[돌출입] 돌출입
스마일라인치과 Date. 2022-10-07 Hit. 4626

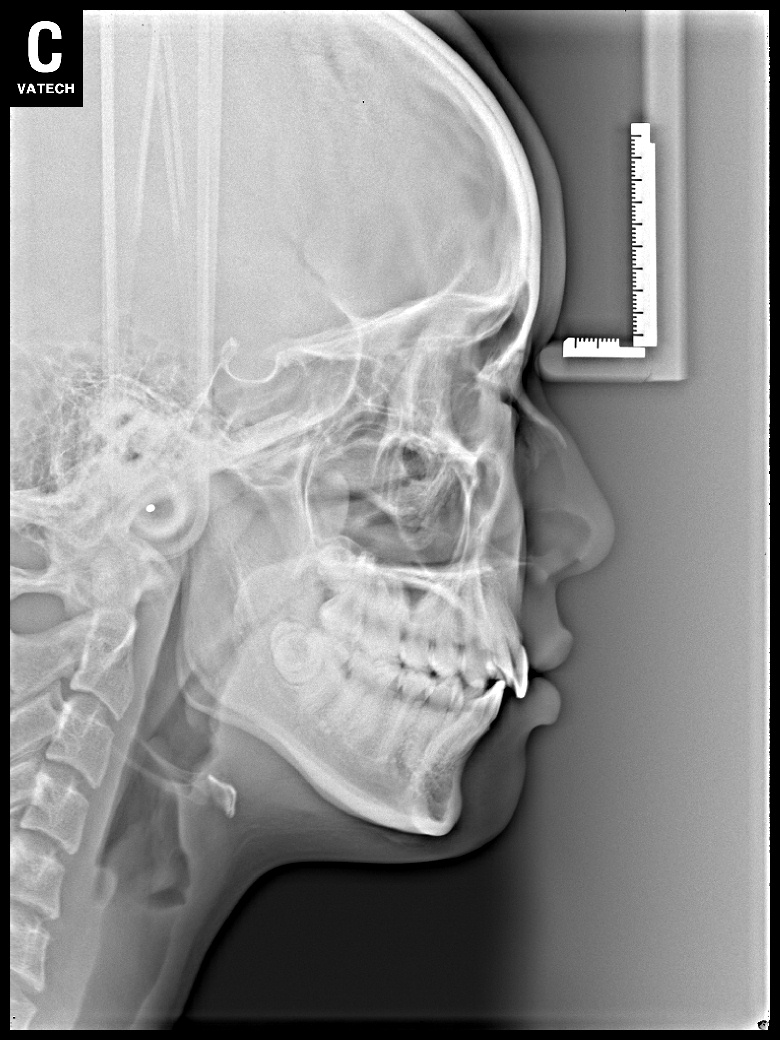
치료 전 사진입니다.

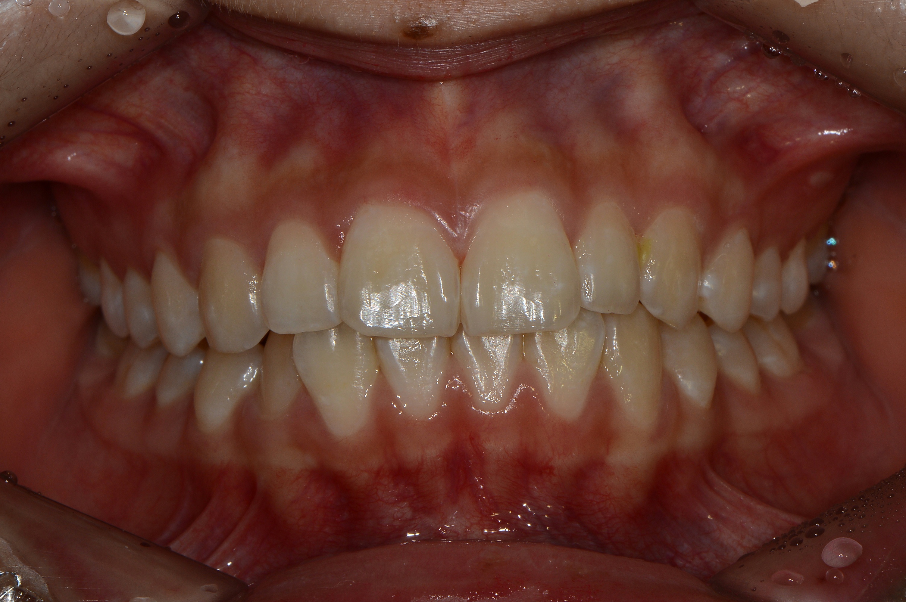
치료 후 사진입니다.

치료 전 사진입니다.

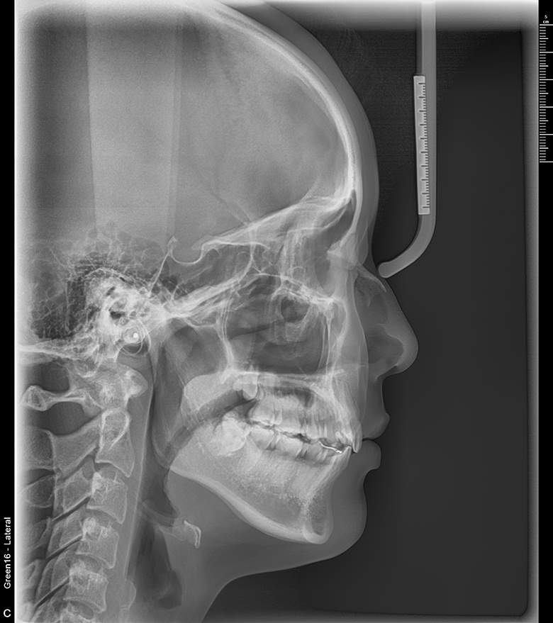
치료 후 사진입니다.

치료 전 사진입니다.

치료 후 사진입니다.