[반대교합/주걱턱] 반대교합,비대칭
스마일라인치과 Date. 2016-12-29 Hit. 12359

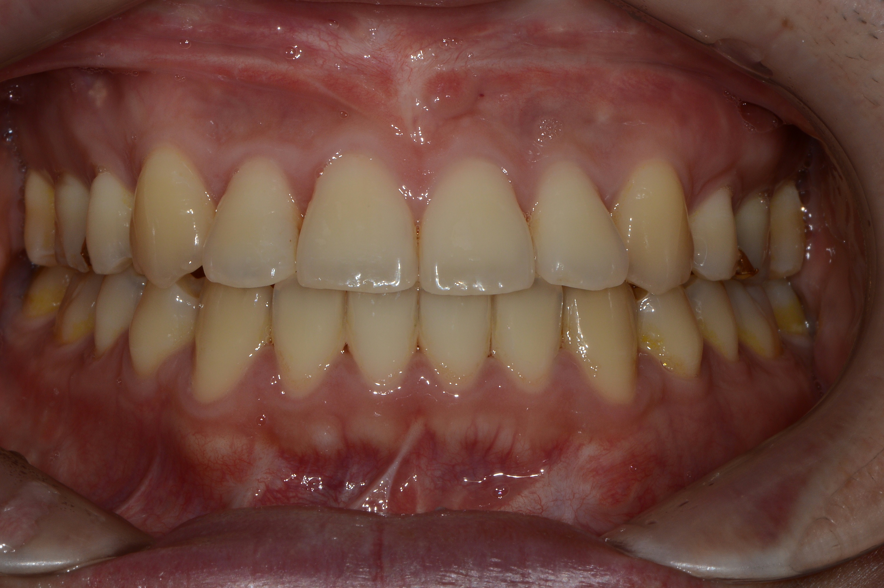
치료 전 사진입니다.

치료 후 사진입니다.

치료 전 사진입니다.

치료 후 사진입니다.

치료 전 사진입니다.

치료 후 사진입니다.