[돌출입] 과개교합, 돌출입
임유림 Date. 2022-12-21 Hit. 4318

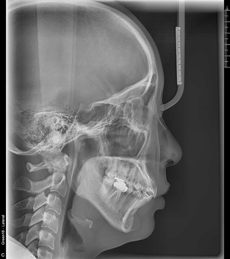
치료 전 사진입니다.

치료 후 사진입니다.

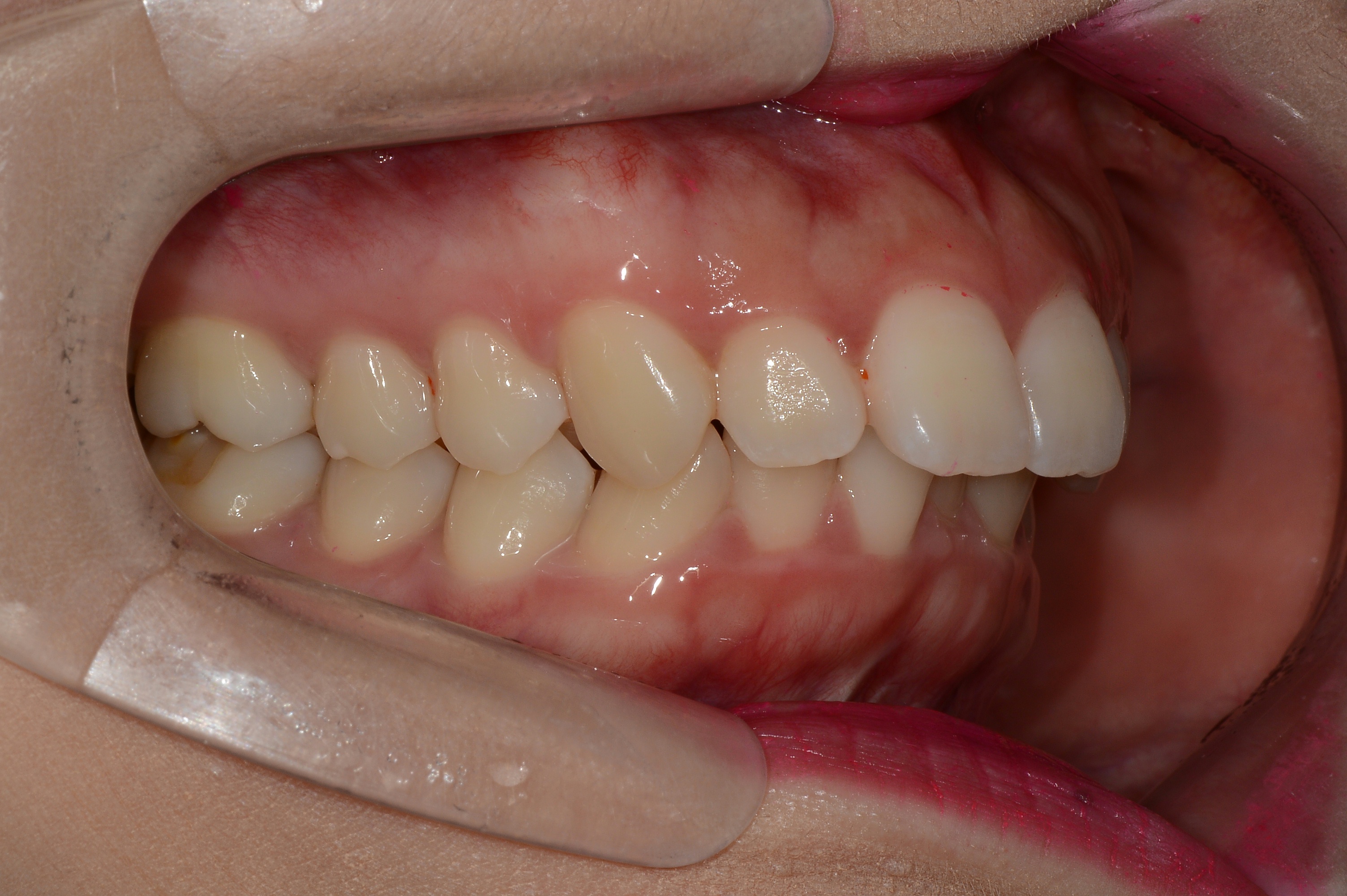
치료 전 사진입니다.

