[개방교합] 개방교합
스마일라인치과 Date. 2021-11-30 Hit. 5082

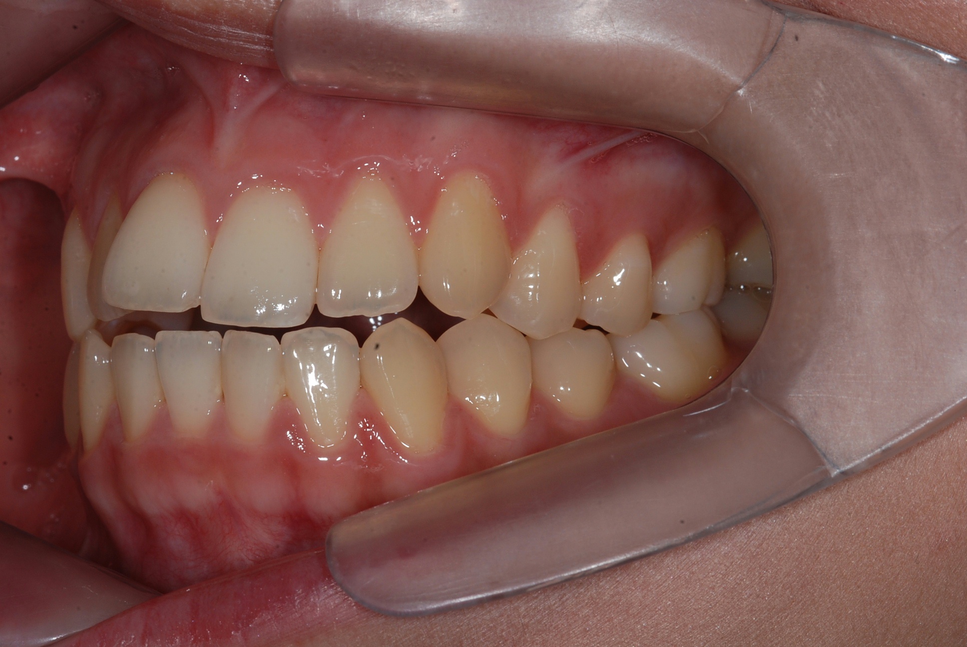
치료 전 사진입니다.

치료 후 사진입니다.

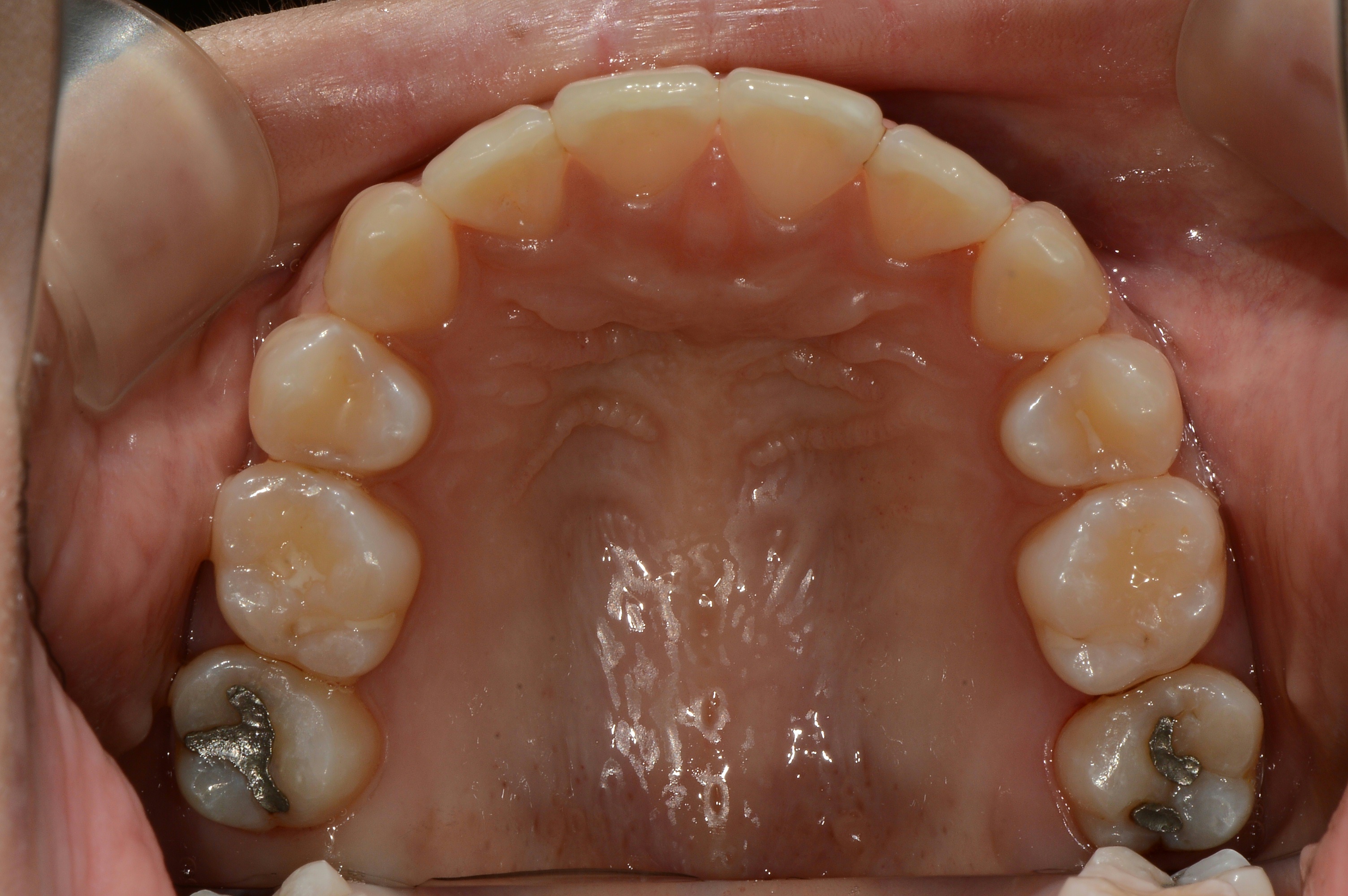
치료 전 사진입니다.

