[과개교합] 과개교합
스마일라인치과 Date. 2019-08-14 Hit. 8654

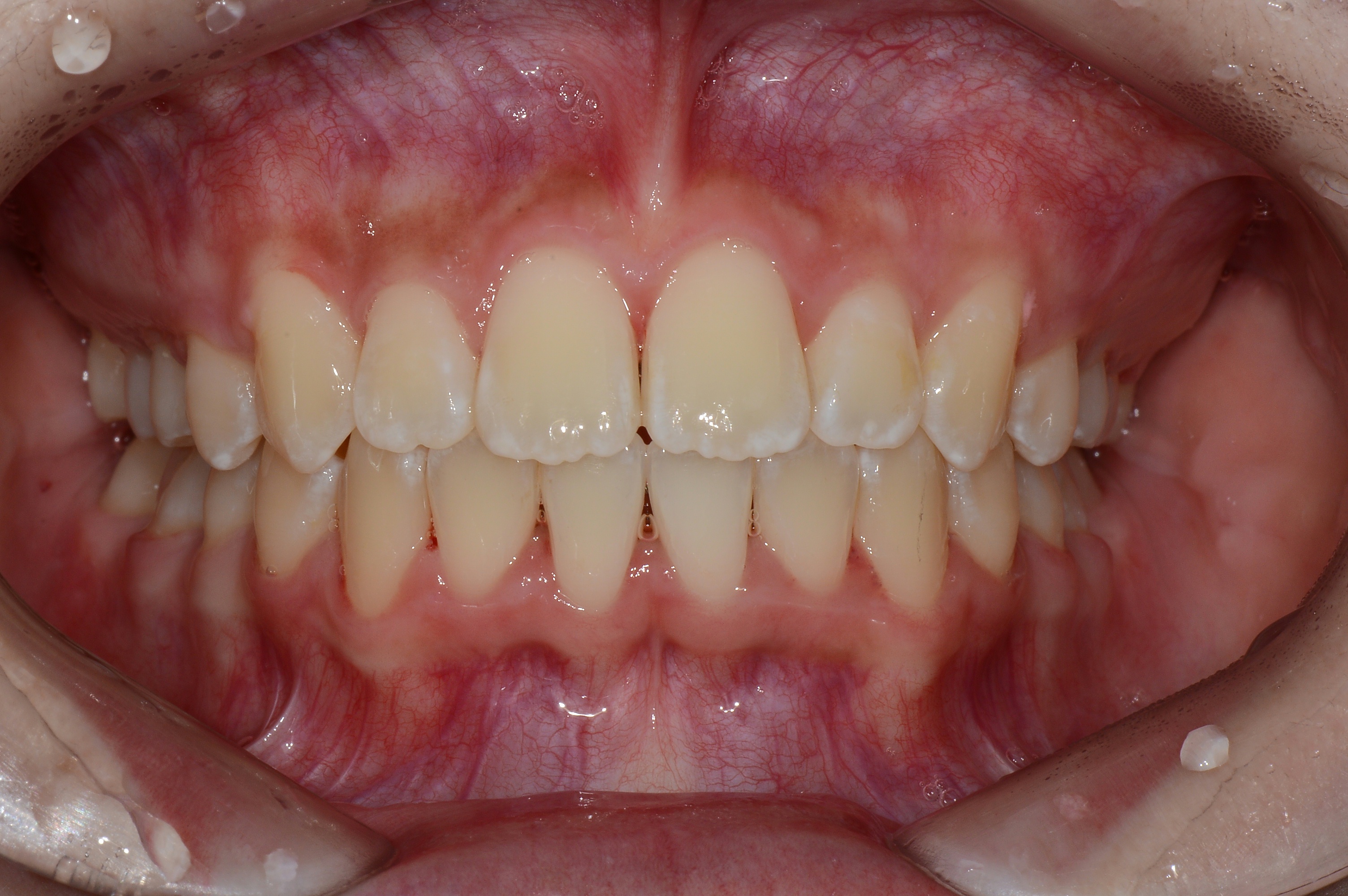
치료 전 사진입니다.

치료 후 사진입니다.

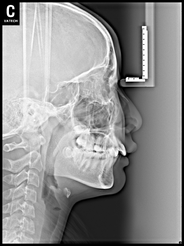
치료 전 사진입니다.

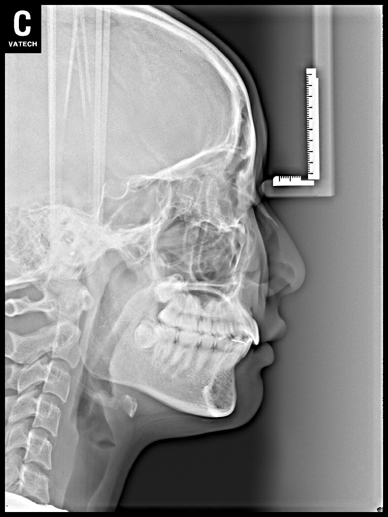
치료 후 사진입니다.

치료 전 사진입니다.

치료 후 사진입니다.