[반대교합/주걱턱] 반대교합
스마일라인치과 Date. 2018-05-15 Hit. 11303

치료 전 사진입니다.

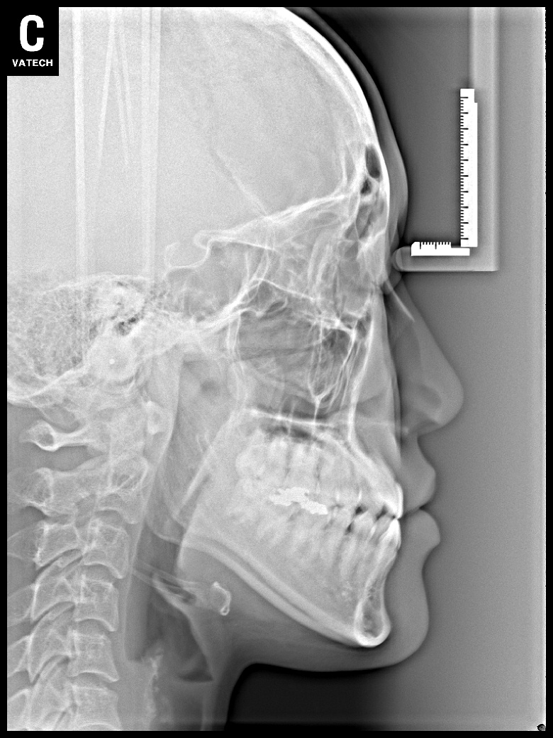
치료 후 사진입니다.

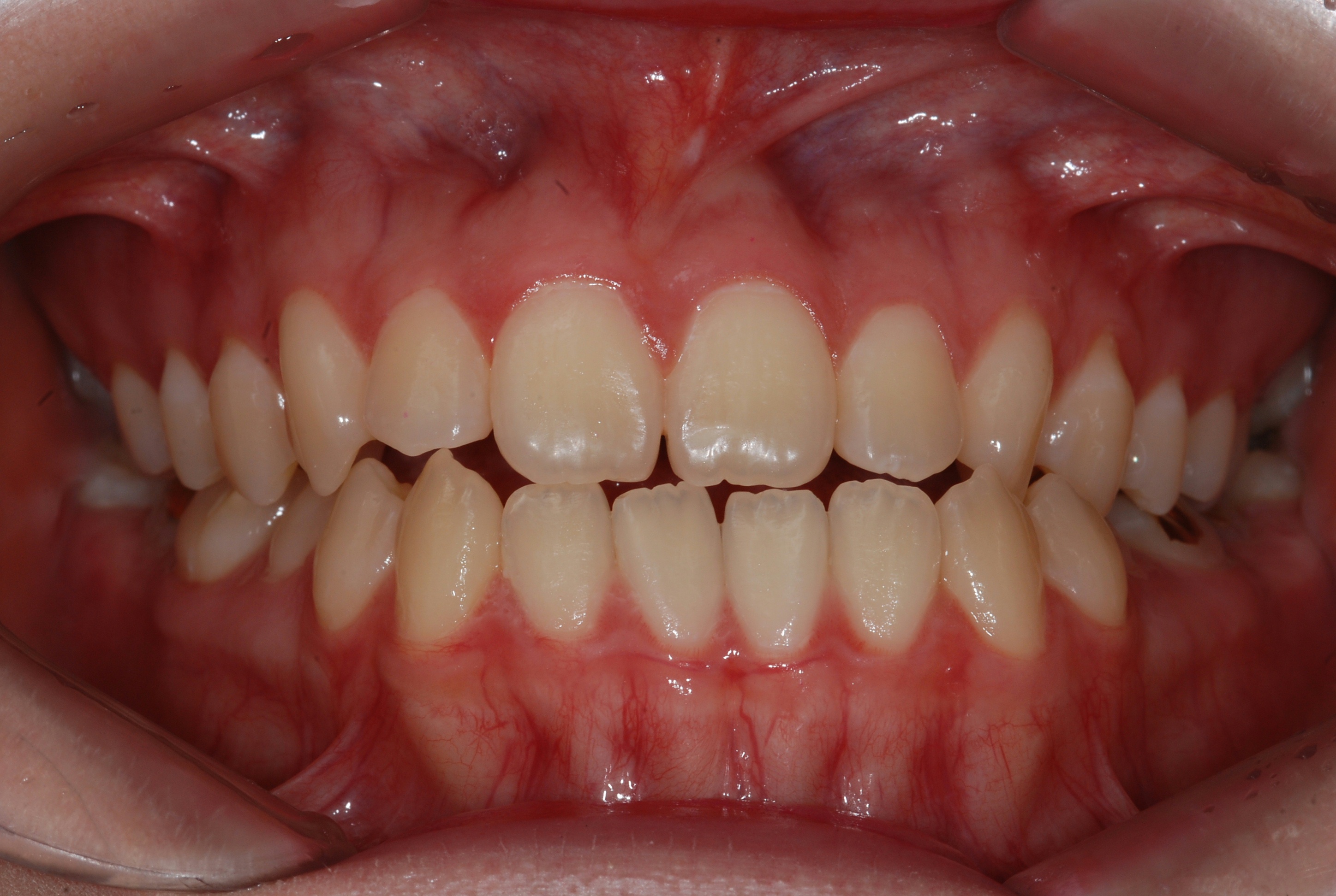
치료 전 사진입니다.

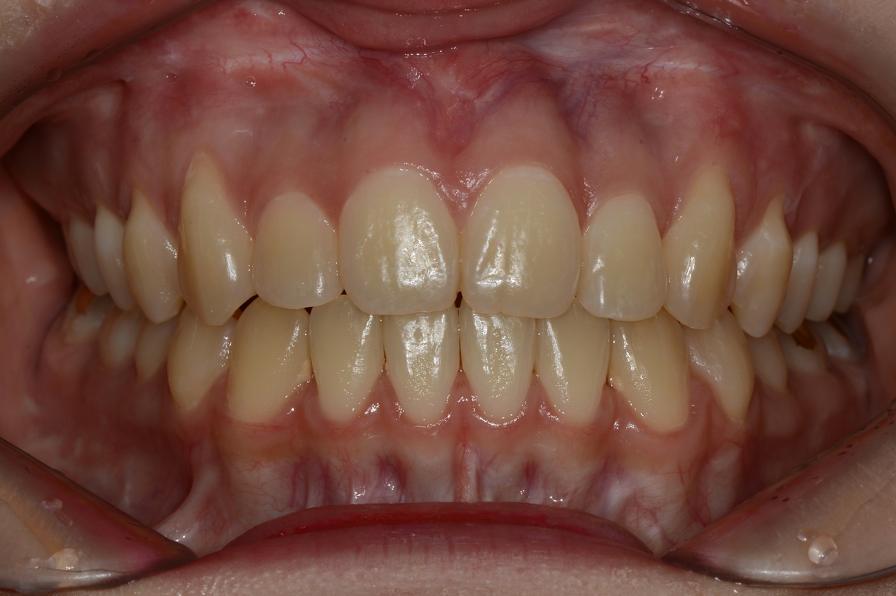
치료 후 사진입니다.

치료 전 사진입니다.

치료 후 사진입니다.