[벌어진치아] 벌어진치아
스마일라인치과 Date. 2018-01-31 Hit. 10433

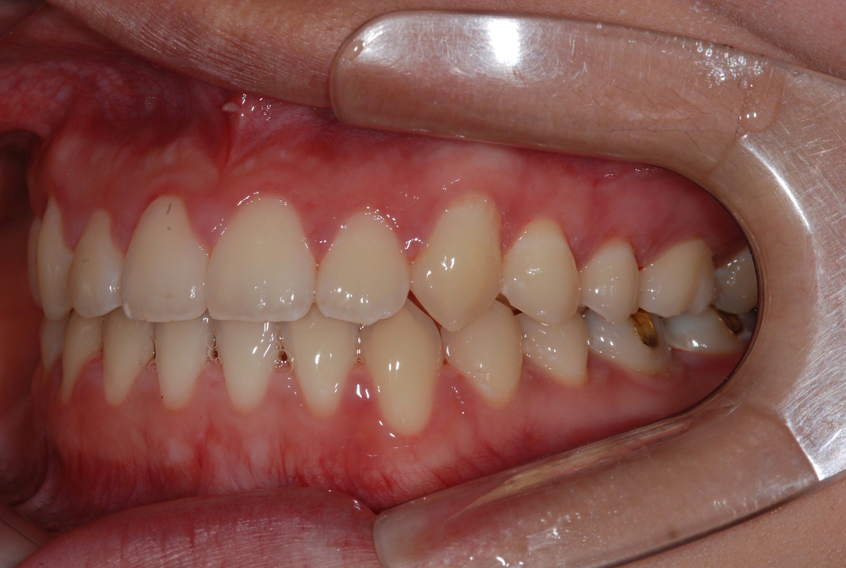
치료 전 사진입니다.

치료 후 사진입니다.

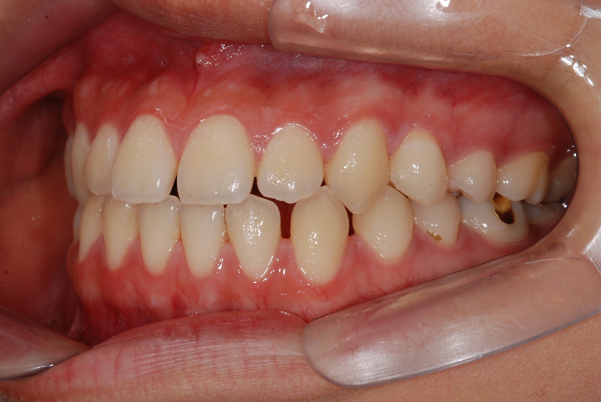
치료 전 사진입니다.

치료 후 사진입니다.

치료 전 사진입니다.

치료 후 사진입니다.