[과개교합] 과개교합
스마일라인치과 Date. 2020-09-23 Hit. 6439

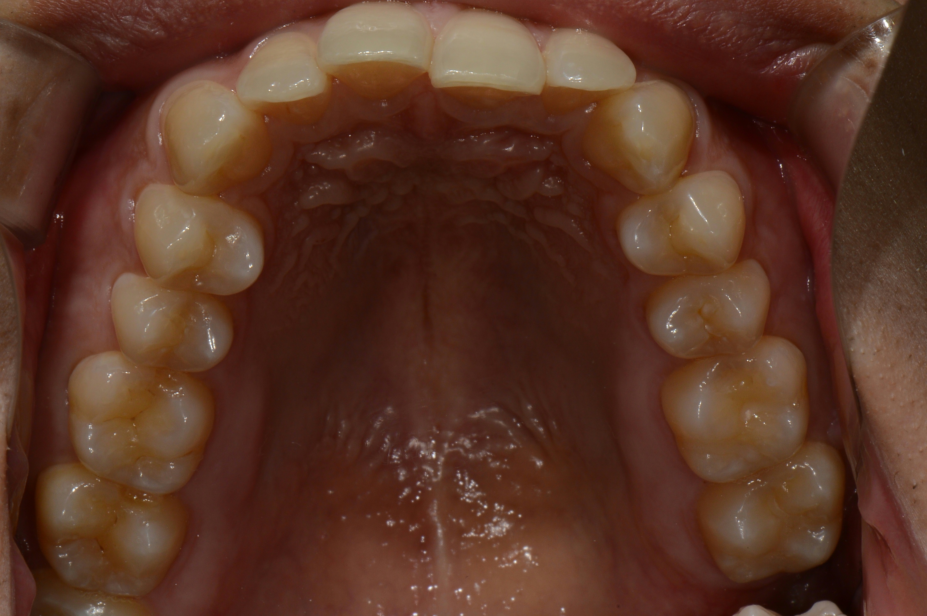
치료 전 사진입니다.

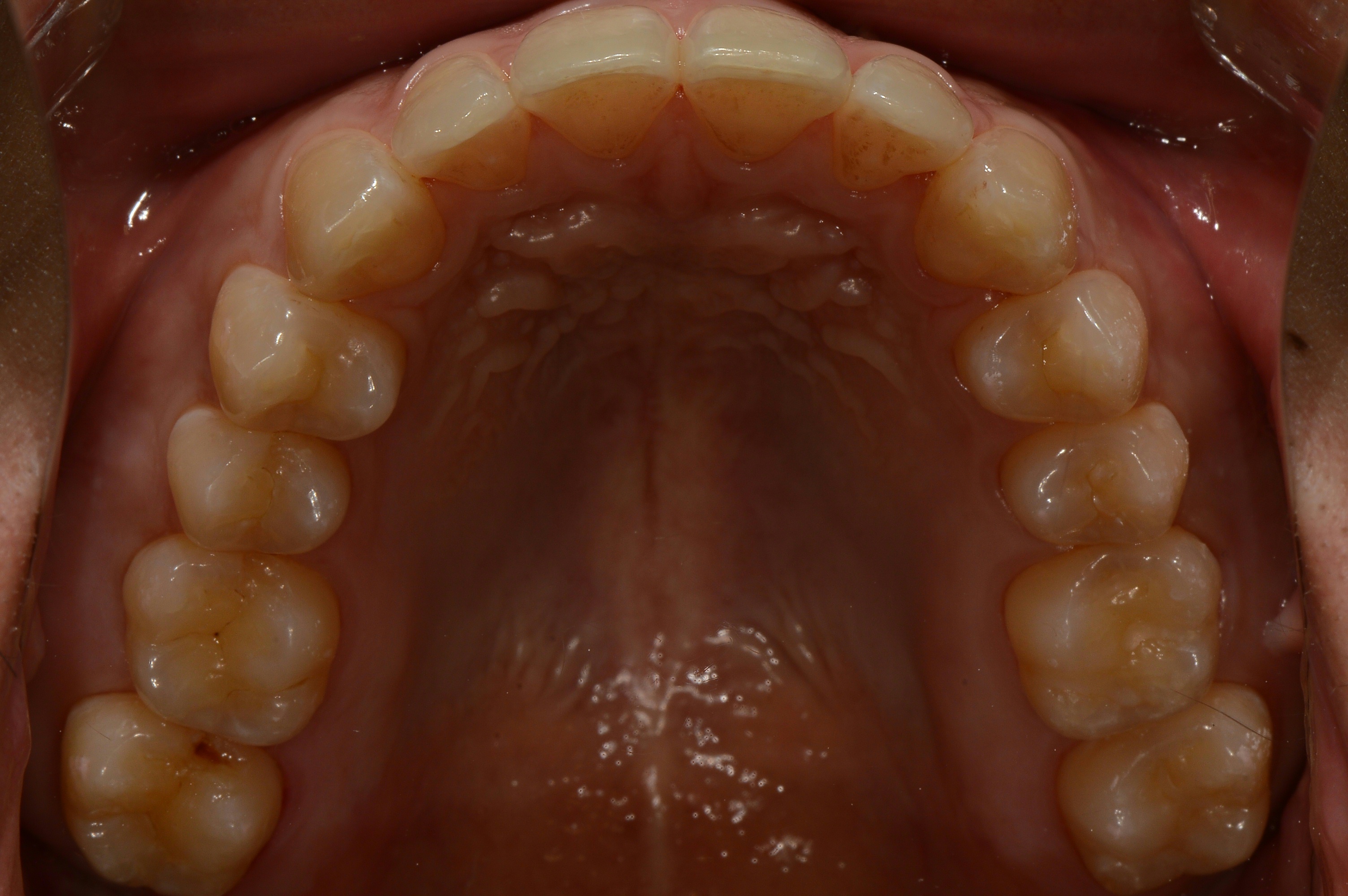
치료 후 사진입니다.

치료 전 사진입니다.

치료 후 사진입니다.