[개방교합] 덧니, 개방교합 교정
스마일라인치과 Date. 2021-06-08 Hit. 5611

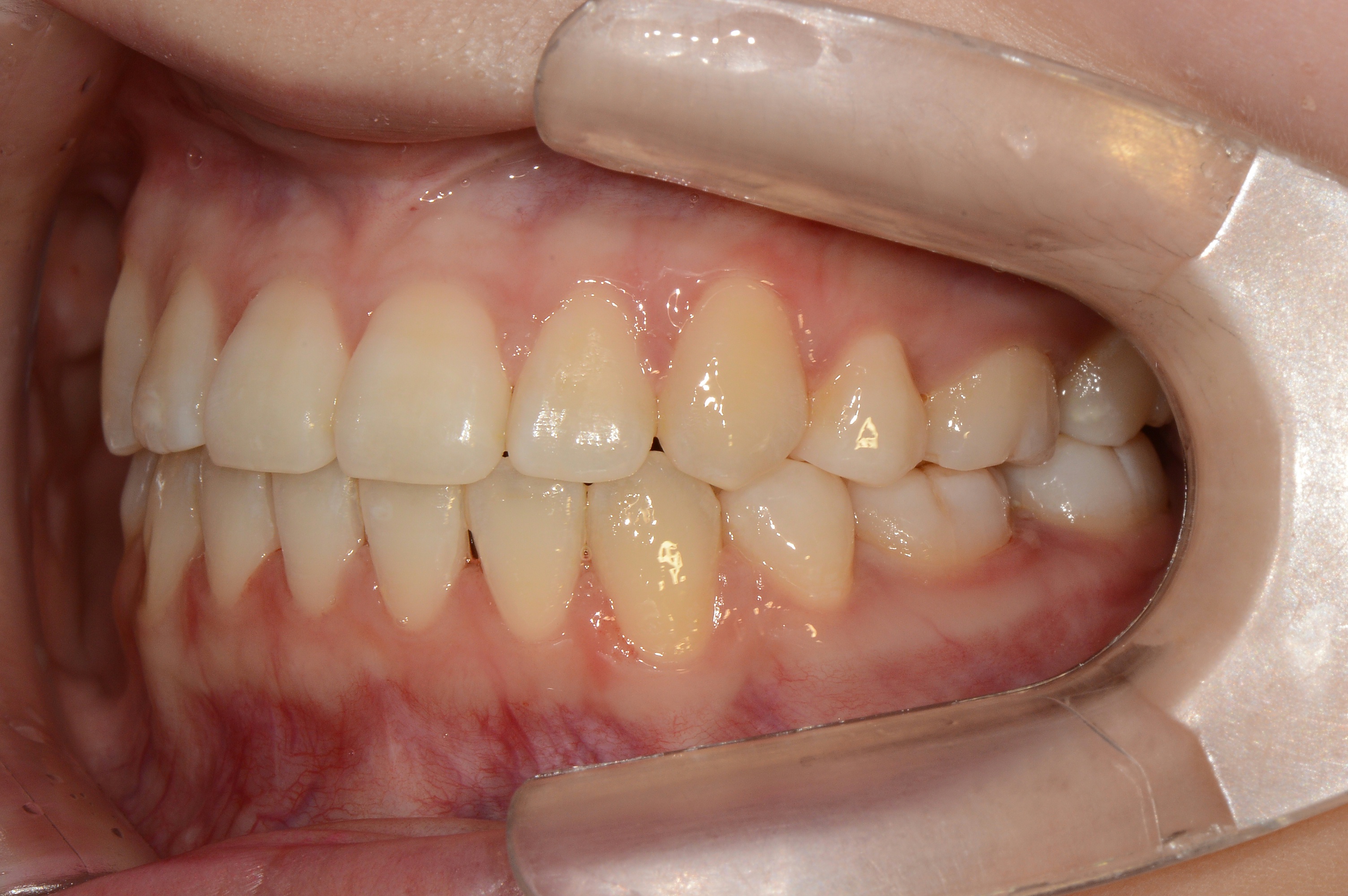
치료 전 사진입니다.

