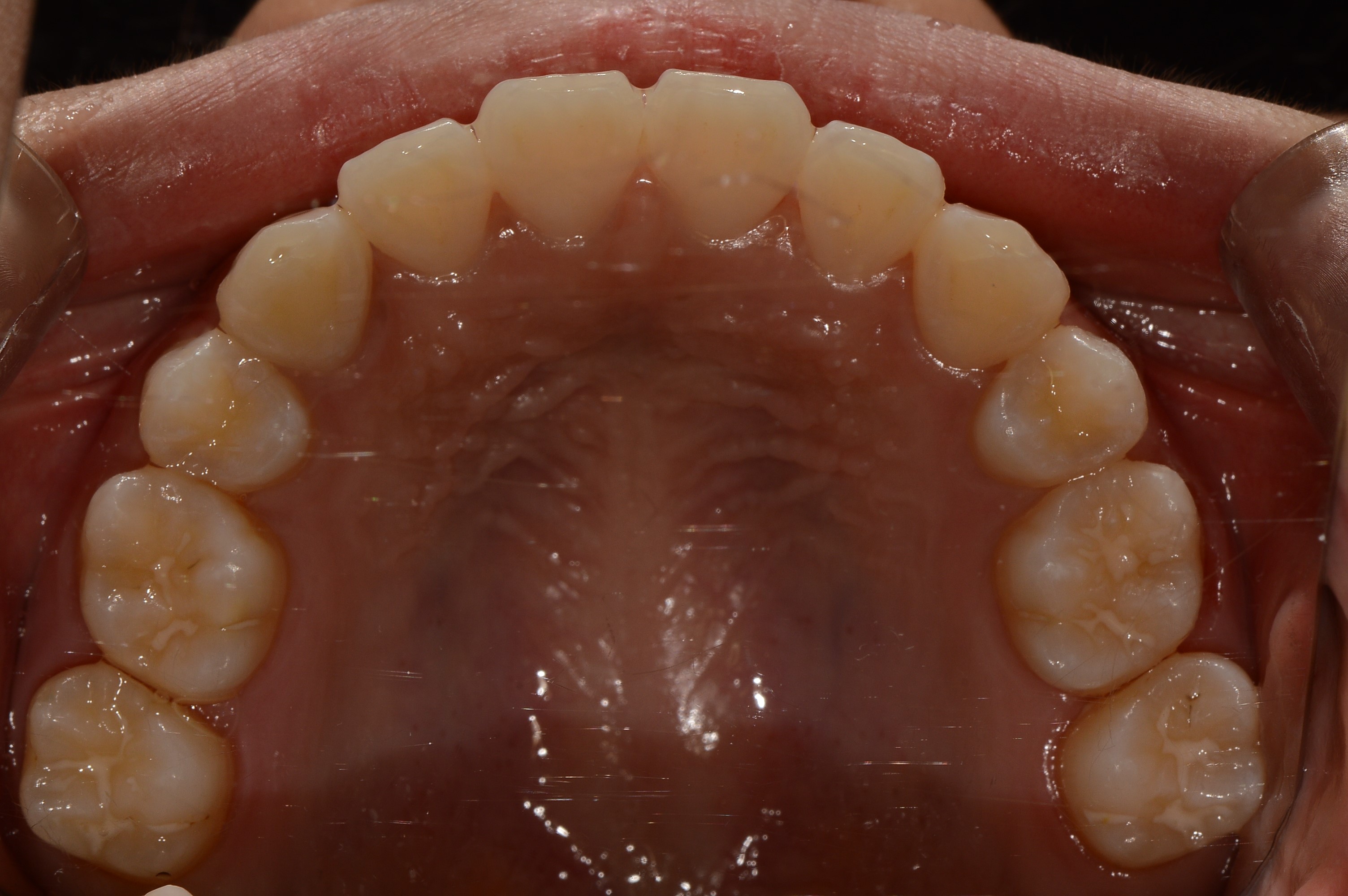
치료 전 사진입니다.

치료 후 사진입니다.

