[덧니교정] 덧니교정
스마일라인치과 Date. 2018-10-02 Hit. 11025

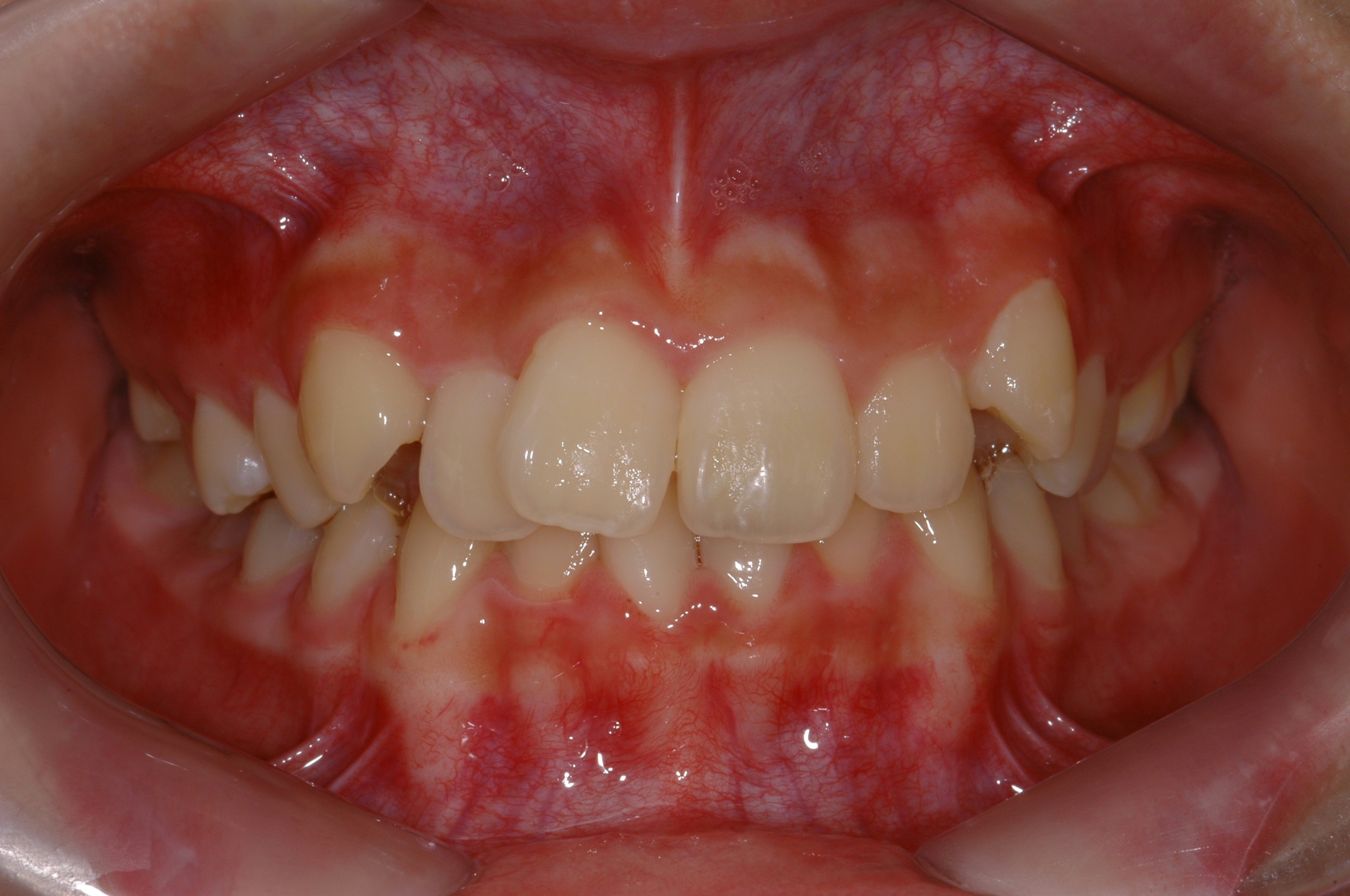
치료 전 사진입니다.

