[개방교합] 개방교합,돌출입
스마일라인치과 Date. 2017-02-23 Hit. 11757

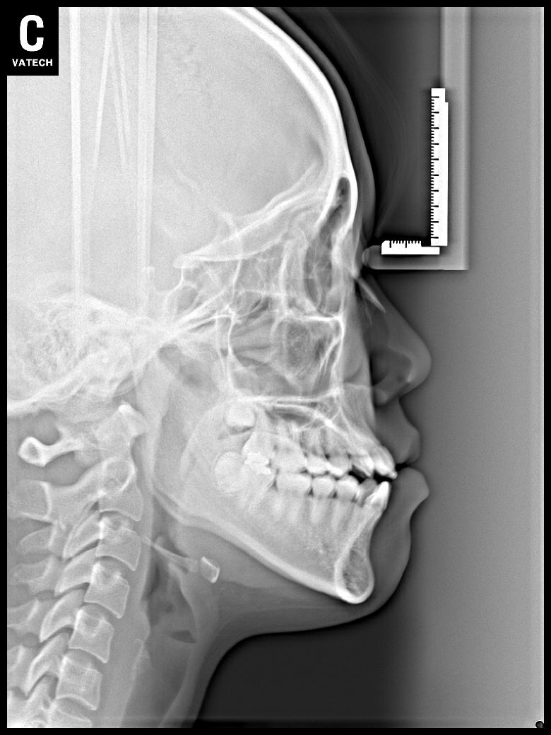
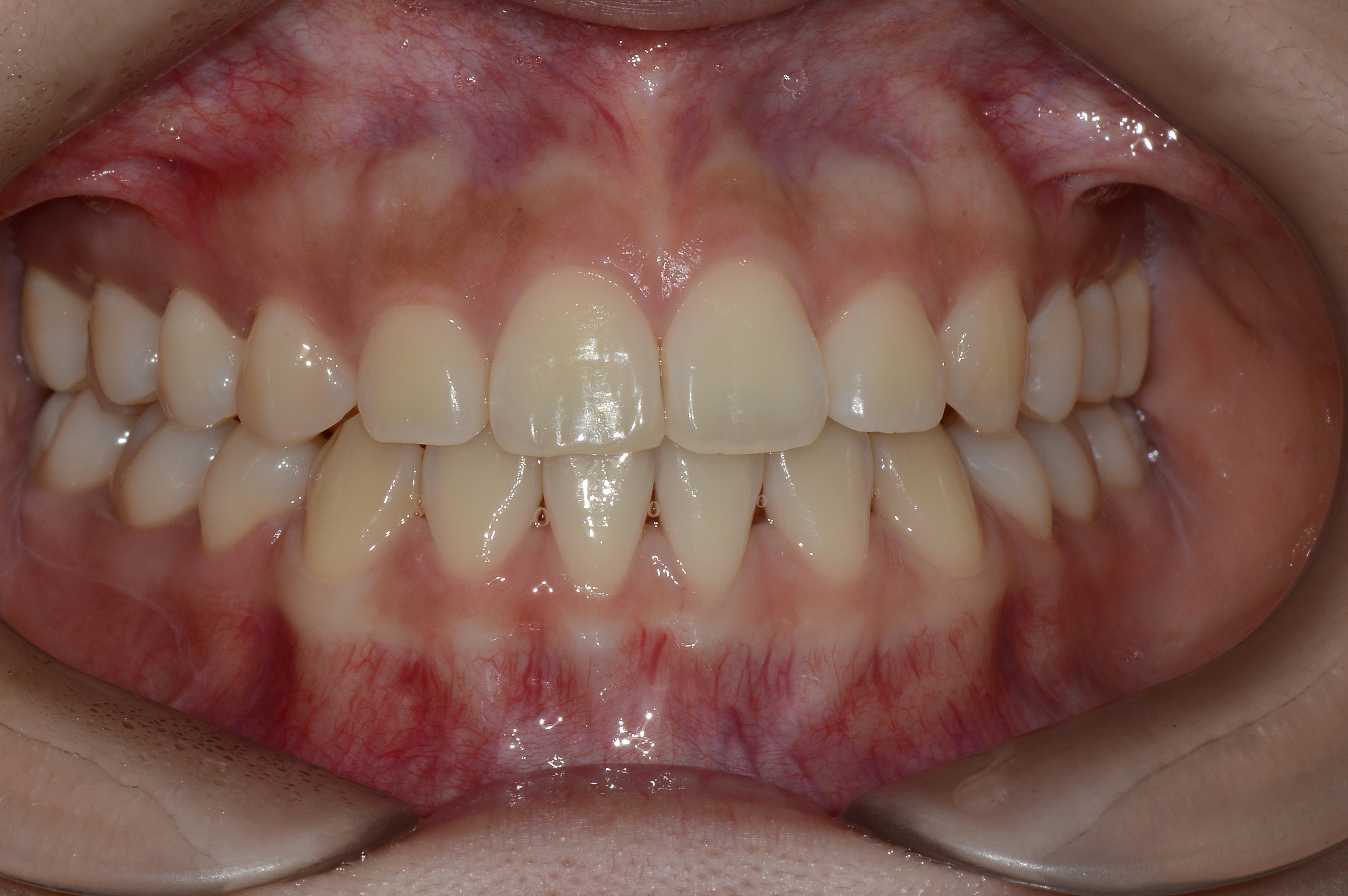
치료 전 사진입니다.