치료 후 사진입니다.

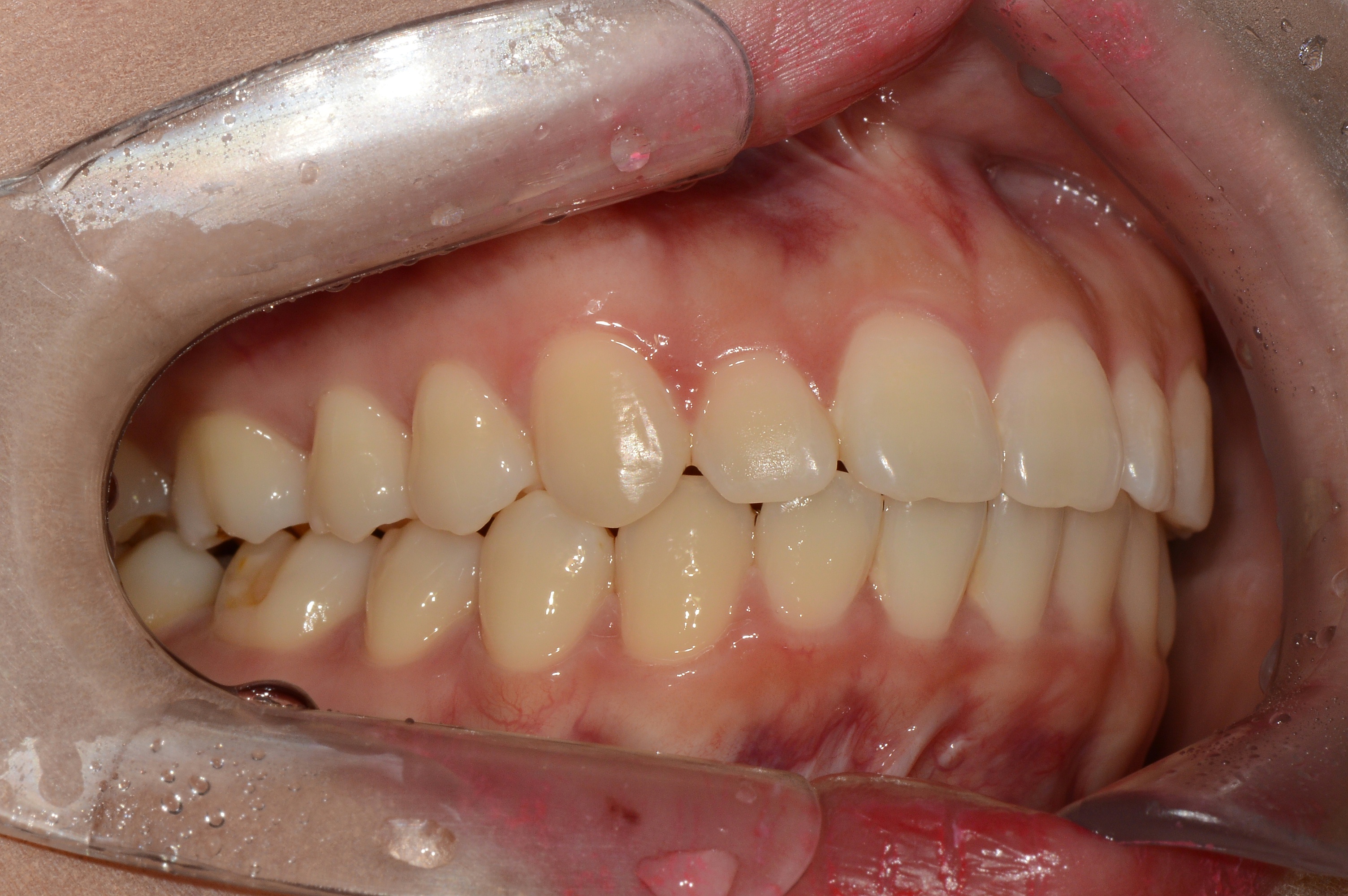
치료 전 사진입니다.

치료 후 사진입니다.