[벌어진치아] 벌어진 치아
스마일라인치과 Date. 2017-05-30 Hit. 11471

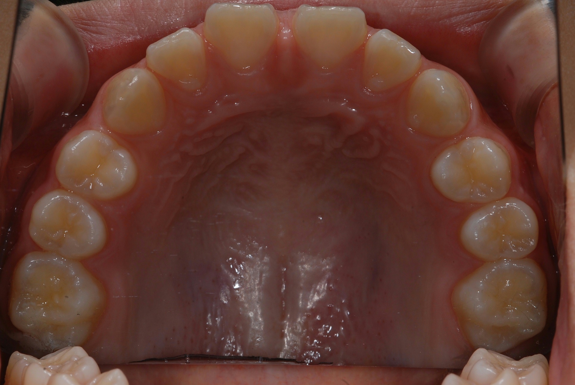
치료 전 사진입니다.

치료 후 사진입니다.

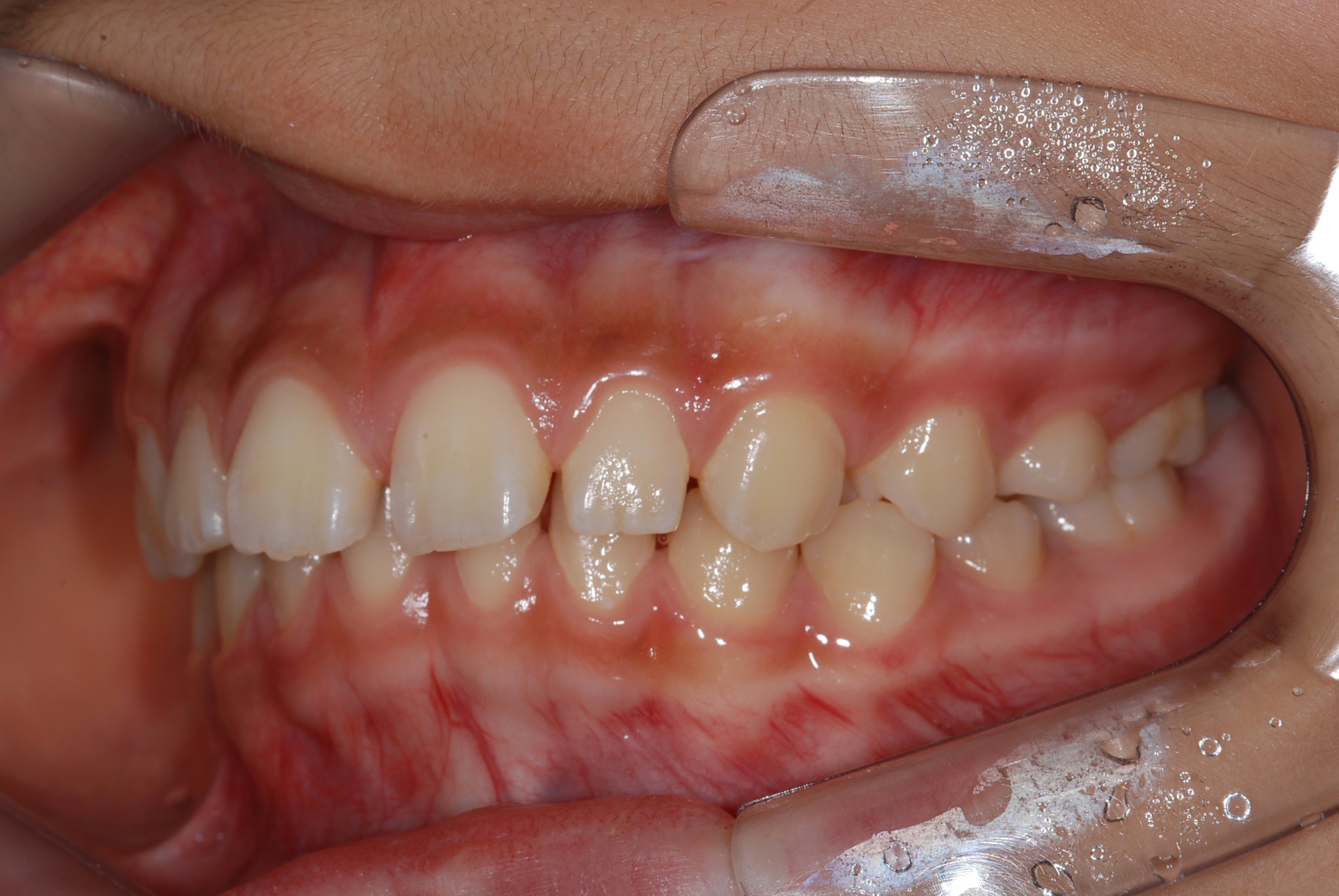
치료 전 사진입니다.

