[반대교합/주걱턱] 비수술 반대교합 개선
스마일라인치과 Date. 2022-09-19 Hit. 4566

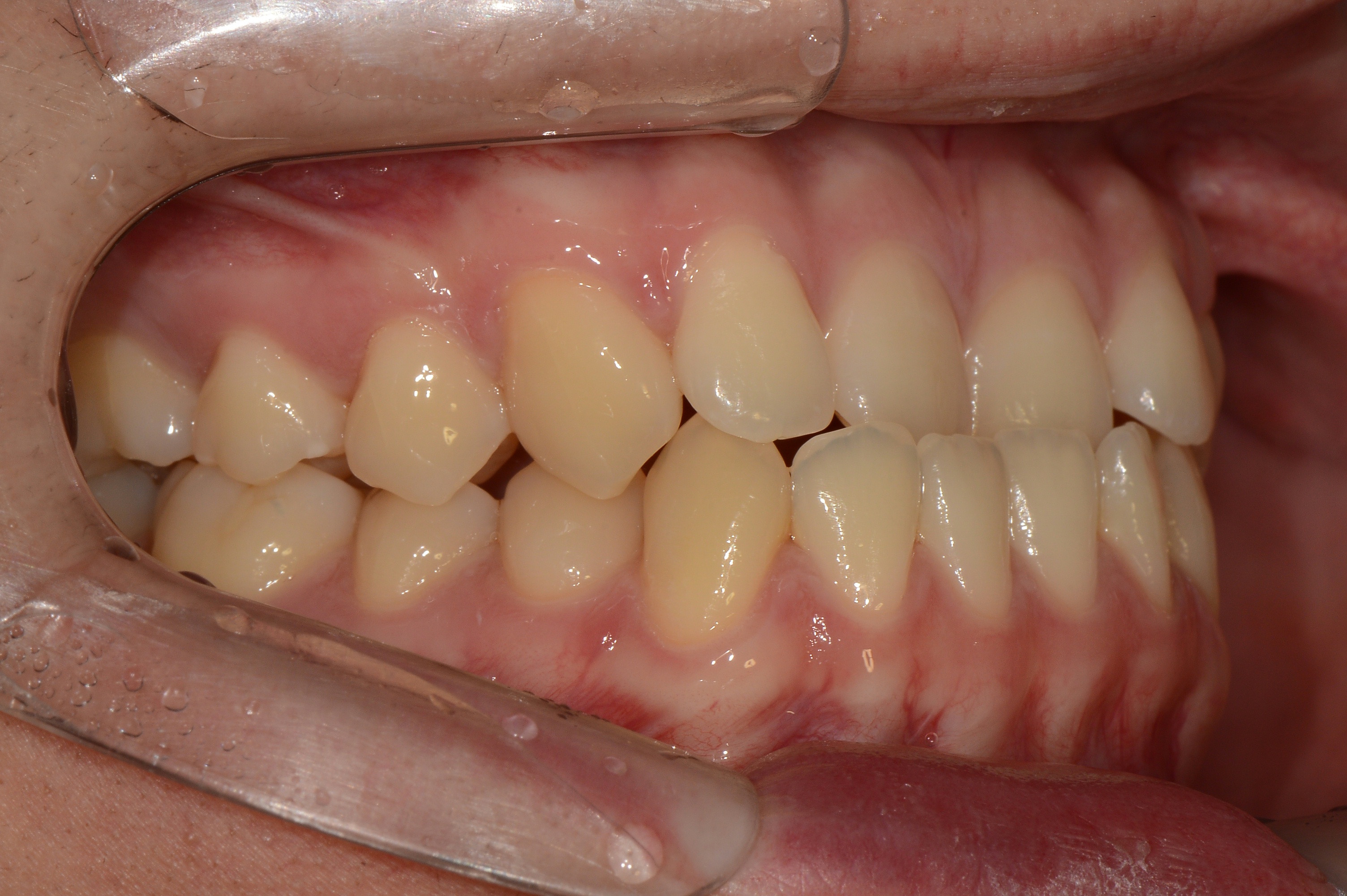
치료 전 사진입니다.

