[덧니교정] 덧니교정
스마일라인치과 Date. 2022-11-07 Hit. 4685

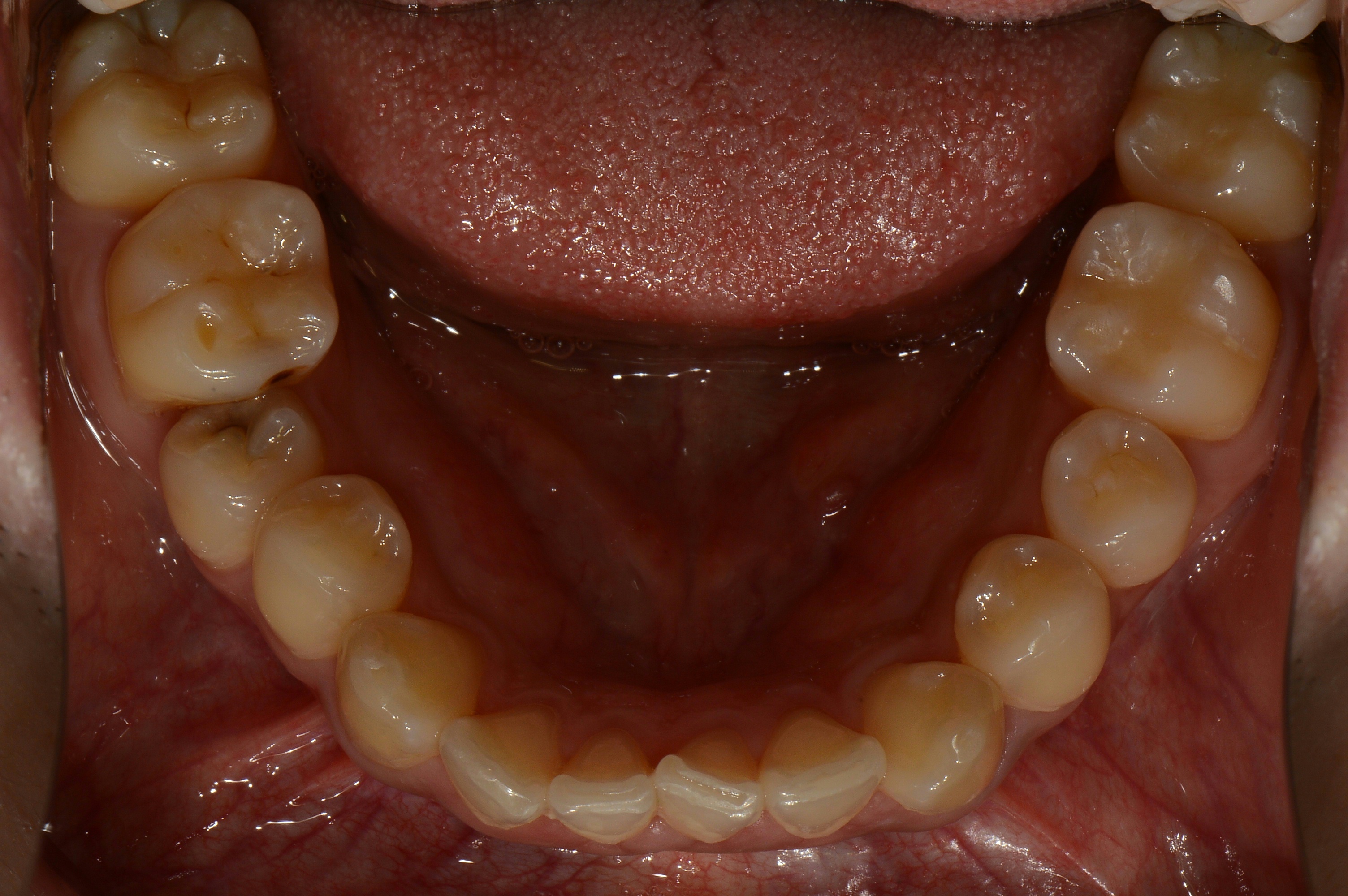
치료 전 사진입니다.

