[덧니교정] 덧니교정
임유림 Date. 2023-03-07 Hit. 4330

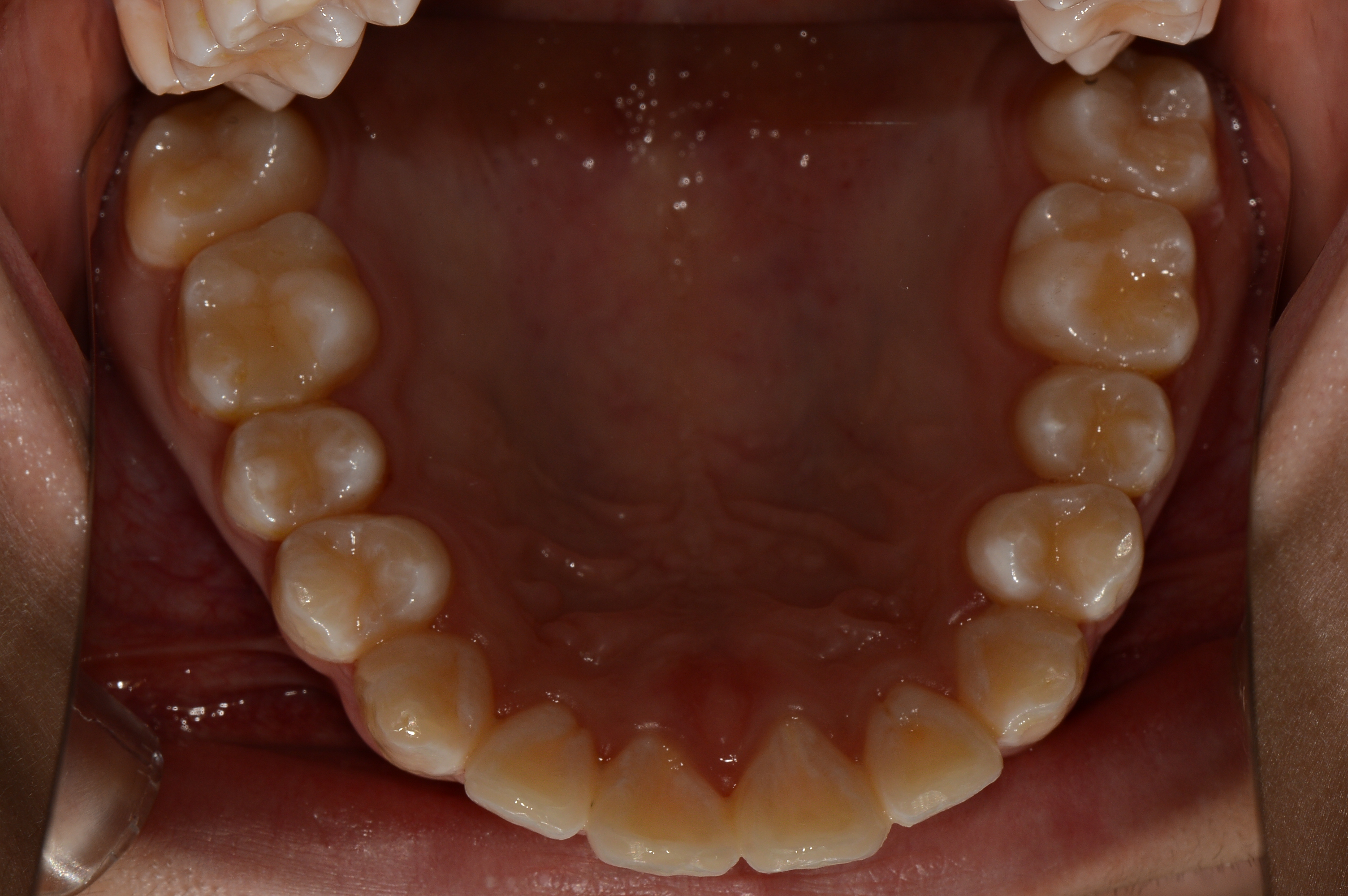
치료 전 사진입니다.

치료 후 사진입니다.