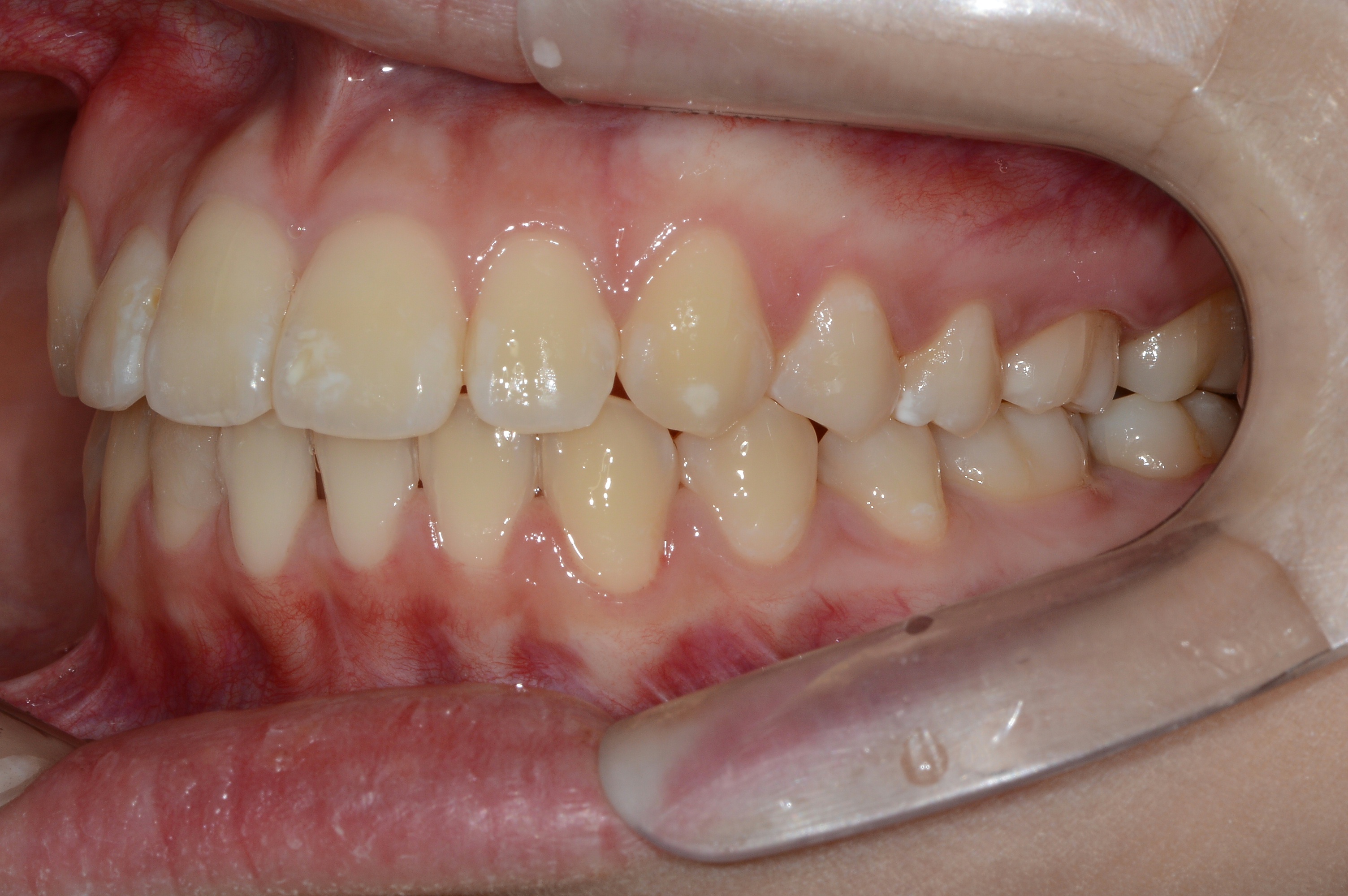
치료 후 사진입니다.