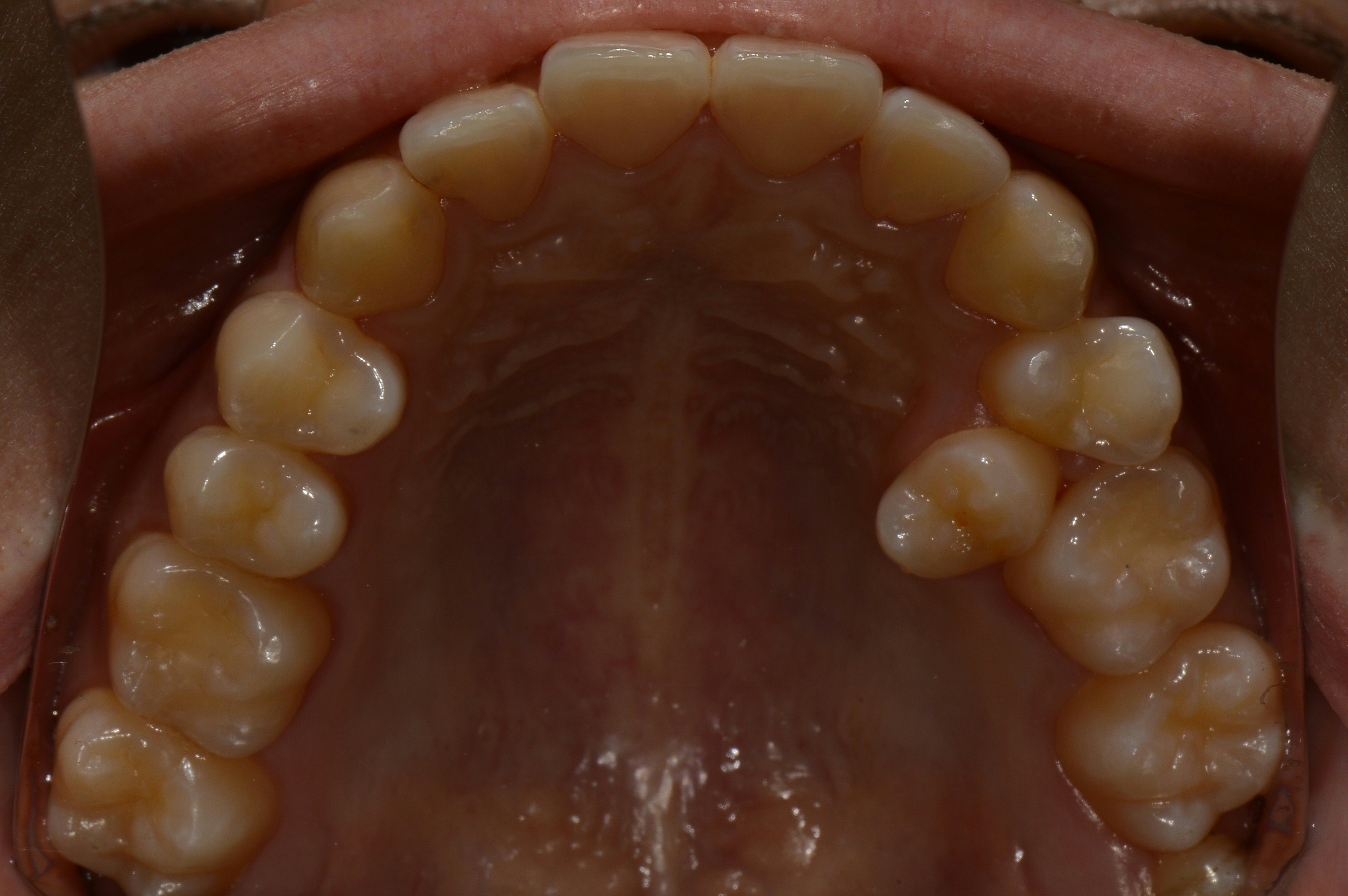
치료 후 사진입니다.

