[돌출입] 돌출입, 덧니
스마일라인치과 Date. 2018-02-14 Hit. 11643

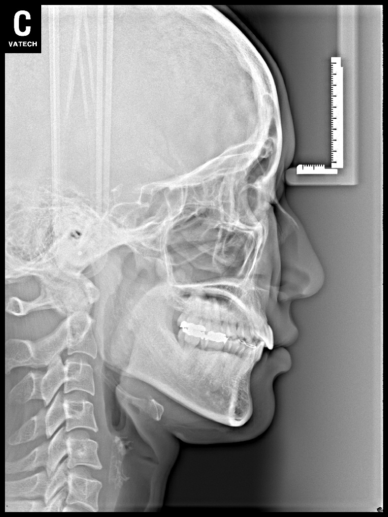
치료 전 사진입니다.

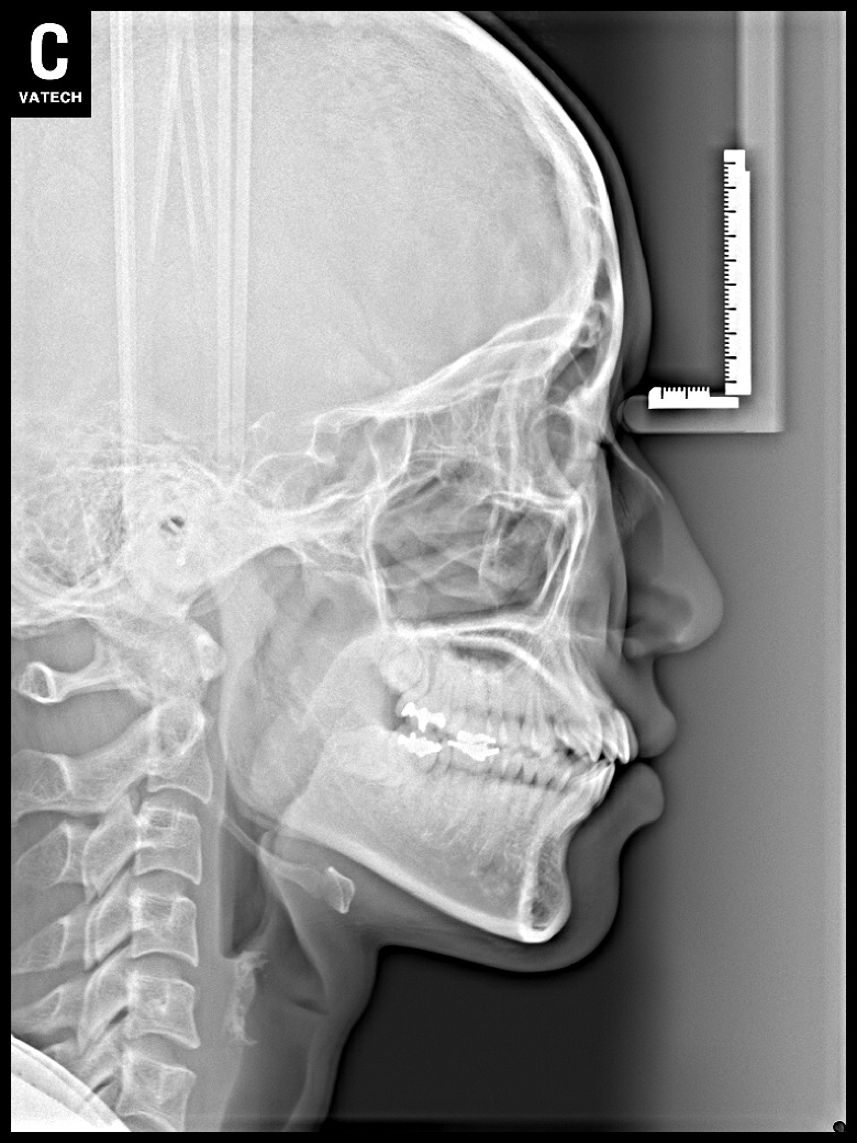
치료 후 사진입니다.