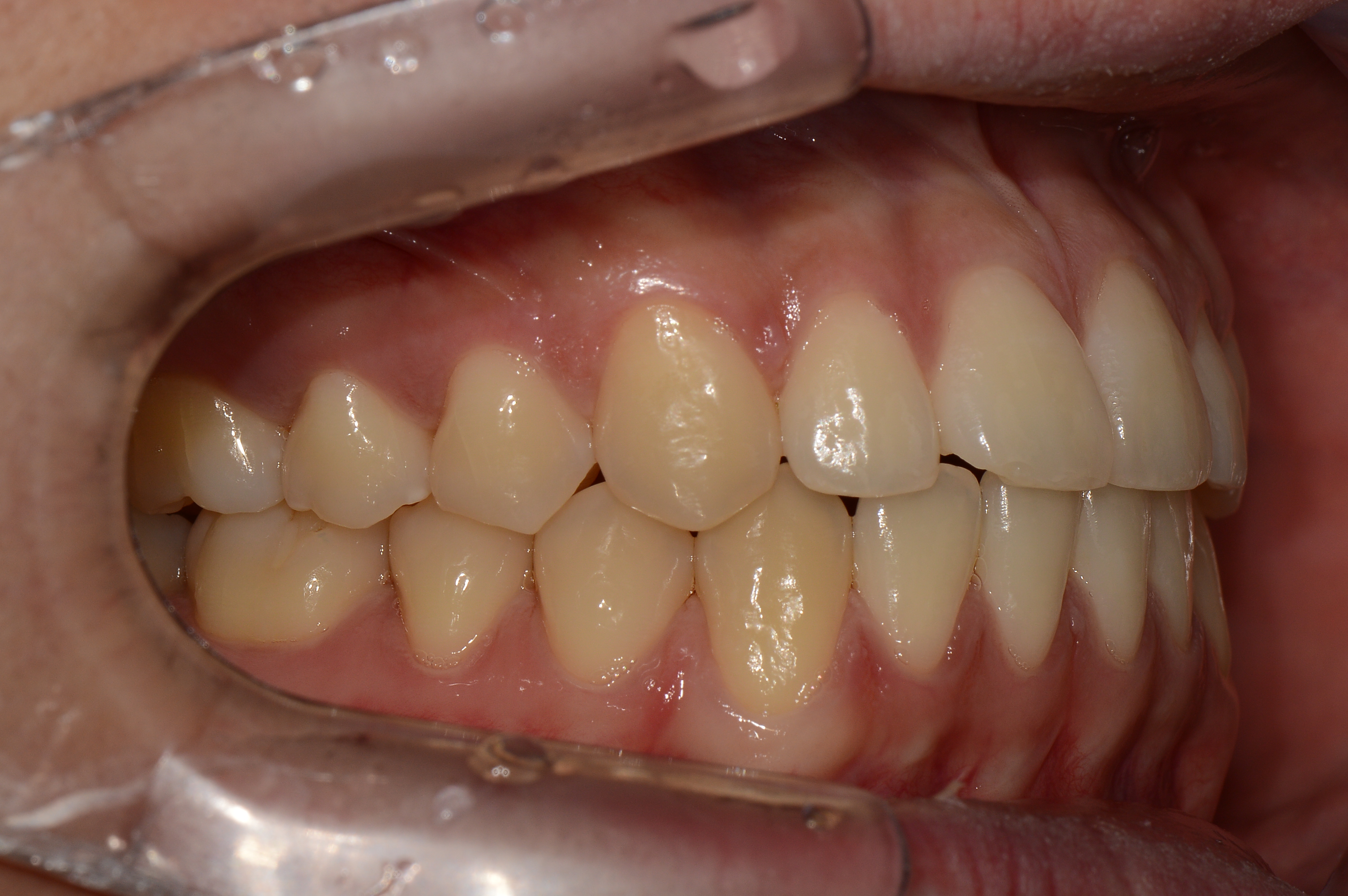
치료 후 사진입니다.