치료 전 사진입니다.

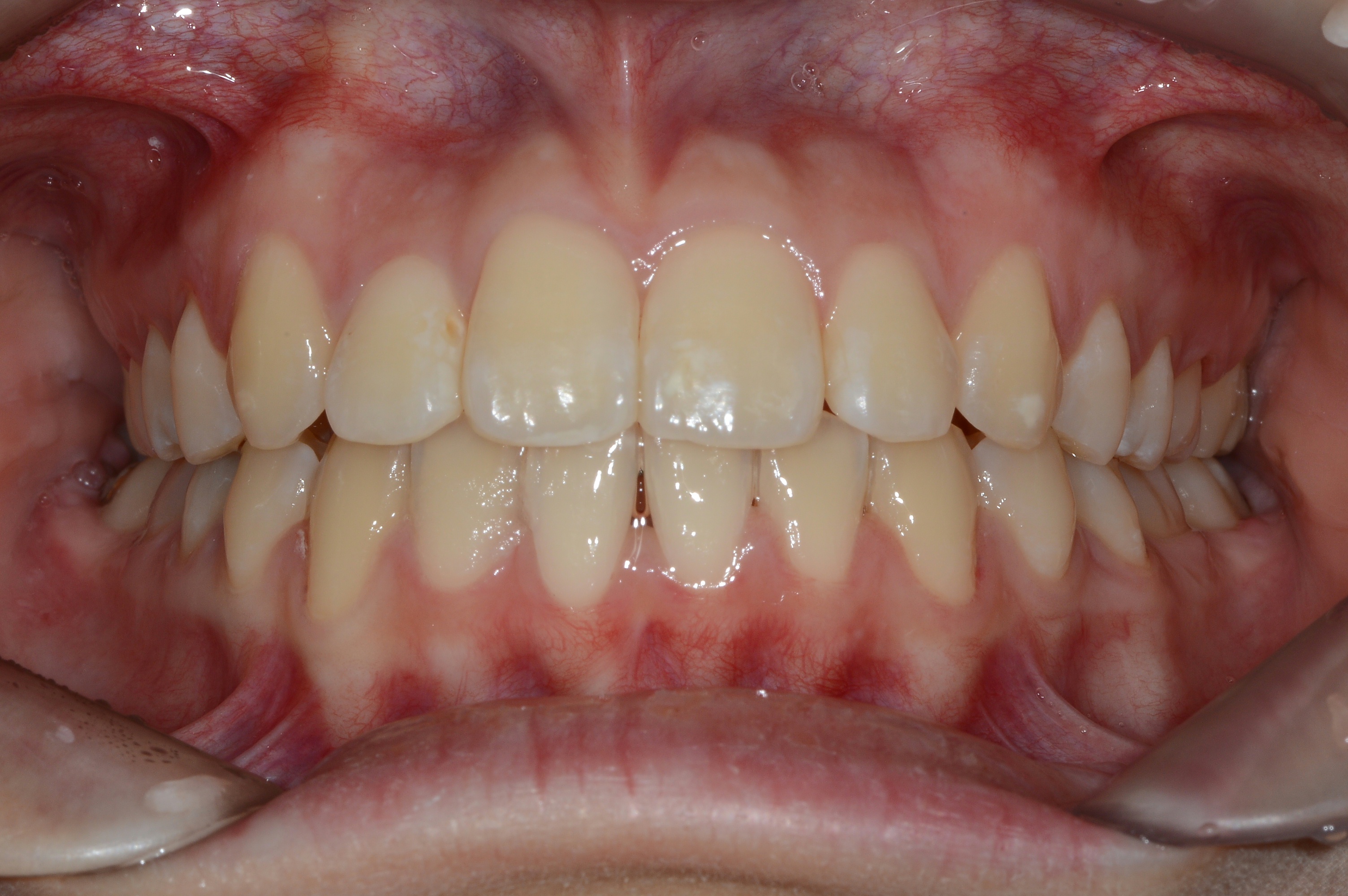
치료 후 사진입니다.