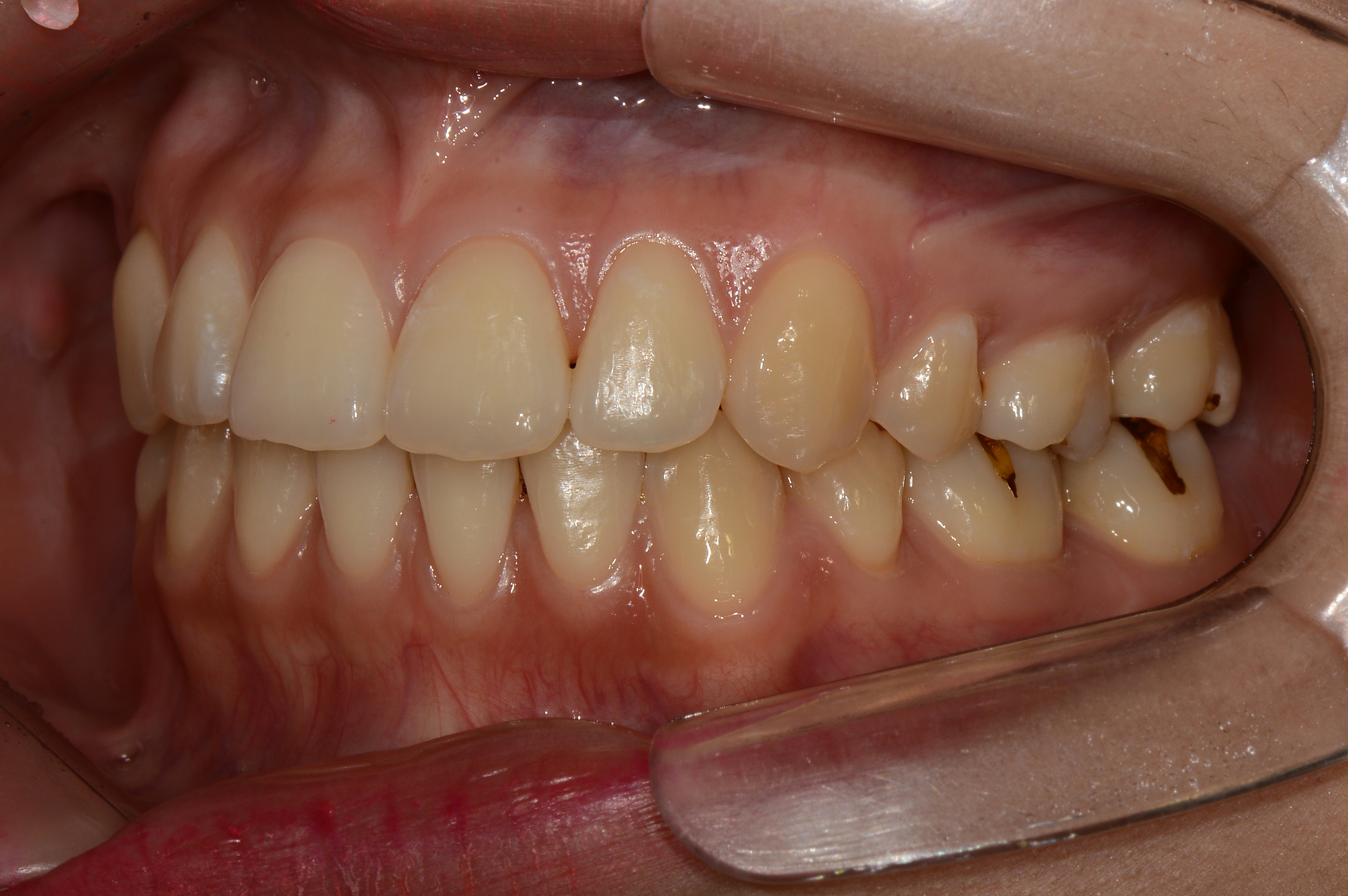
치료 전 사진입니다.