치료 전 사진입니다.

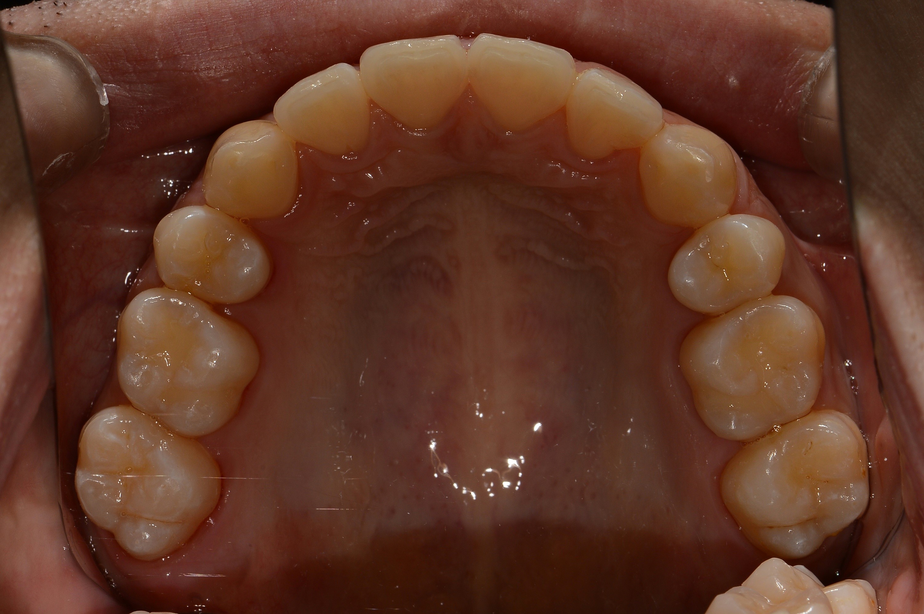
치료 후 사진입니다.

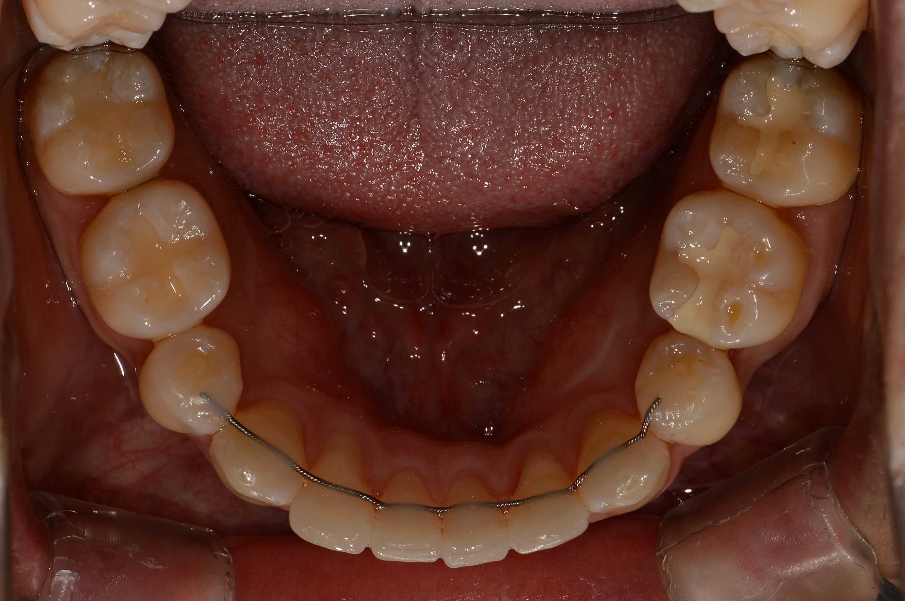
치료 전 사진입니다.

치료 후 사진입니다.