[벌어진치아] 개방교합, 벌어진치아
스마일라인치과 Date. 2021-01-12 Hit. 6245

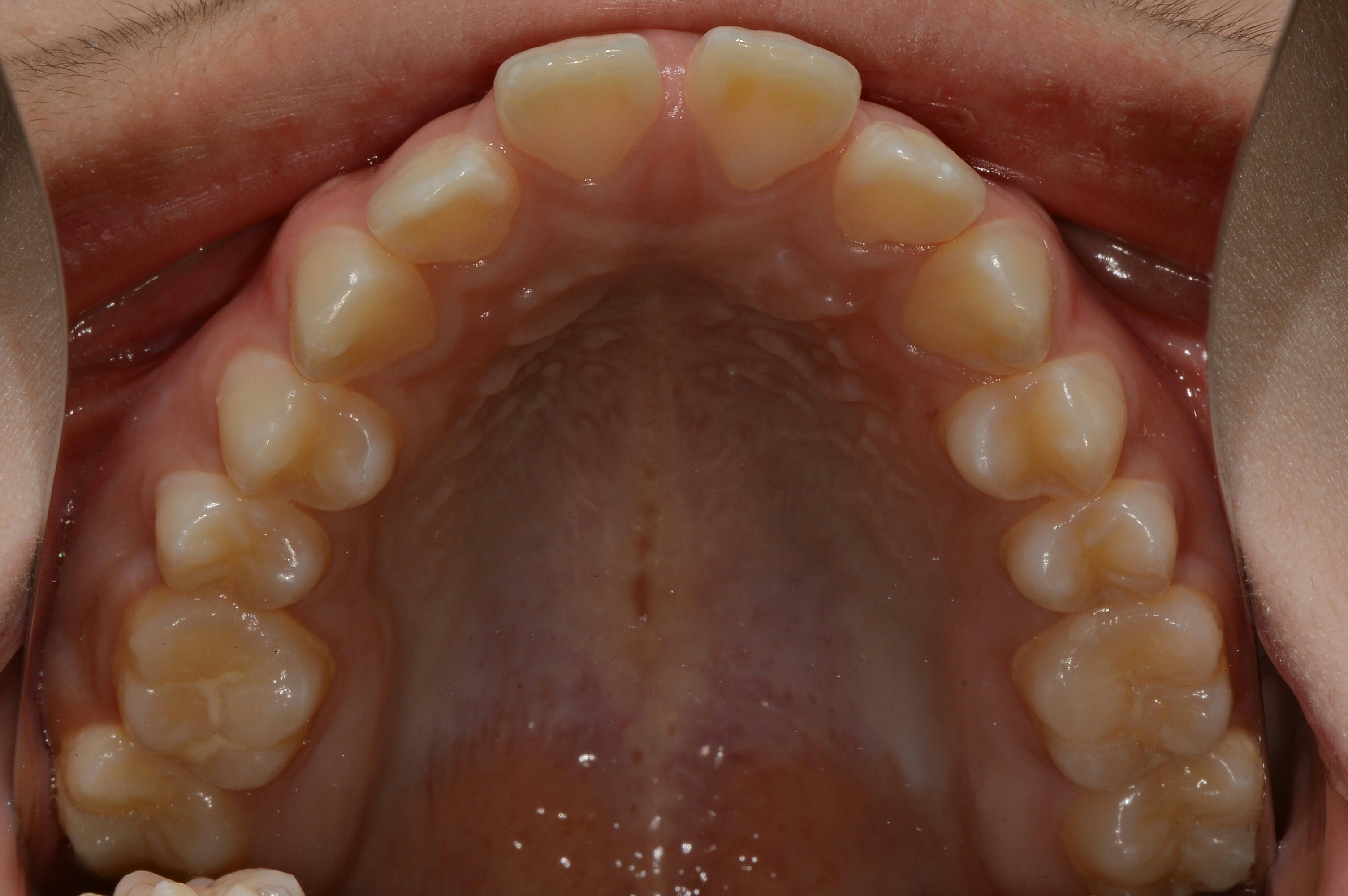
치료 전 사진입니다.

치료 후 사진입니다.