치료 후 사진입니다.

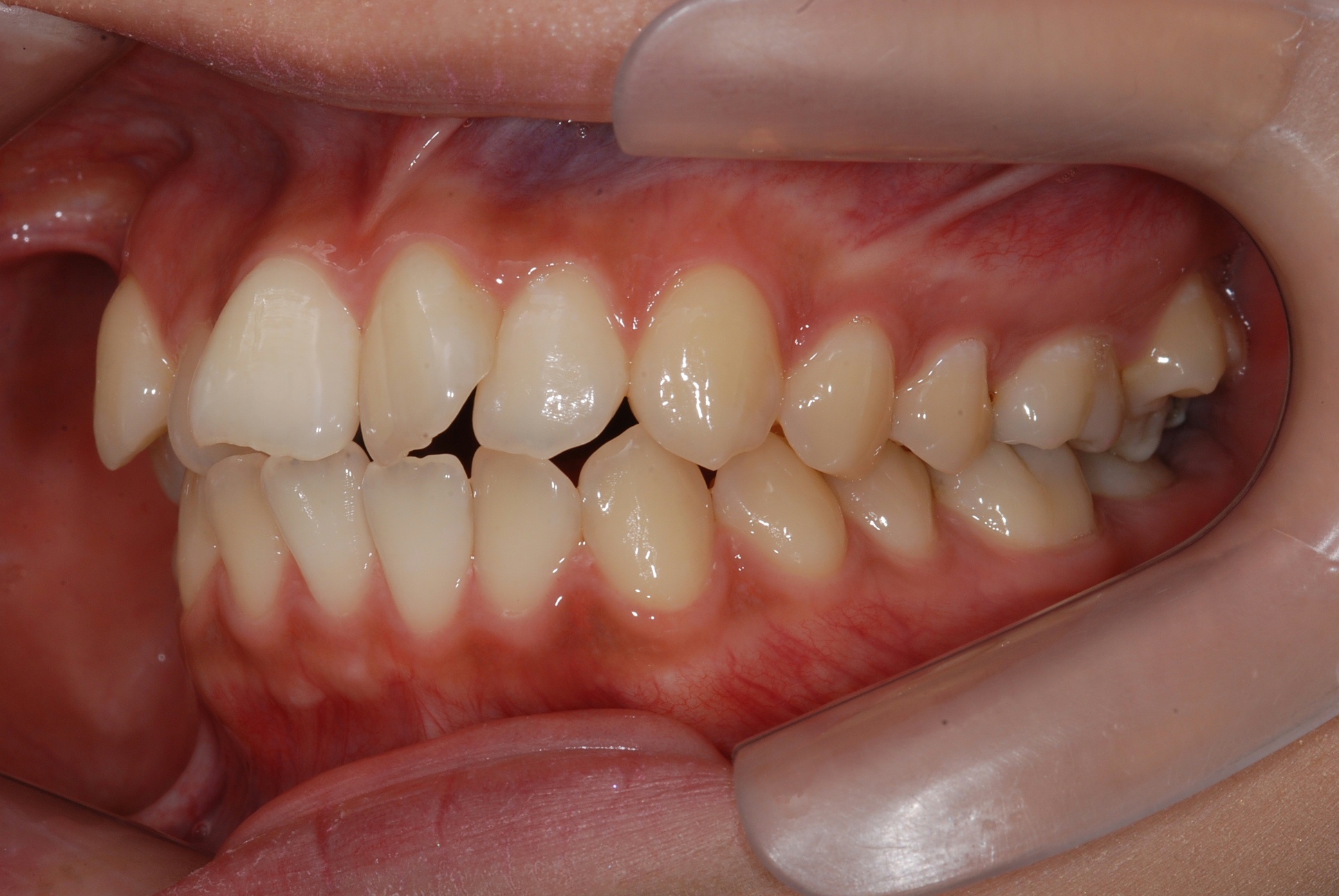
치료 전 사진입니다.

치료 후 사진입니다.