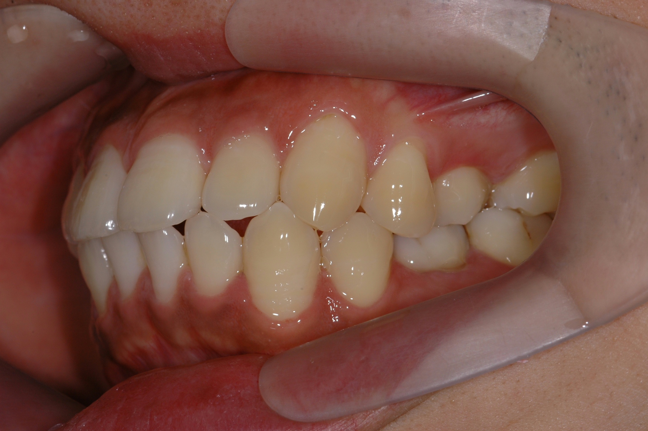
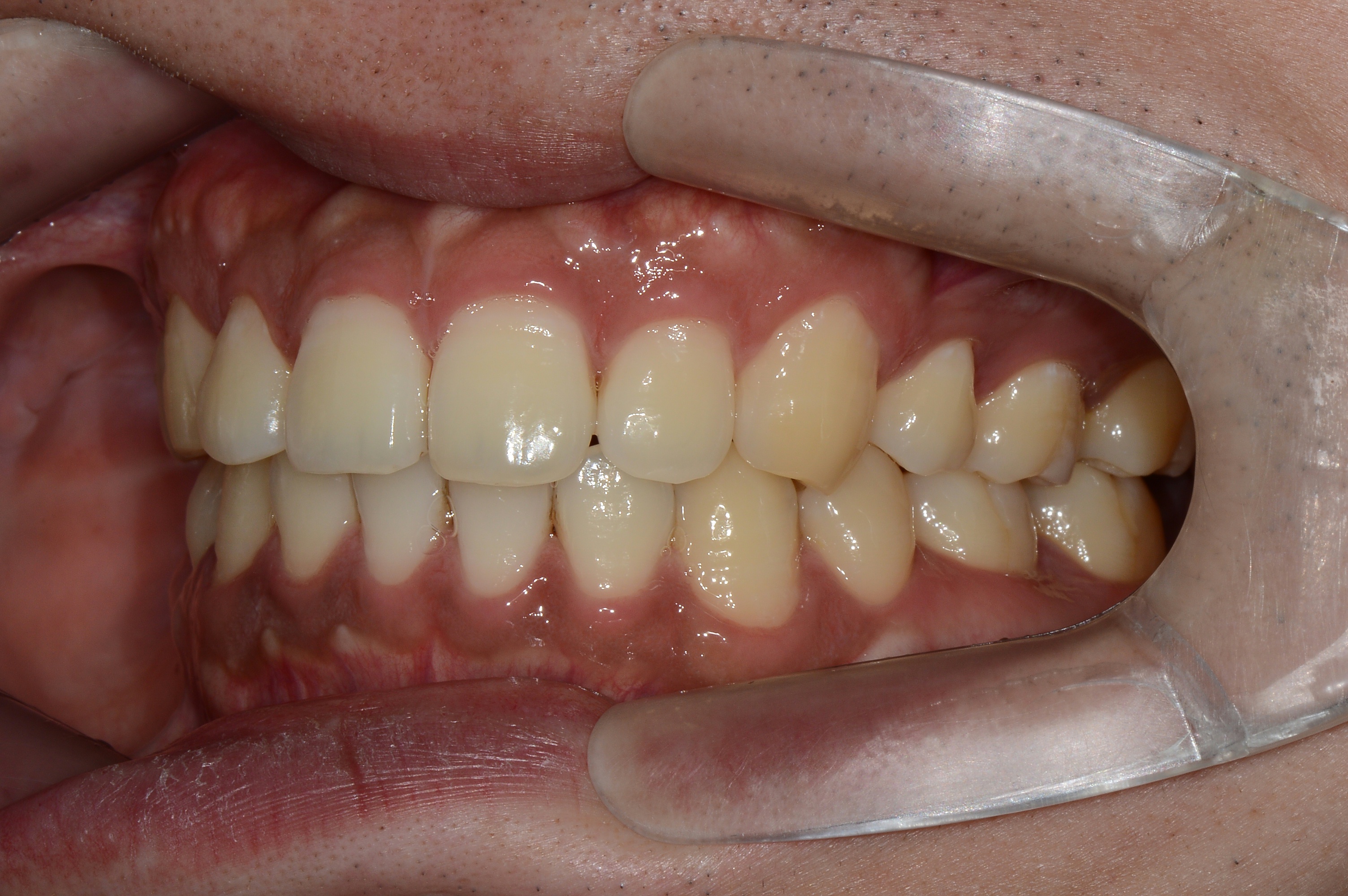
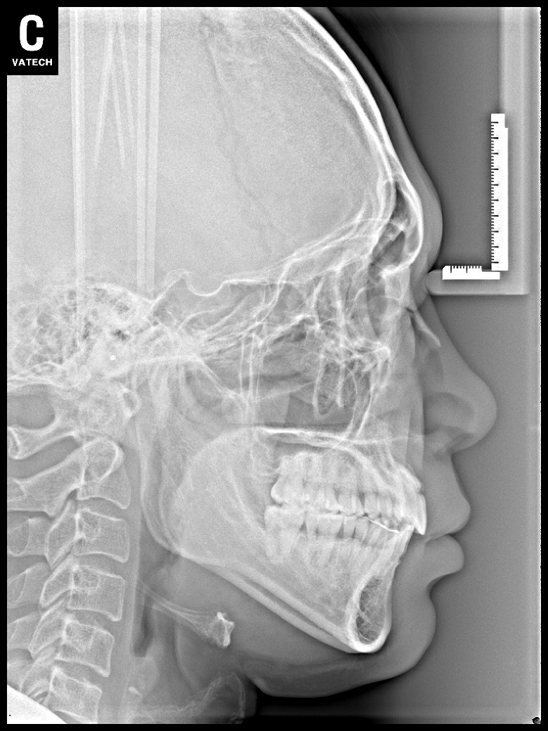
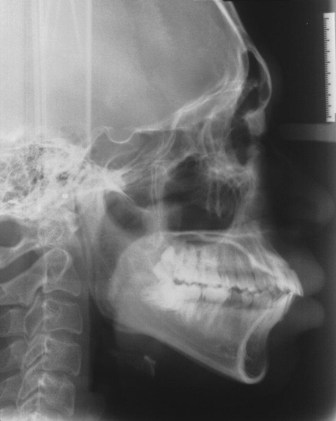
[돌출입] 돌출입
스마일라인치과
Date.
2017-06-13
Hit.
12230
0000000097.jpg [282.11KB]
목록
맨위로