[개방교합] 개방교합
임유림 Date. 2023-02-22 Hit. 3908

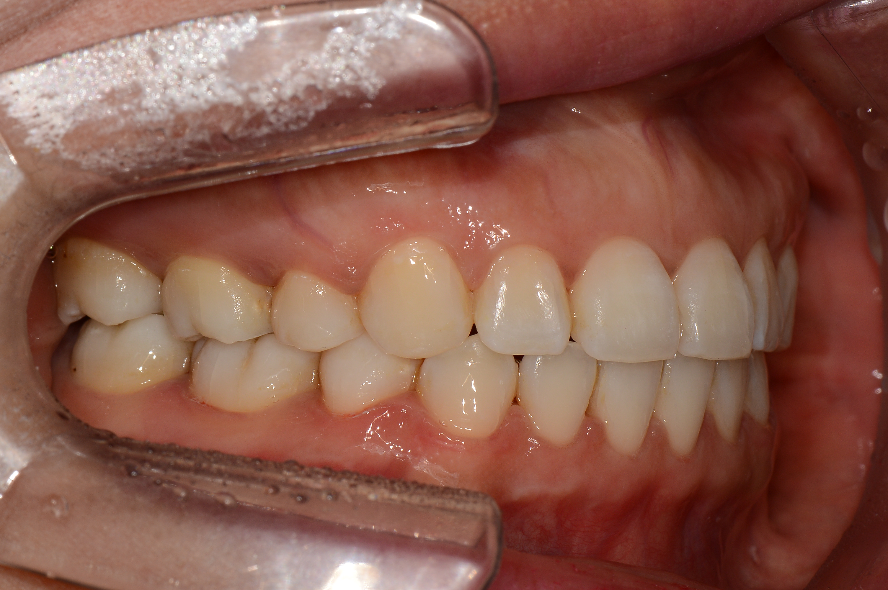
치료 전 사진입니다.

치료 후 사진입니다.

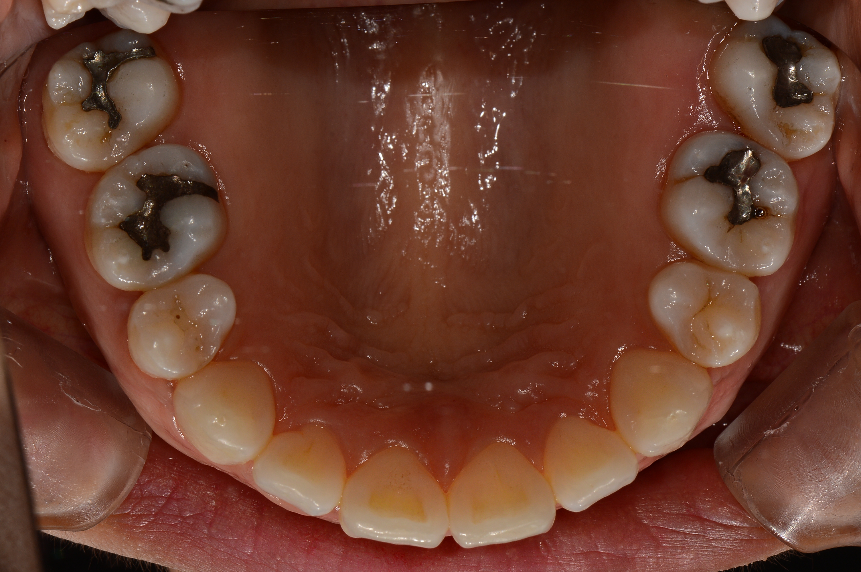
치료 전 사진입니다.

치료 후 사진입니다.

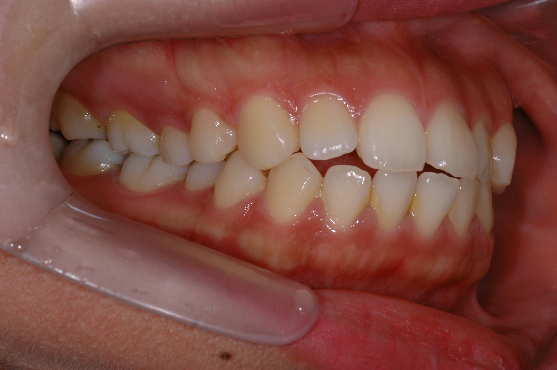
치료 전 사진입니다.

치료 후 사진입니다.