치료 후 사진입니다.

치료 전 사진입니다.

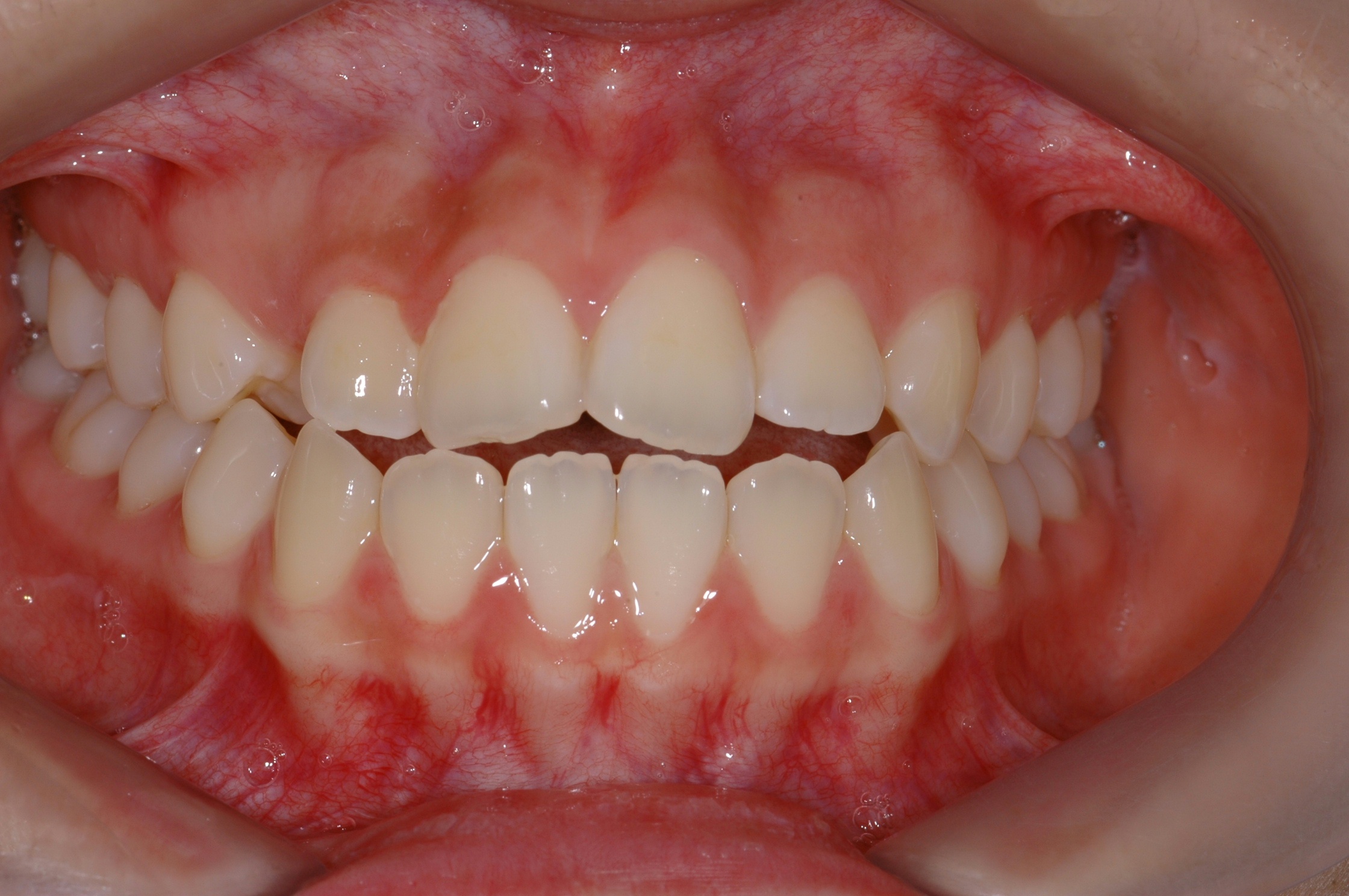
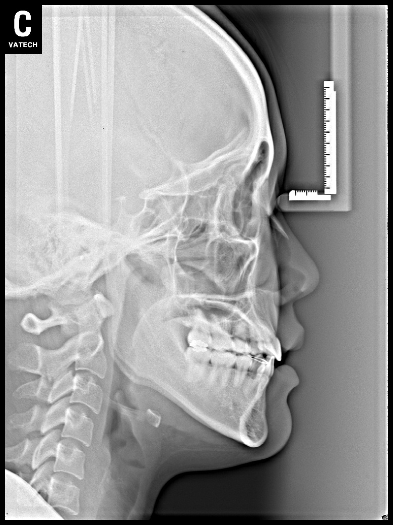
치료 후 사진입니다.

치료 전 사진입니다.

치료 후 사진입니다.