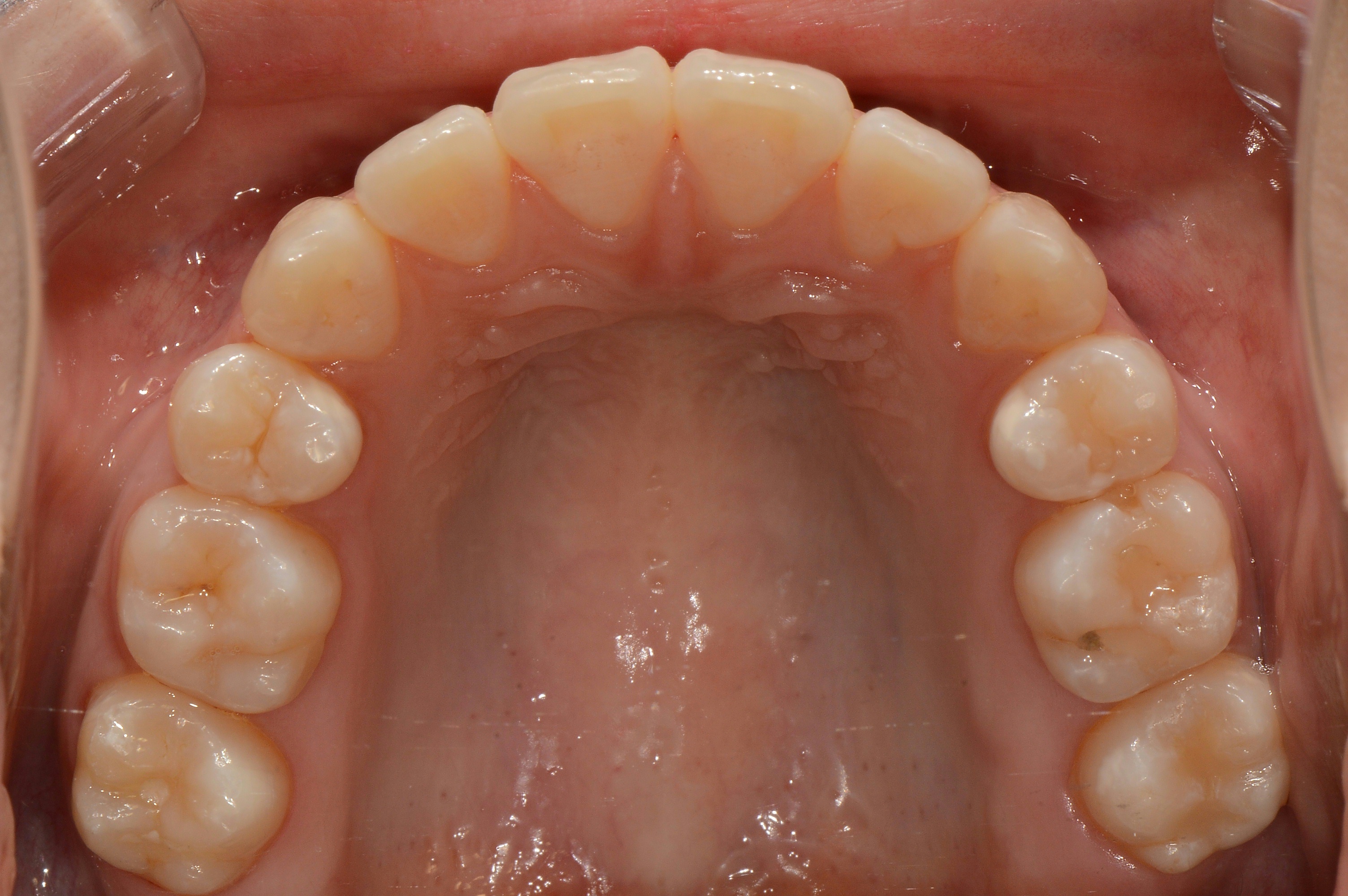
치료 후 사진입니다.

치료 전 사진입니다.