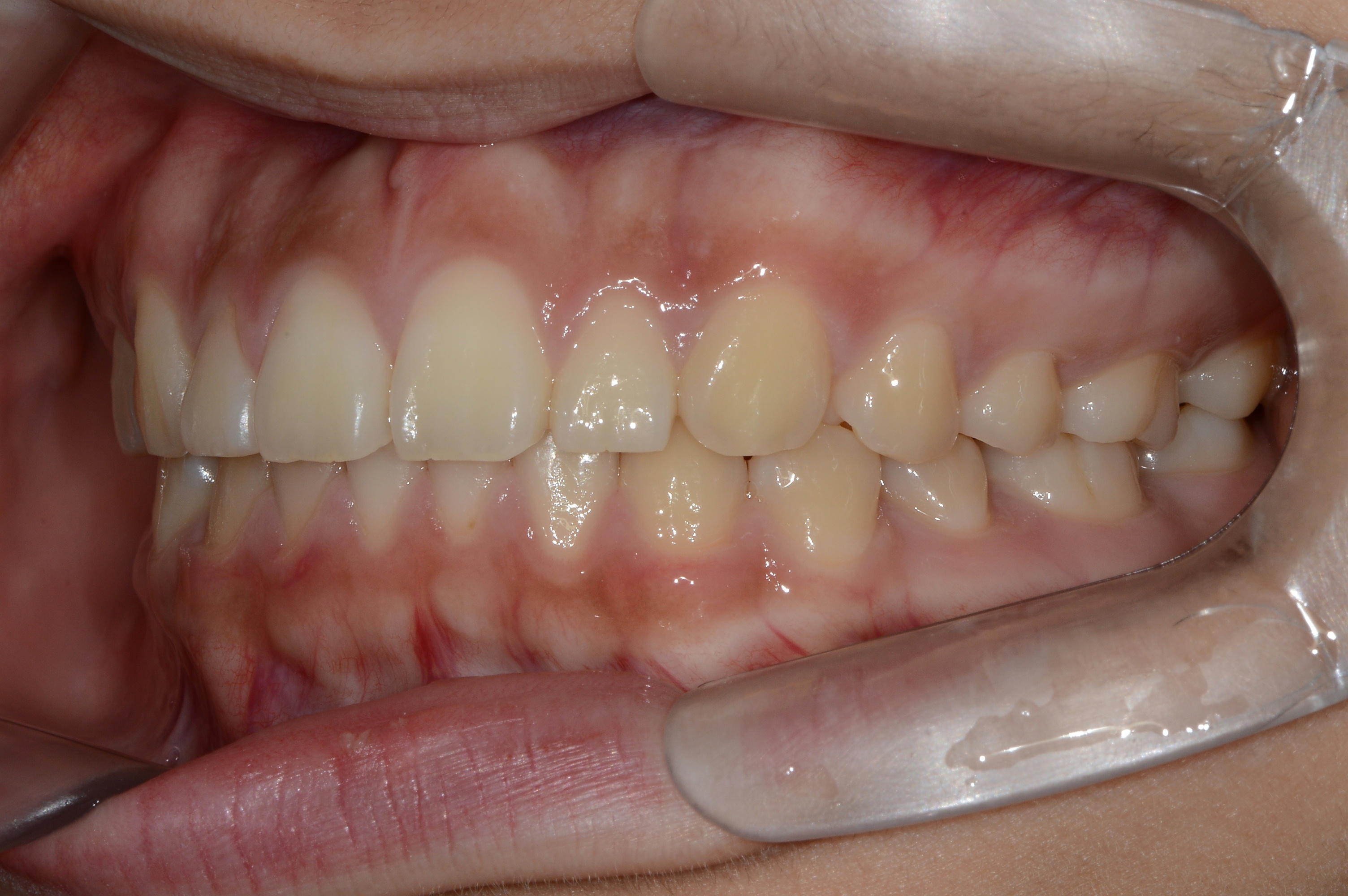
치료 후 사진입니다.

치료 전 사진입니다.

치료 후 사진입니다.