[null] 덧니
스마일라인치과 Date. 2021-01-04 Hit. 5030

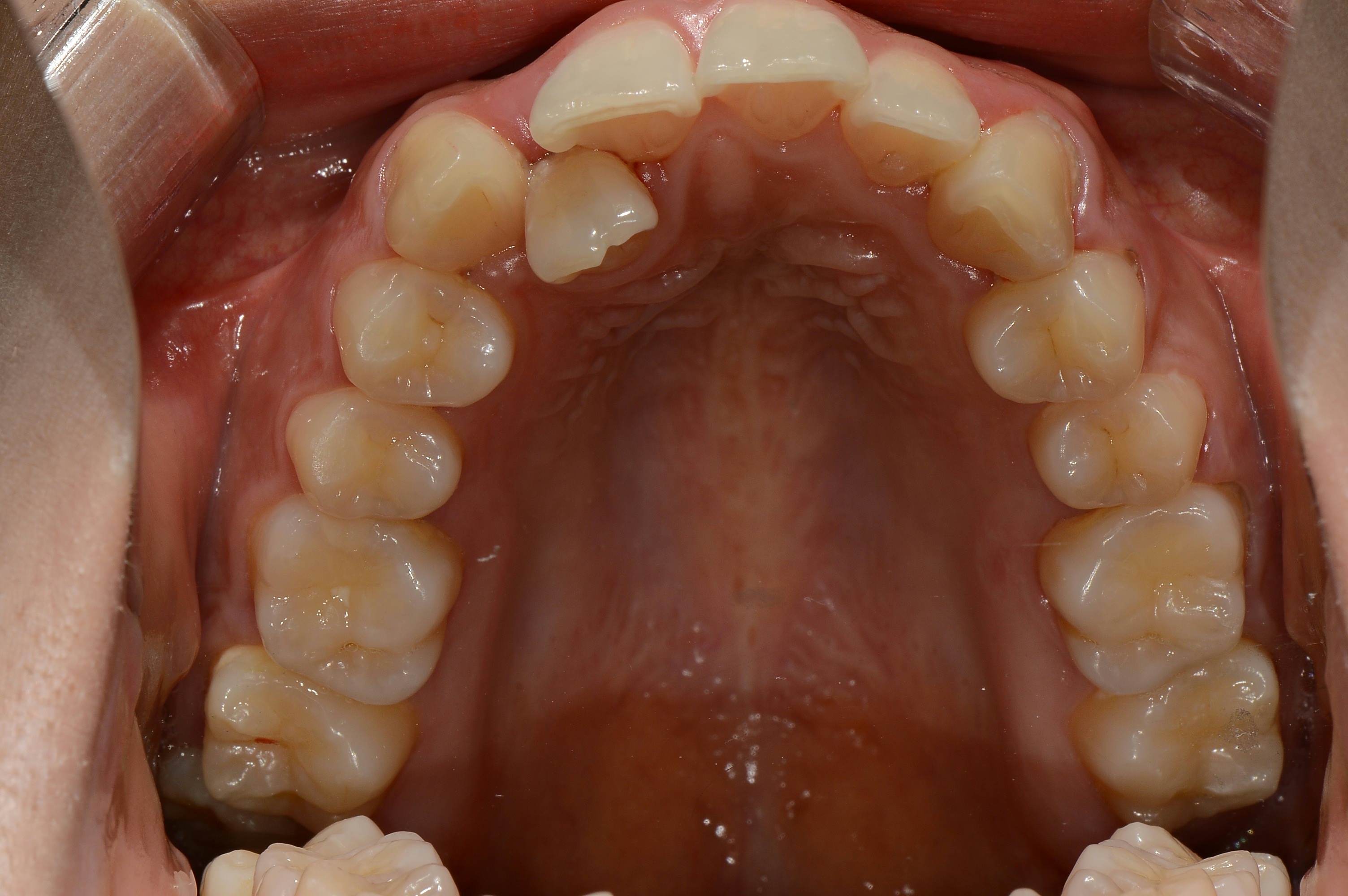
치료 전 사진입니다.

