[돌출입] 돌출입
스마일라인치과 Date. 2018-12-17 Hit. 10580

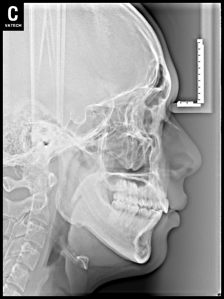
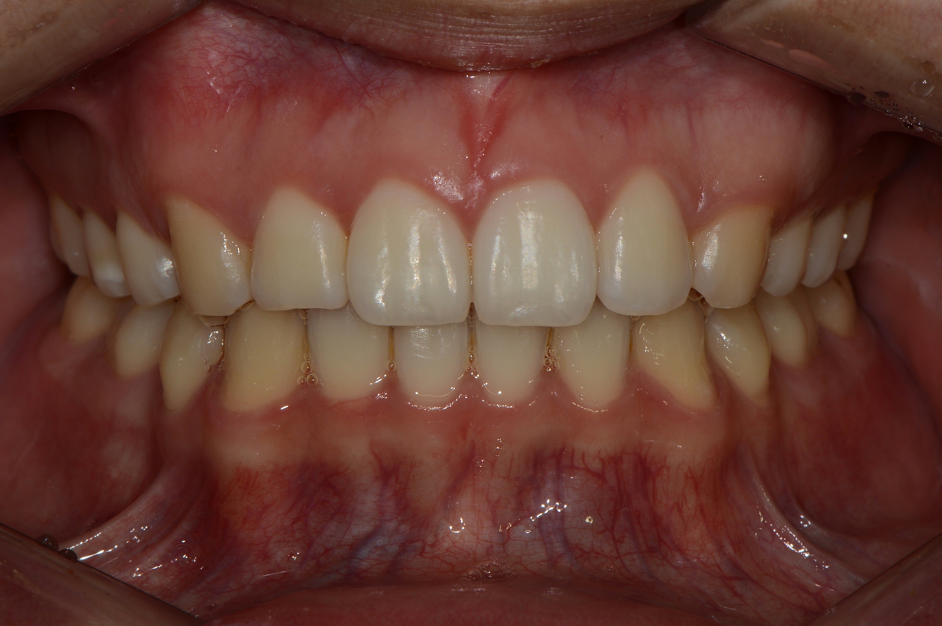
치료 전 사진입니다.

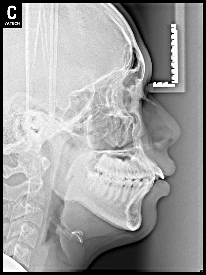
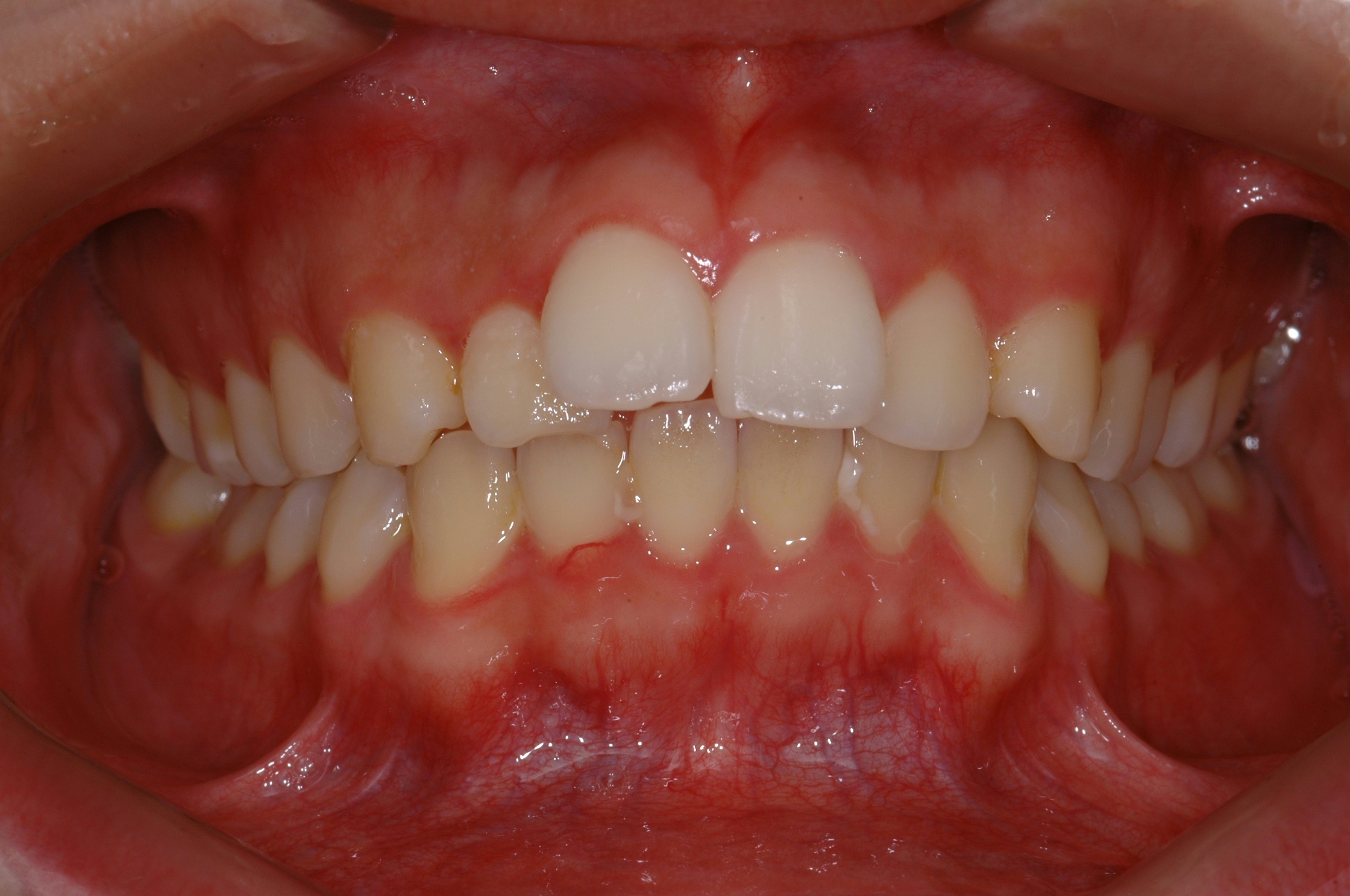
치료 후 사진입니다.

치료 전 사진입니다.

치료 후 사진입니다.

치료 전 사진입니다.

치료 후 사진입니다.