[개방교합] 개방교합
스마일라인치과 Date. 2019-02-22 Hit. 9901

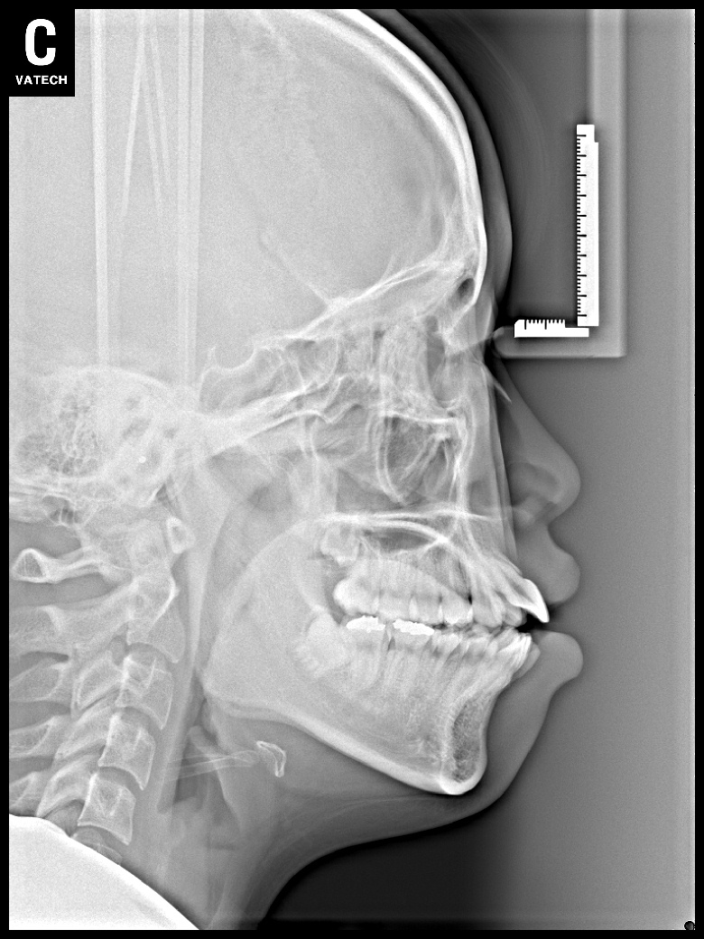
치료 전 사진입니다.

치료 후 사진입니다.

치료 전 사진입니다.

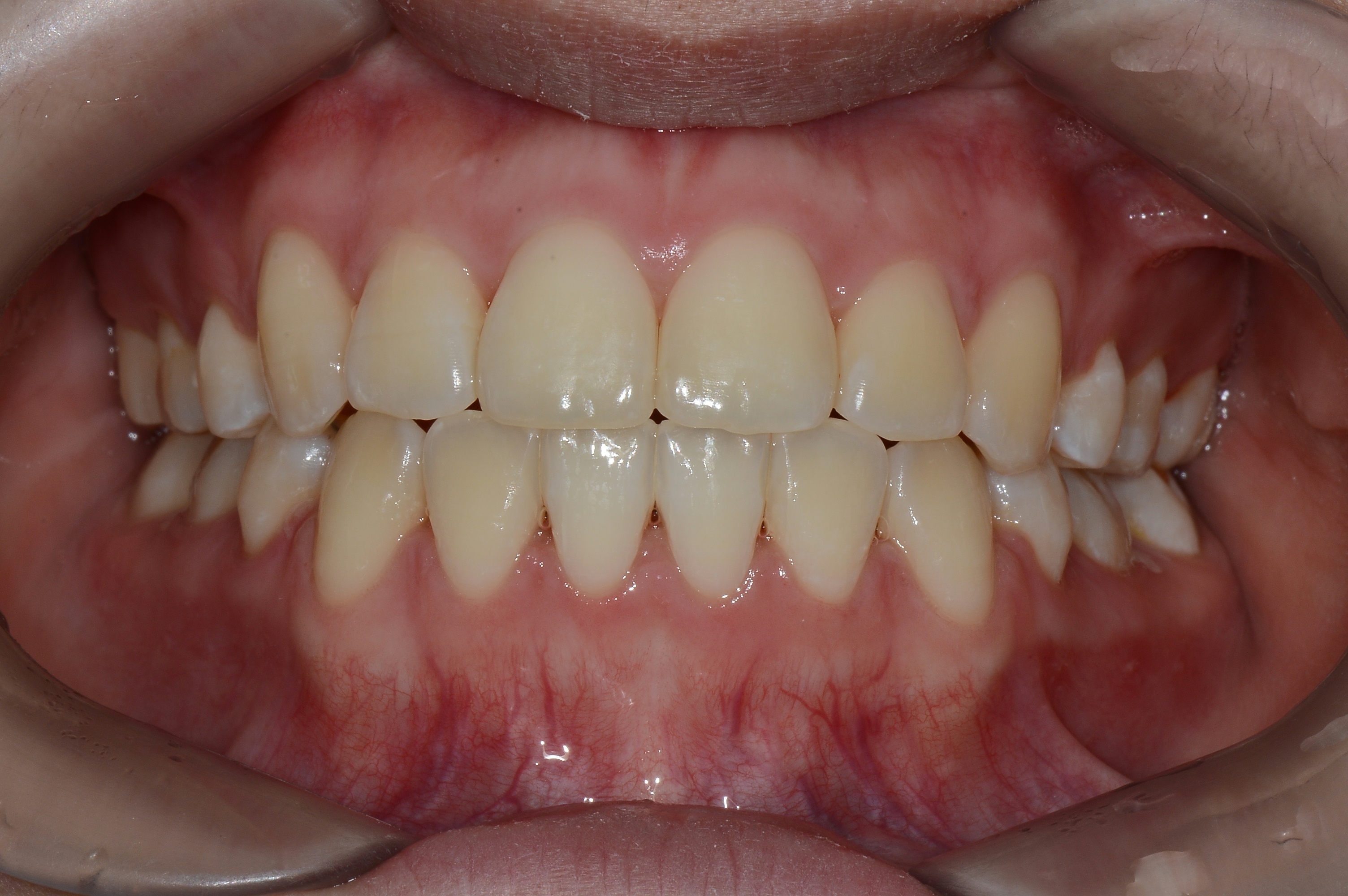
치료 후 사진입니다.