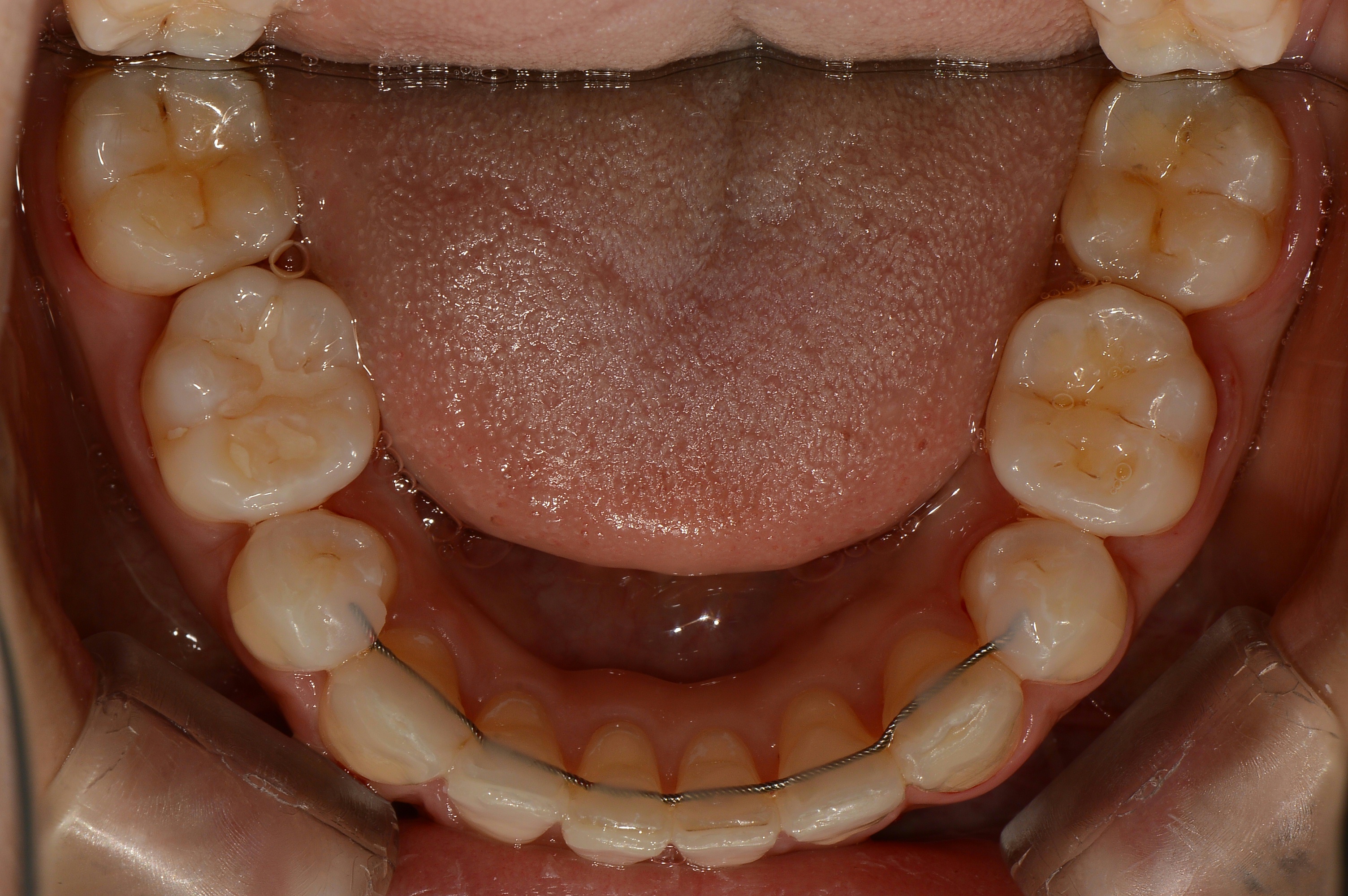
치료 후 사진입니다.