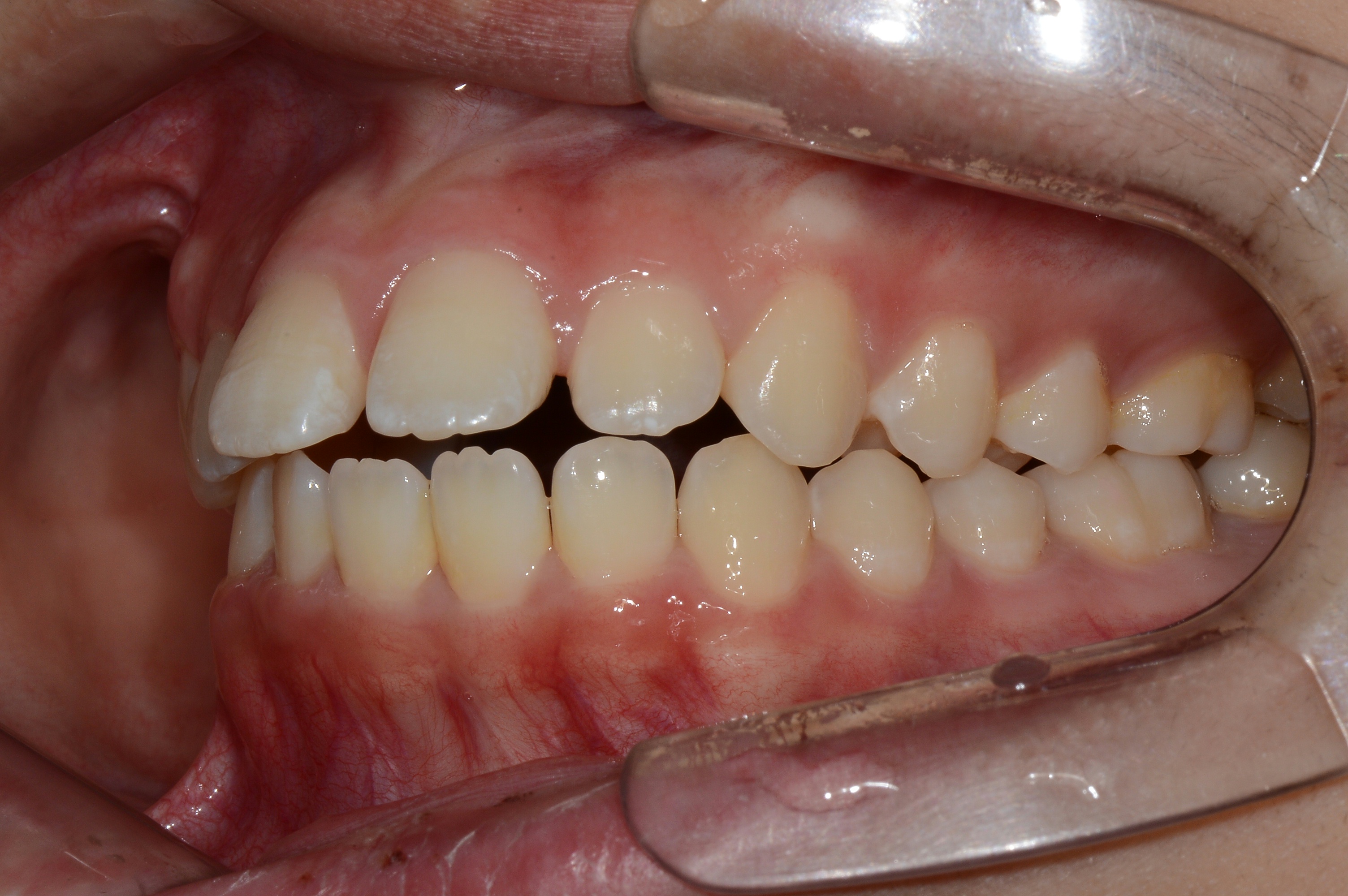
치료 전 사진입니다.

