[개방교합] 개방교합,돌출입
스마일라인치과 Date. 2017-01-10 Hit. 11960

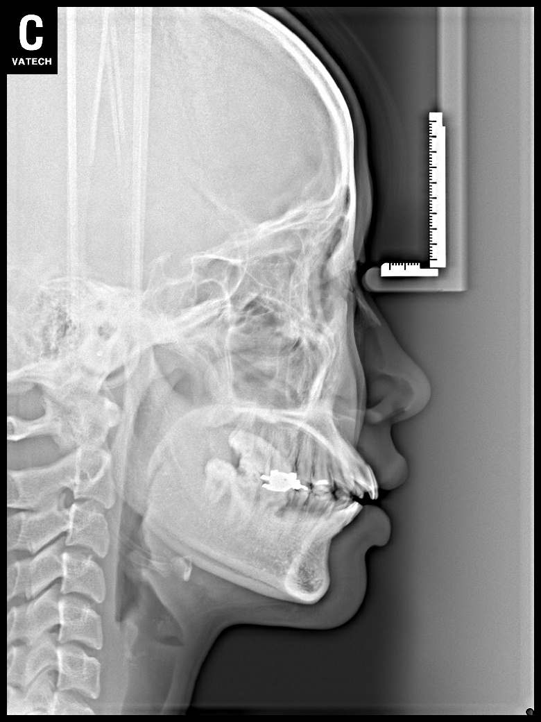
치료 전 사진입니다.

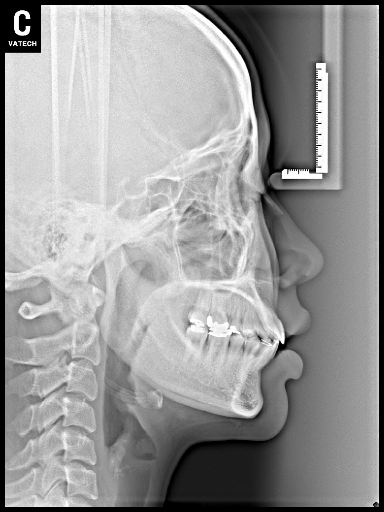
치료 후 사진입니다.

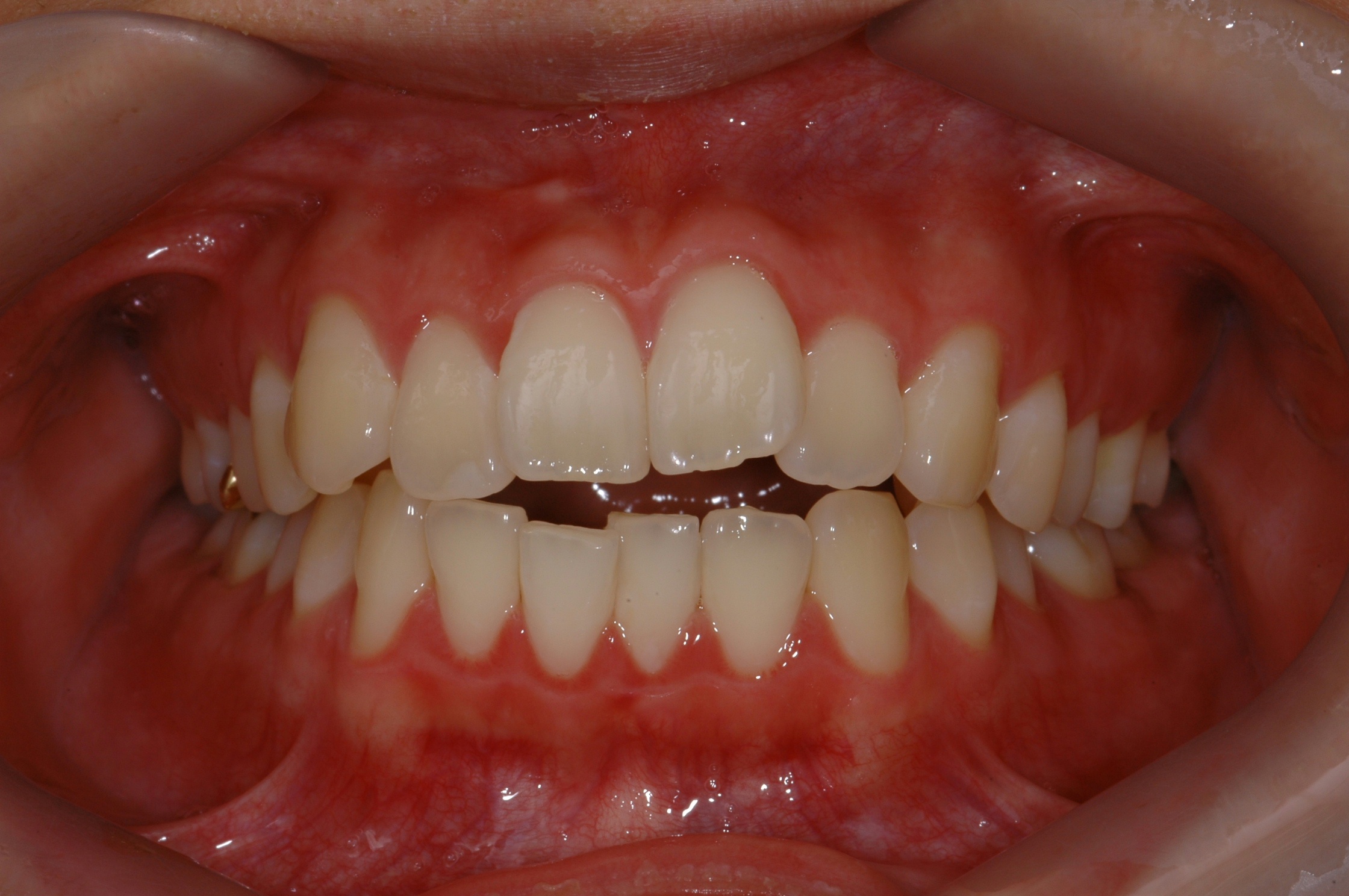
치료 전 사진입니다.

