[벌어진치아] 벌어진치아
스마일라인치과 Date. 2022-09-19 Hit. 4393

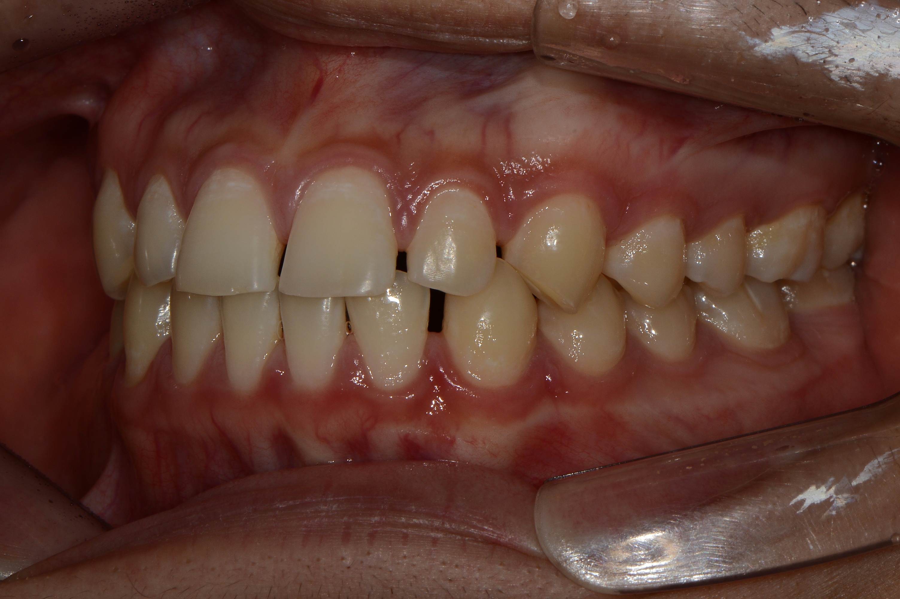
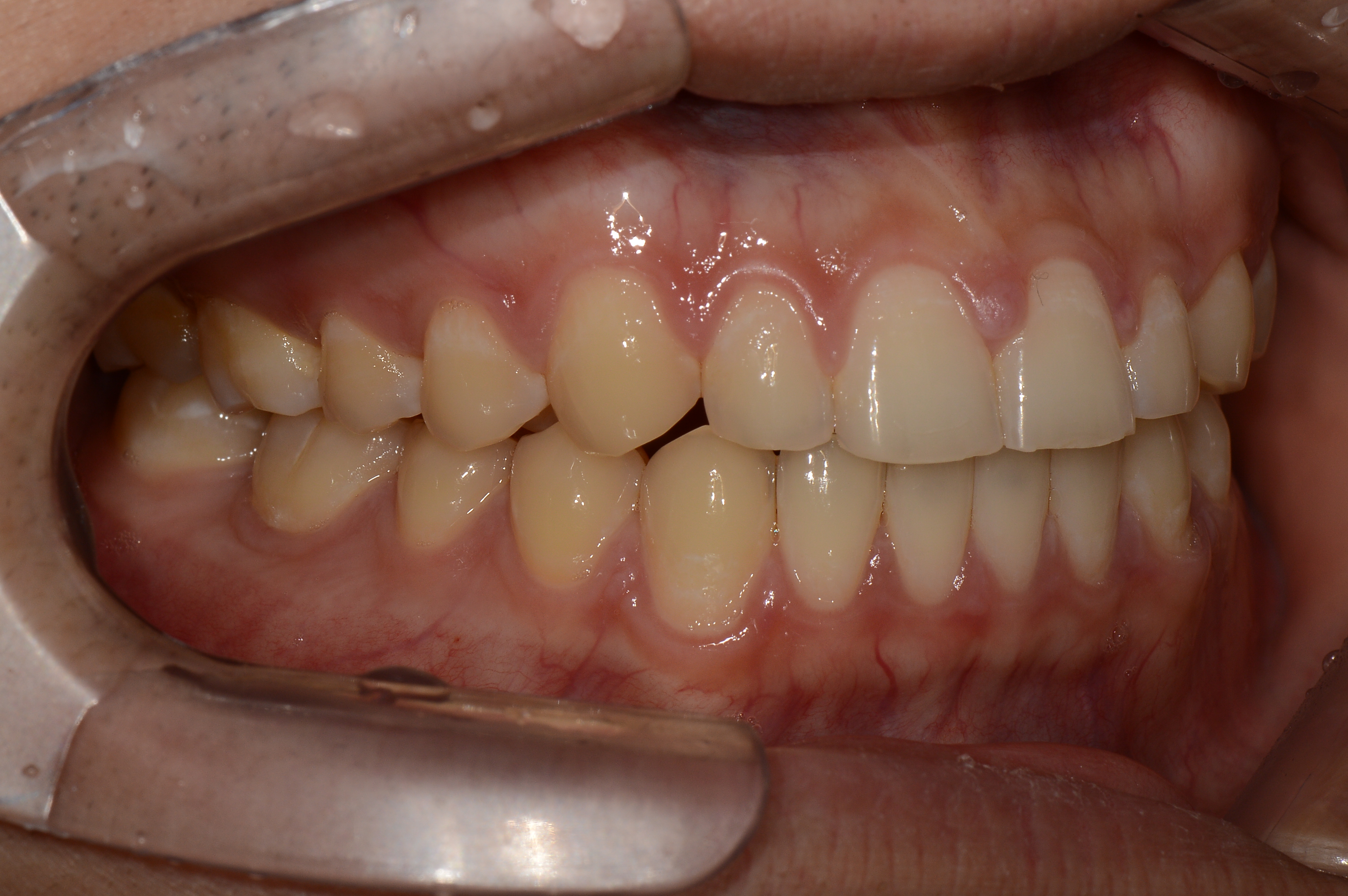
치료 전 사진입니다.

치료 후 사진입니다.

치료 전 사진입니다.

치료 후 사진입니다.

치료 전 사진입니다.

치료 후 사진입니다.