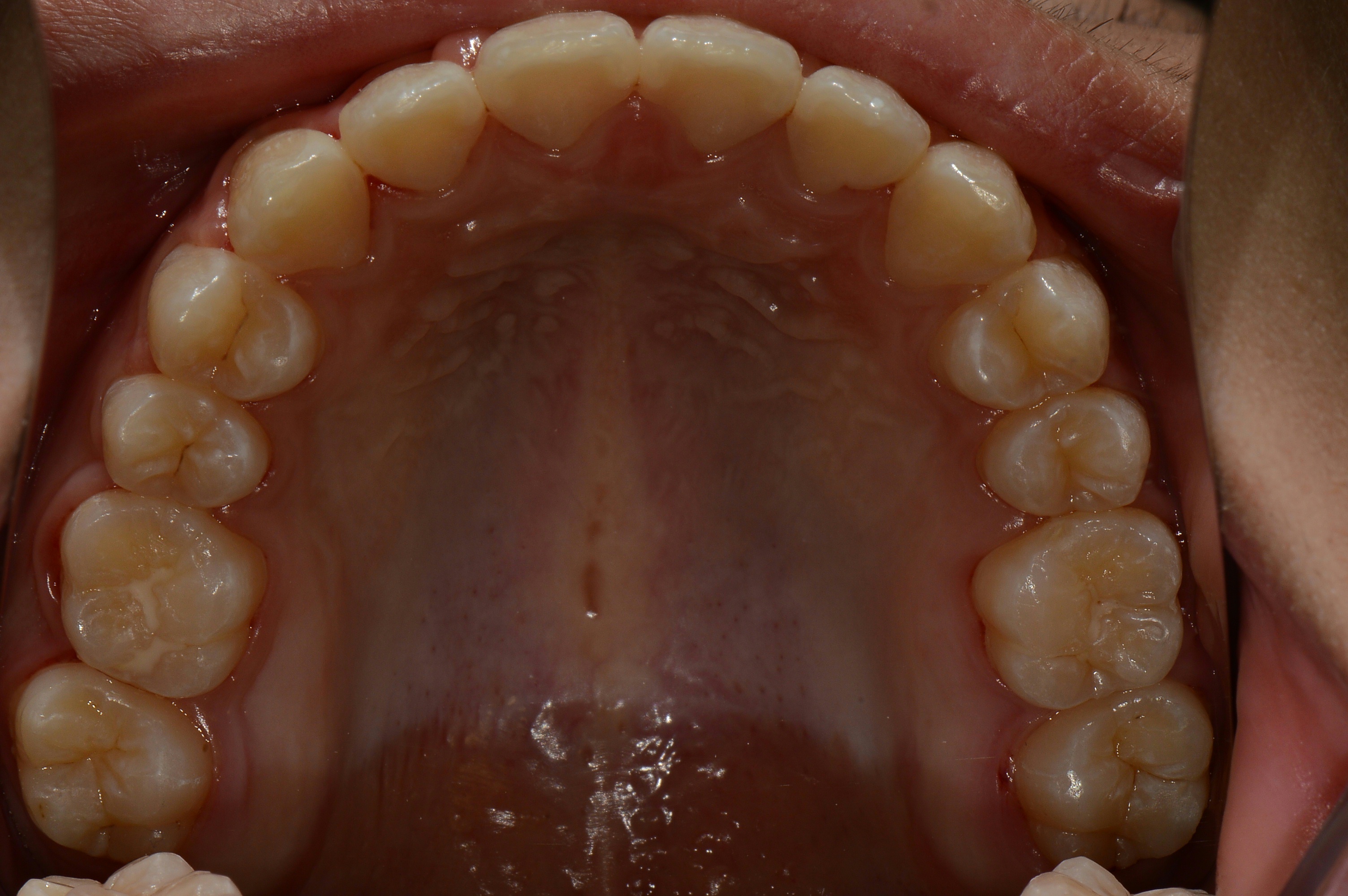
치료 후 사진입니다.

치료 전 사진입니다.

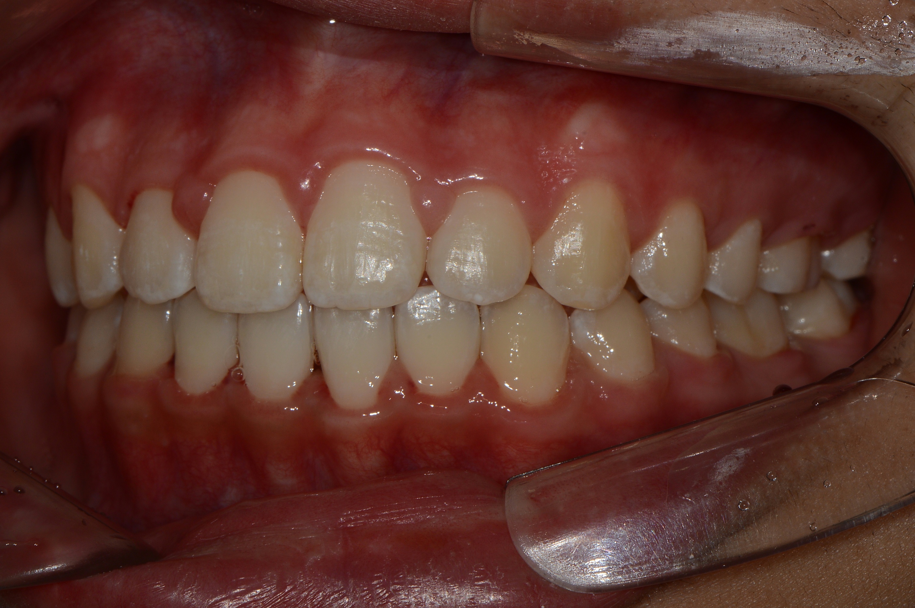
치료 후 사진입니다.