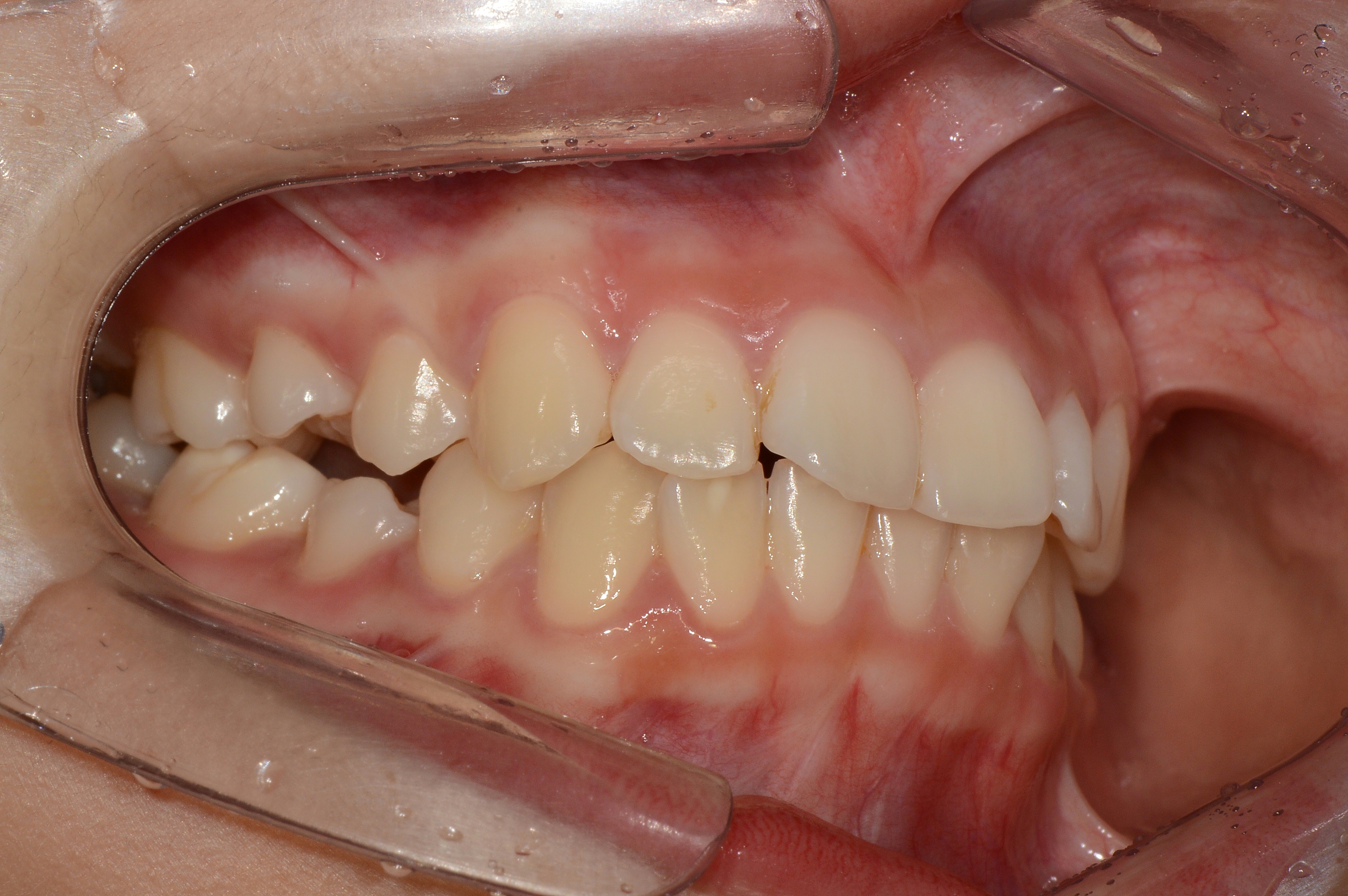
치료 전 사진입니다.

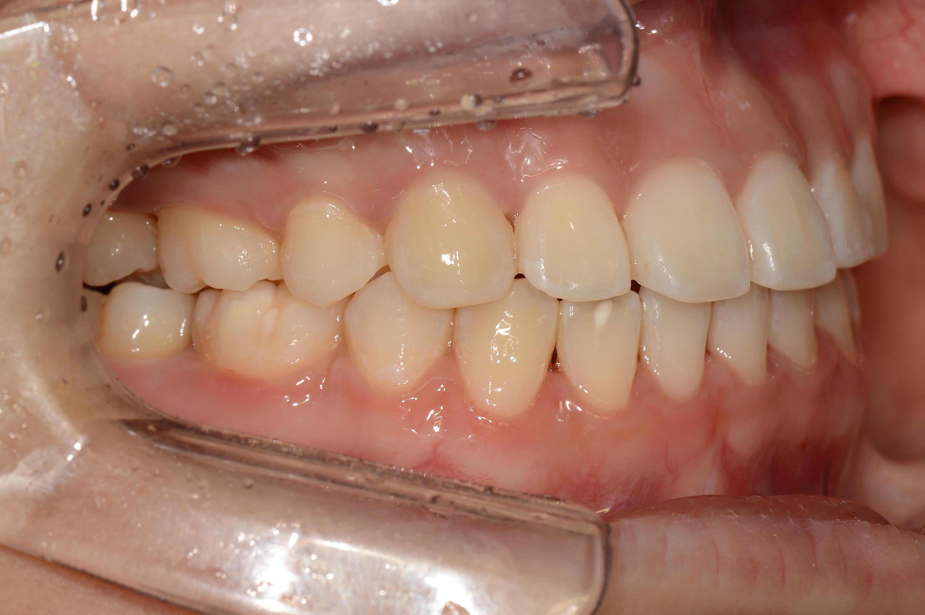
치료 후 사진입니다.

치료 전 사진입니다.

치료 후 사진입니다.