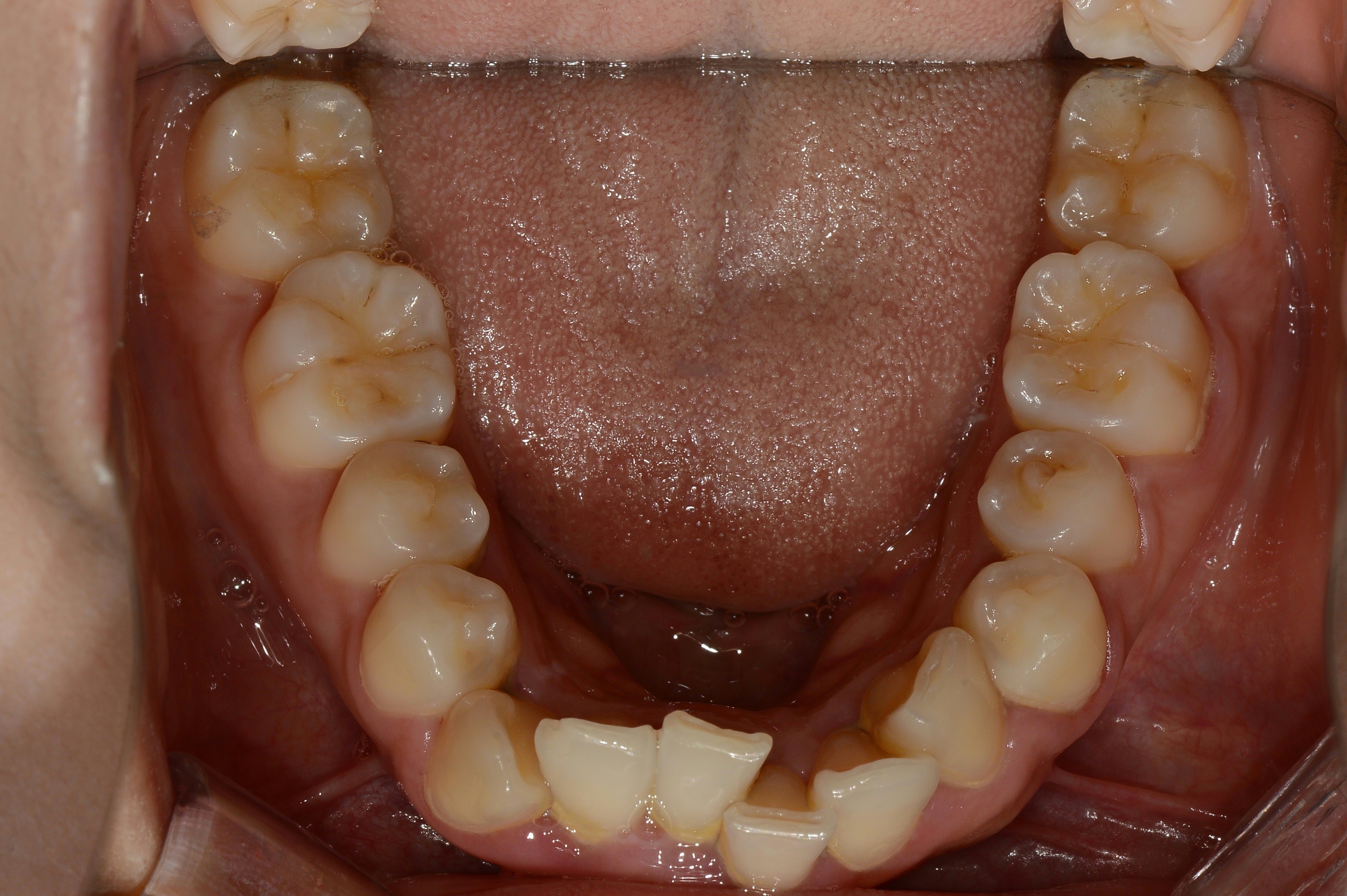
치료 전 사진입니다.