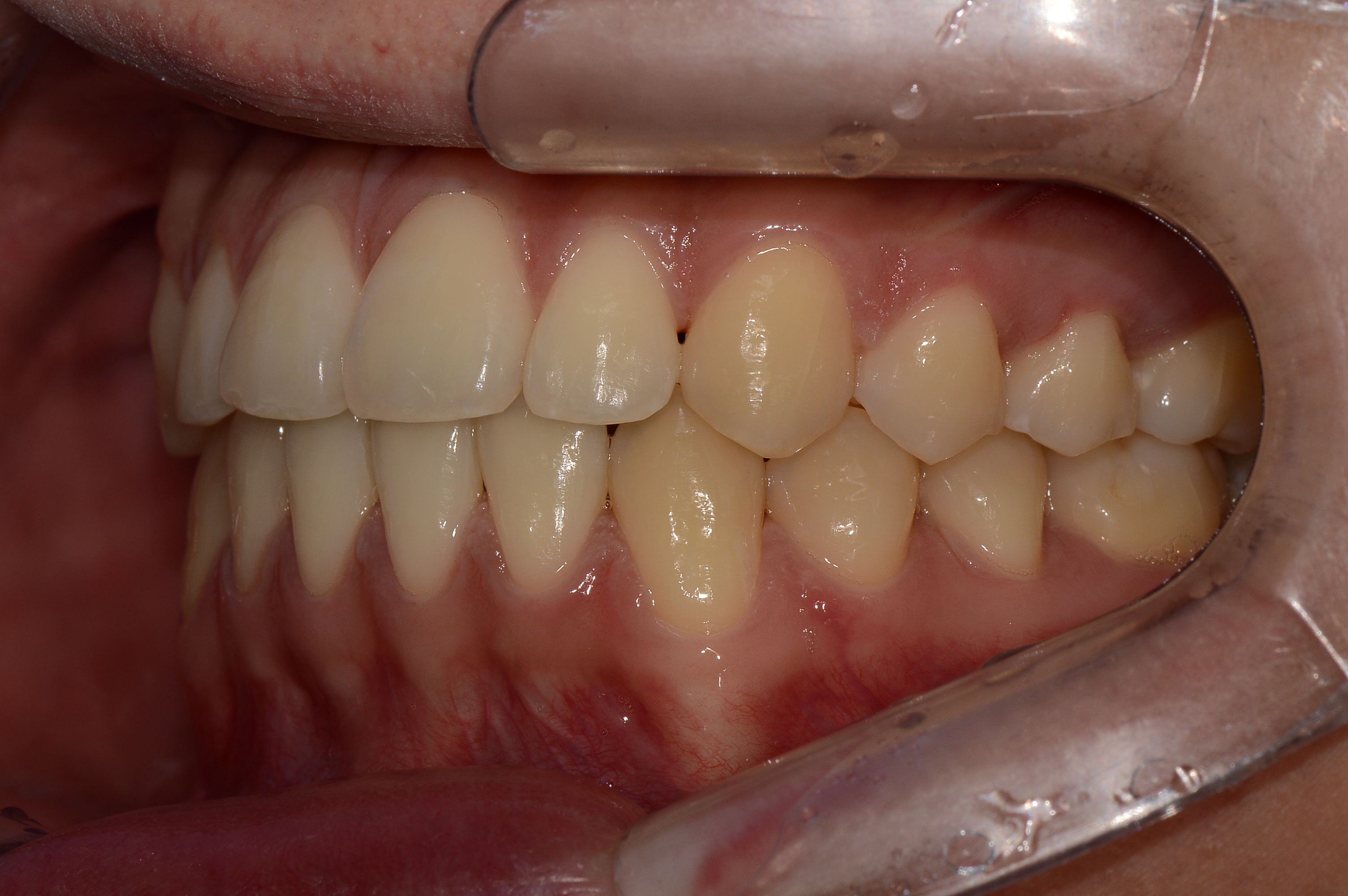
치료 전 사진입니다.