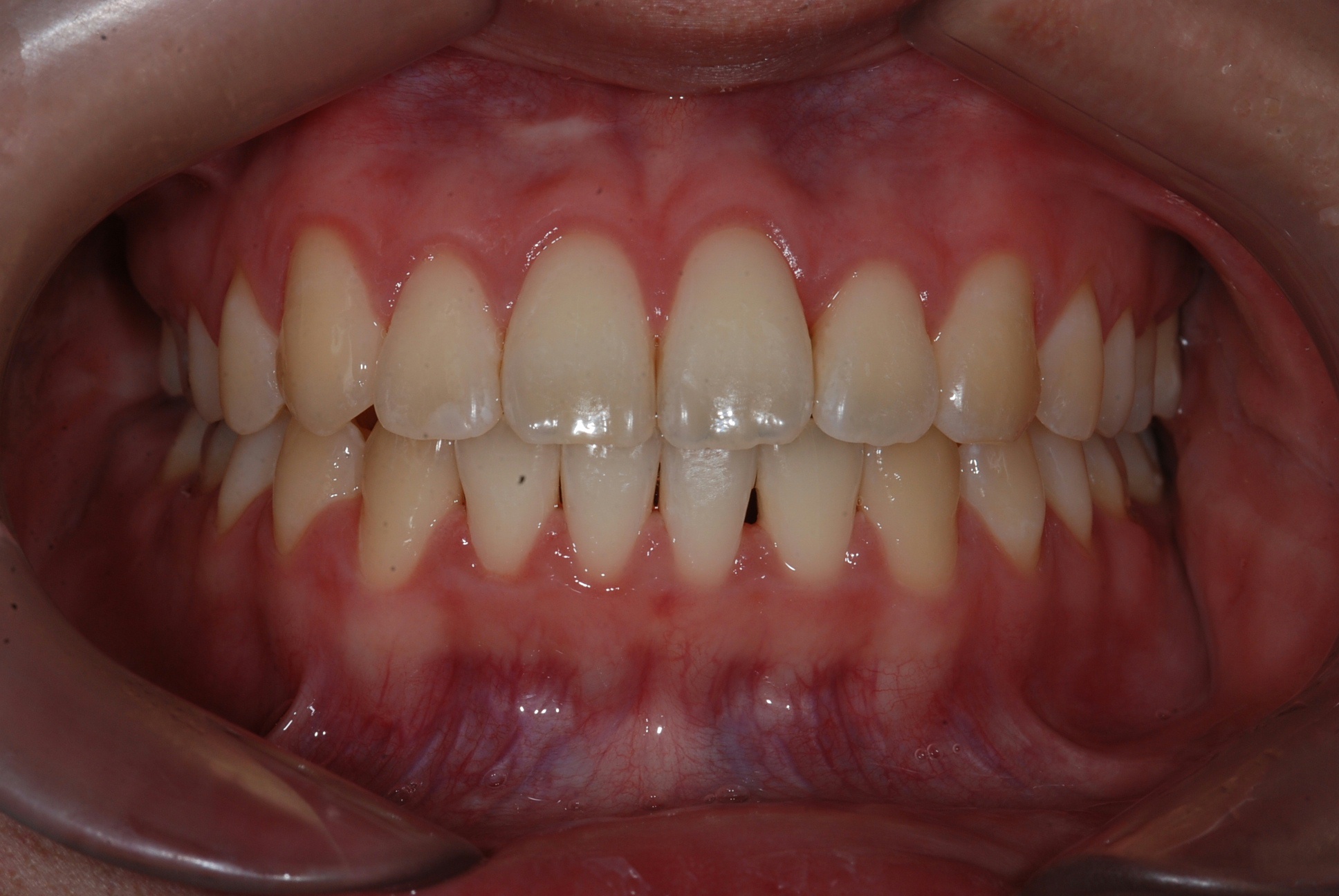
치료 후 사진입니다.

치료 전 사진입니다.

치료 후 사진입니다.