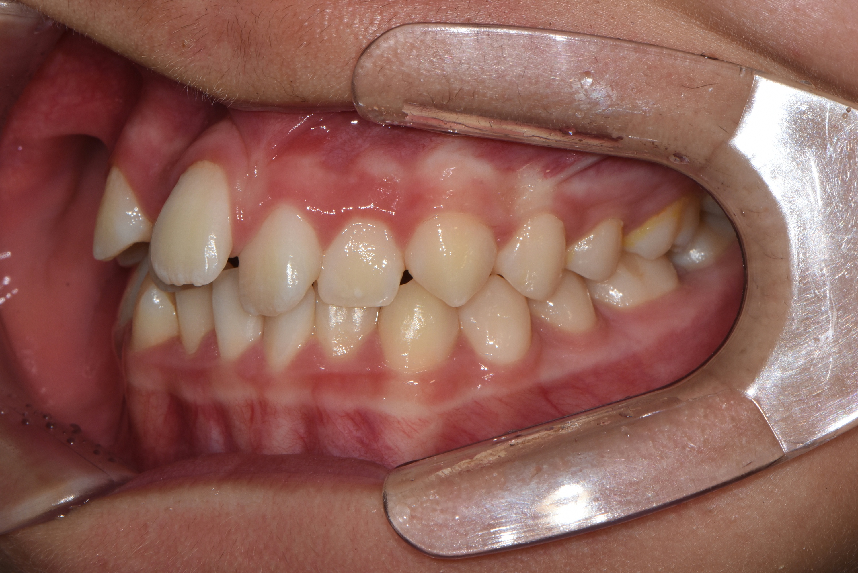
치료 전 사진입니다.

치료 후 사진입니다.

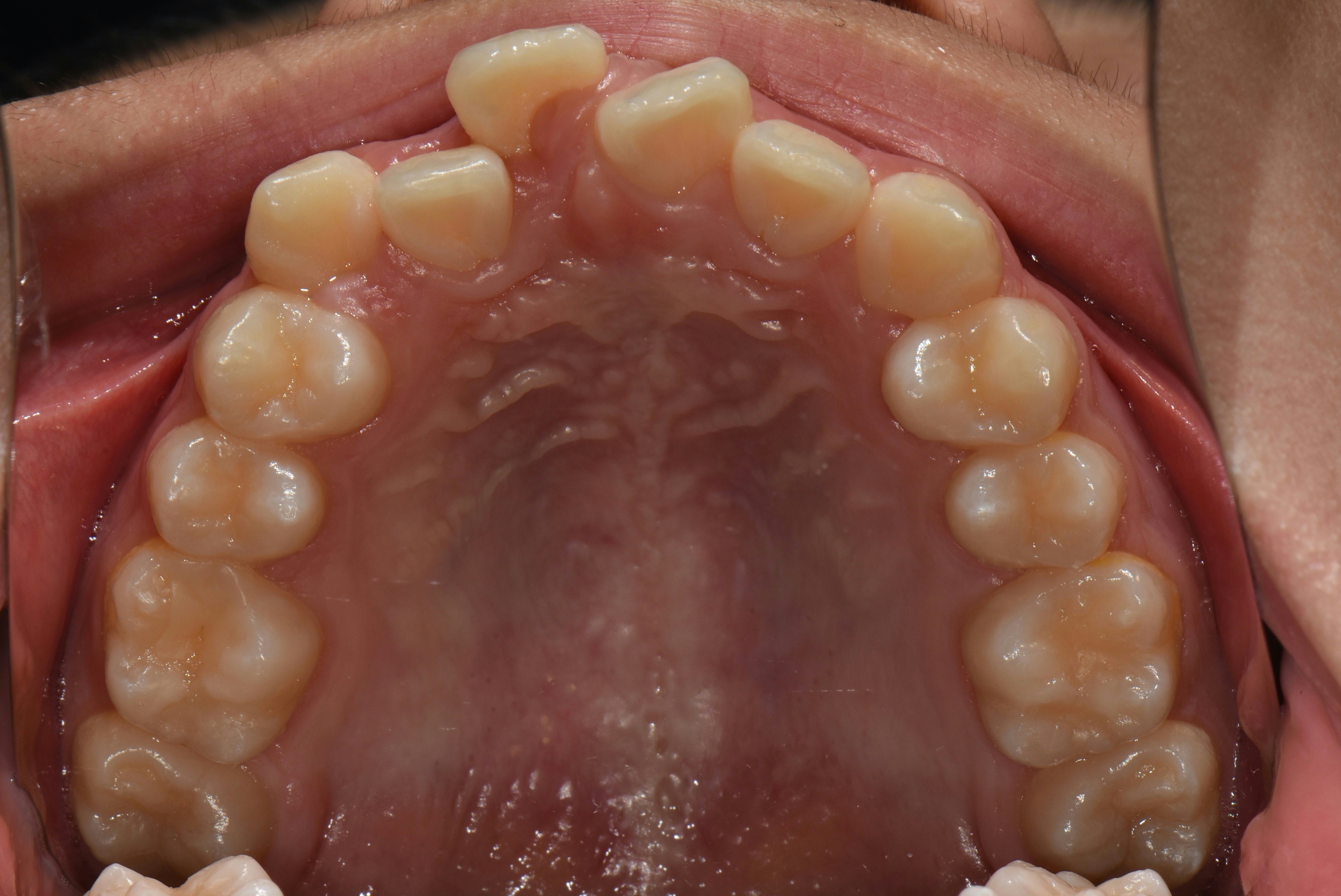
치료 전 사진입니다.

치료 후 사진입니다.