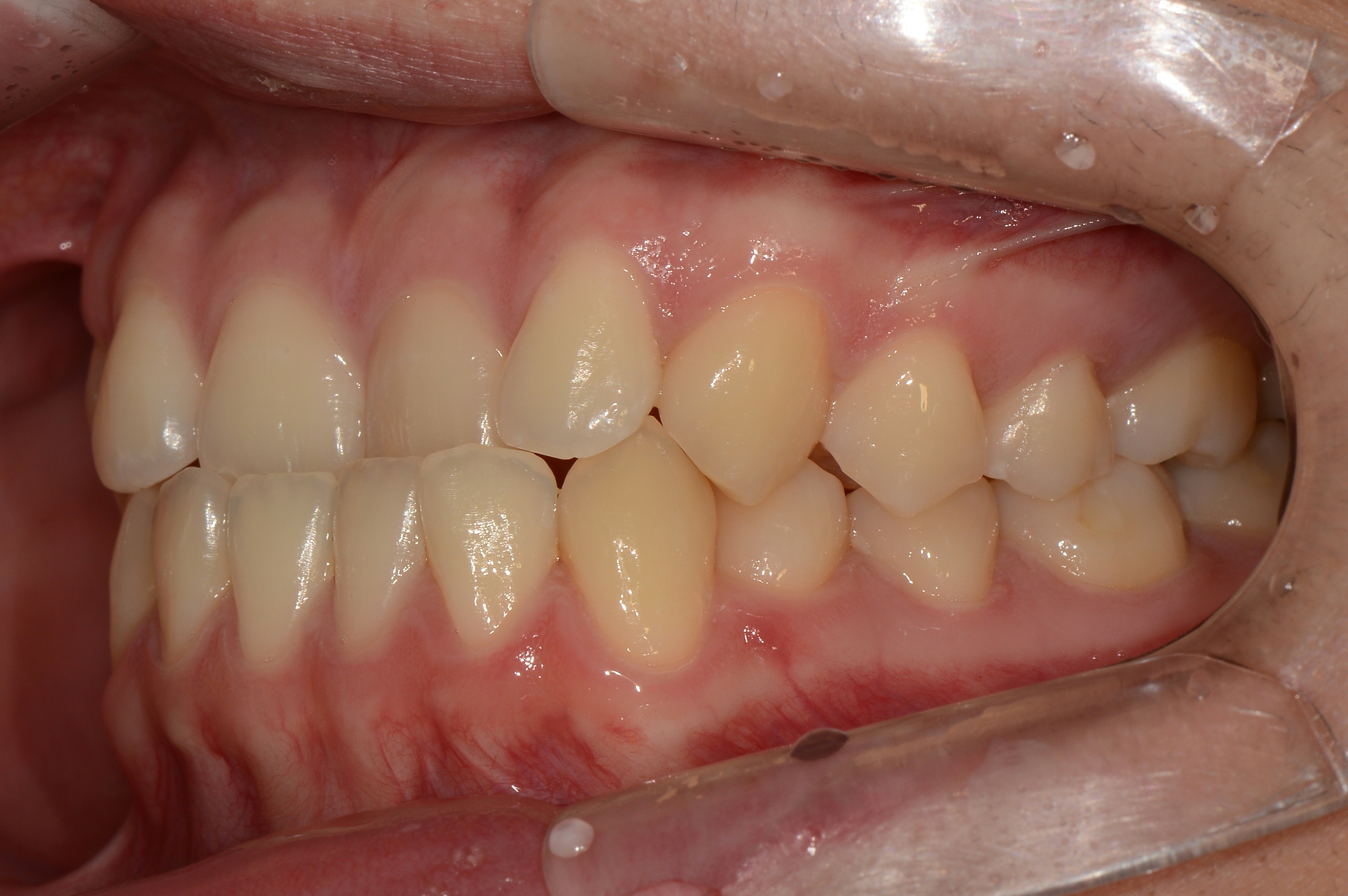
치료 후 사진입니다.

치료 전 사진입니다.

치료 후 사진입니다.