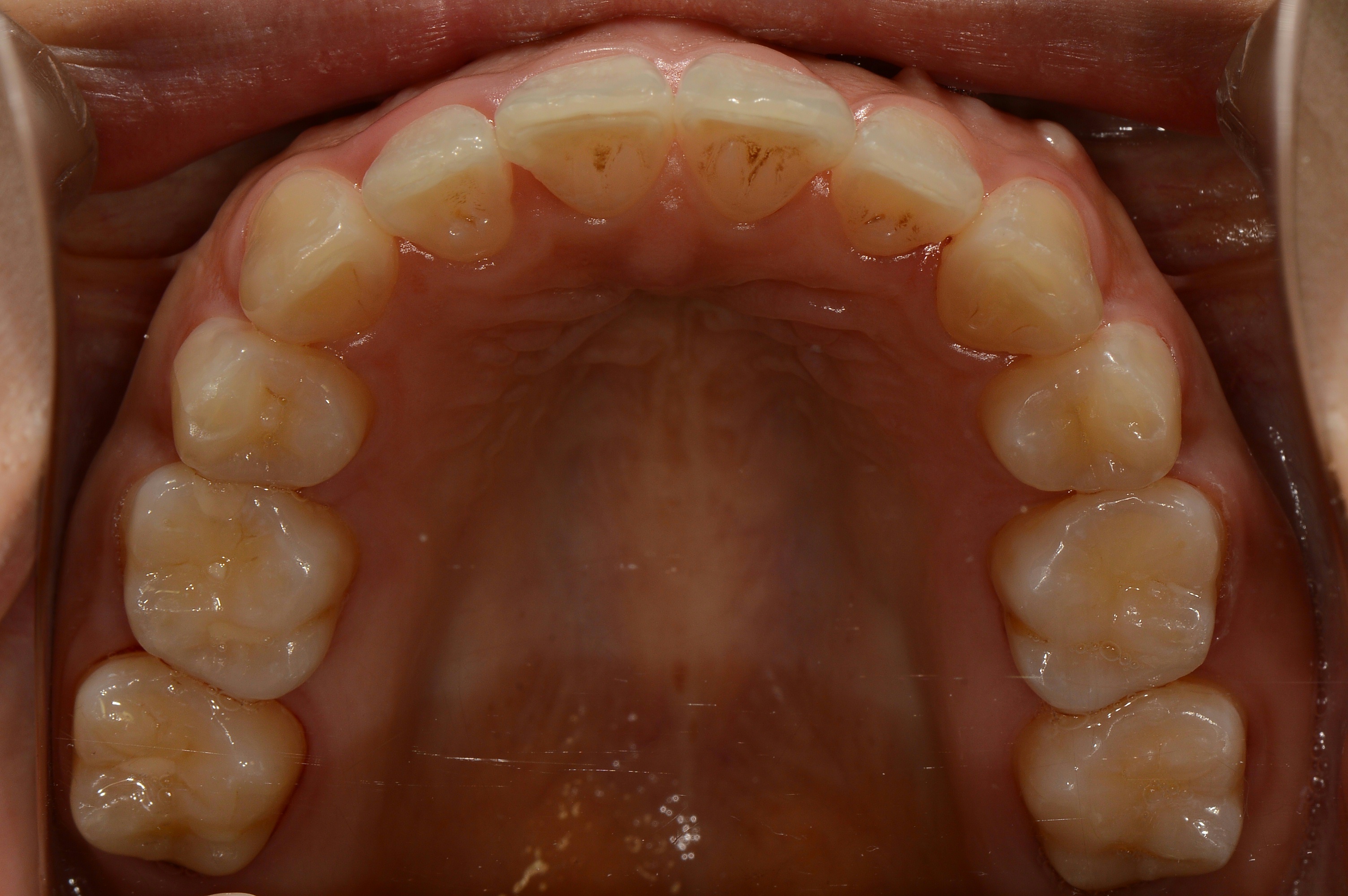
치료 후 사진입니다.

치료 전 사진입니다.

치료 후 사진입니다.