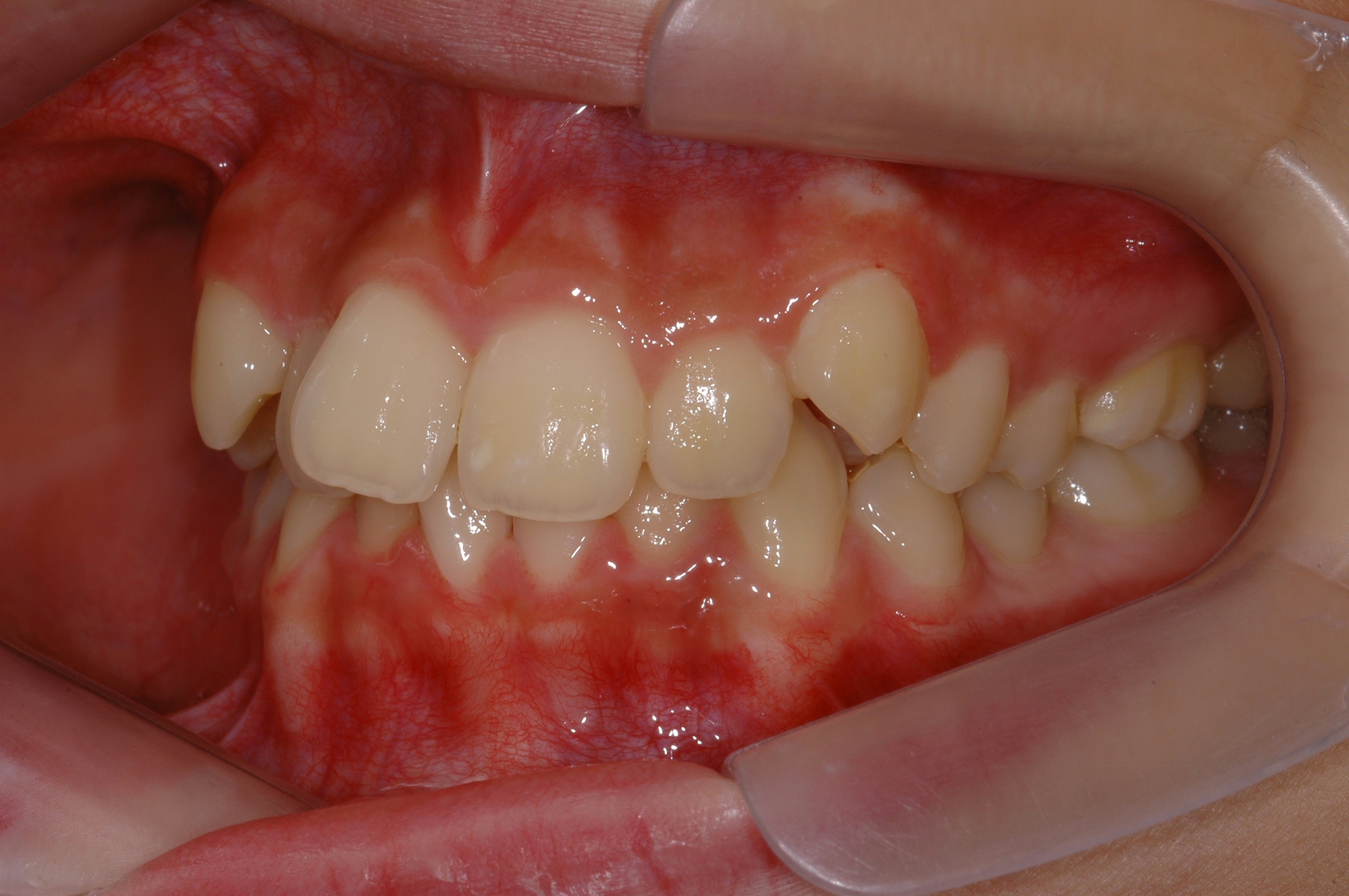
치료 전 사진입니다.

치료 후 사진입니다.