치료 후 사진입니다.

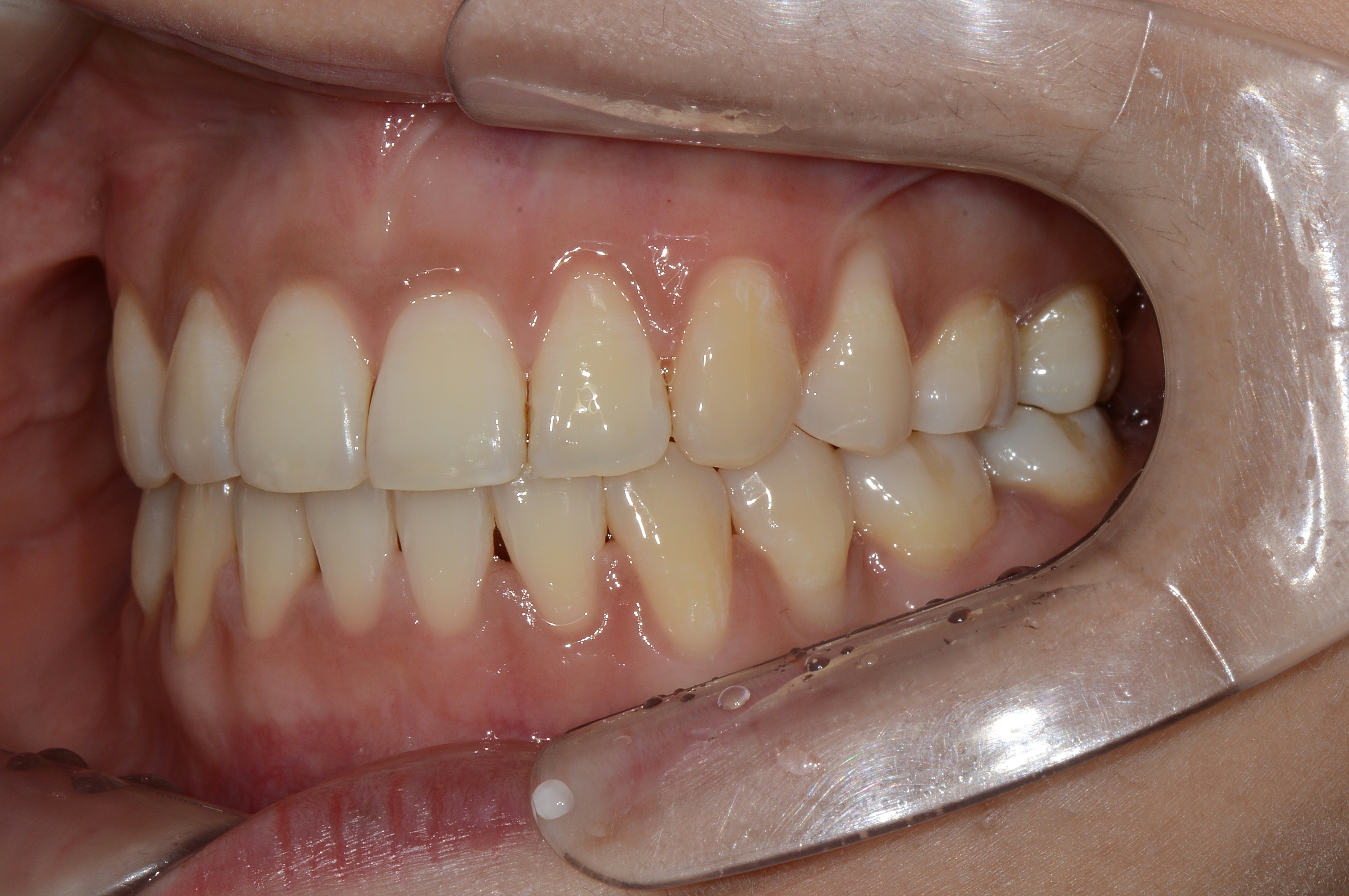
치료 전 사진입니다.

치료 후 사진입니다.