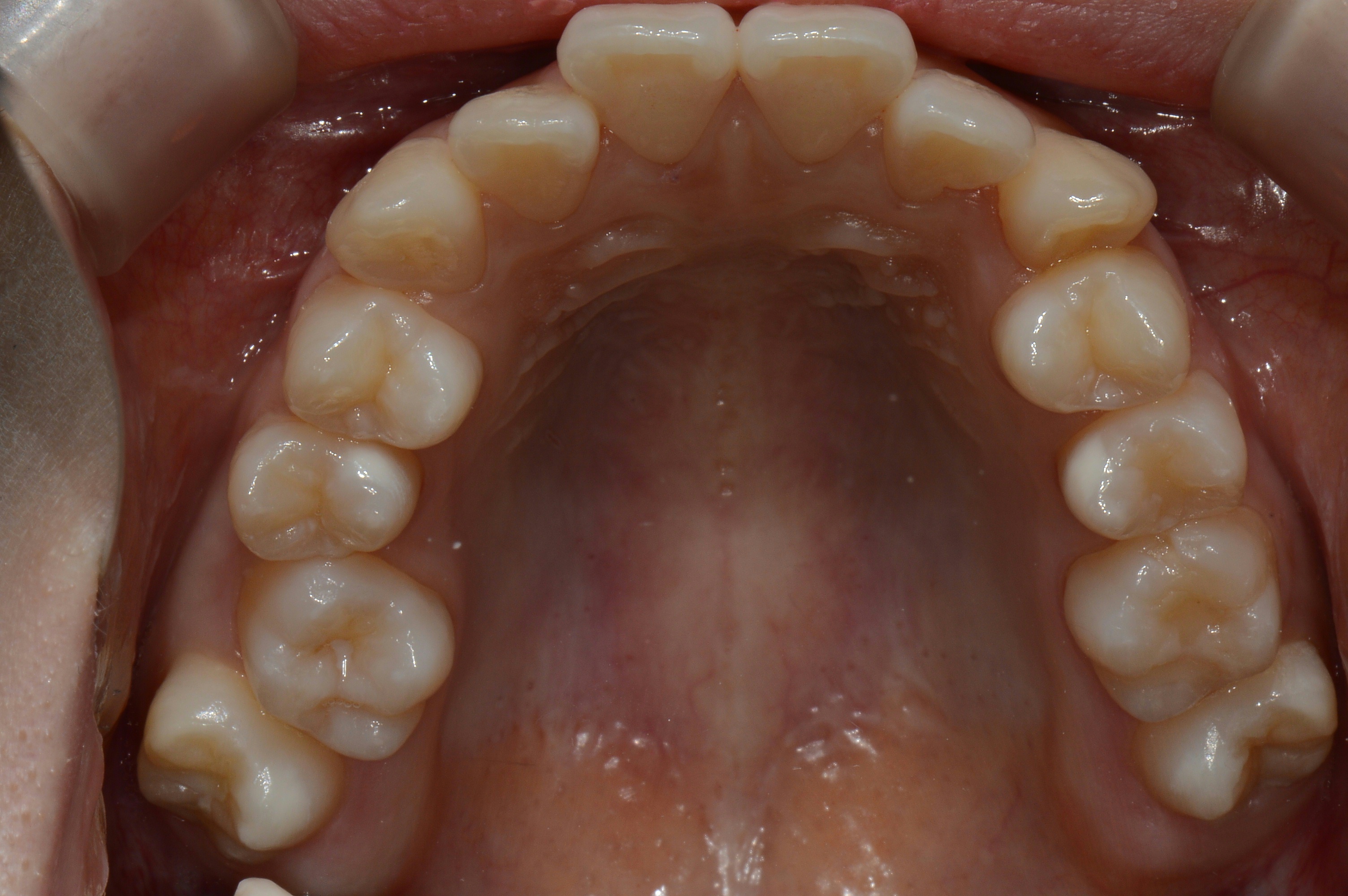
치료 후 사진입니다.

치료 전 사진입니다.

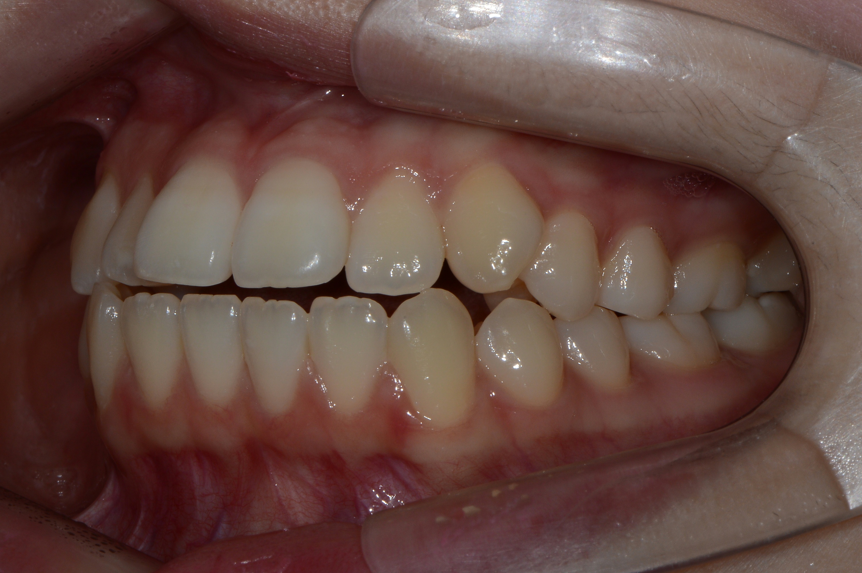
치료 후 사진입니다.