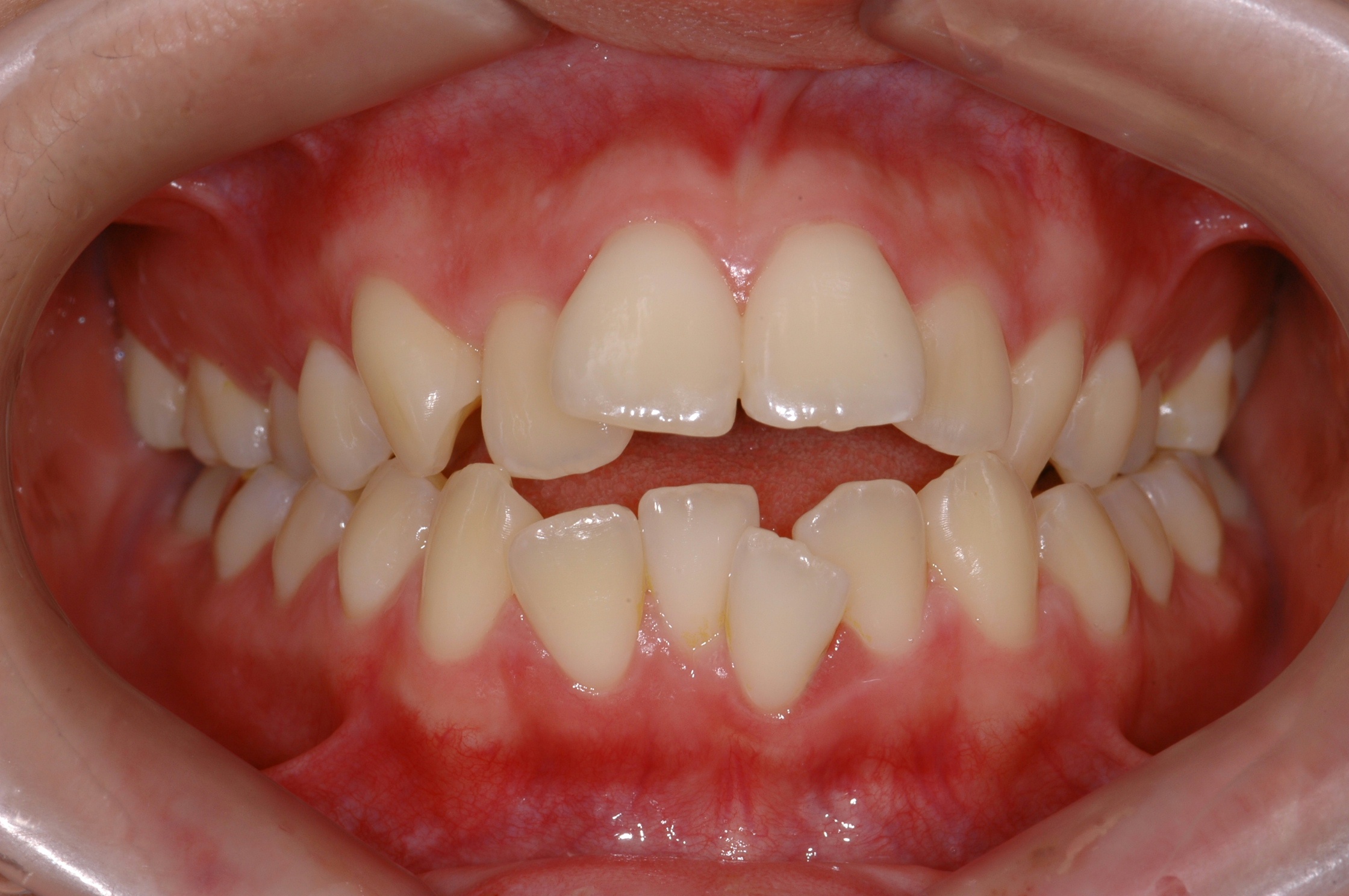
치료 전 사진입니다.

치료 후 사진입니다.