[윗니돌출/합죽이] 윗니돌출
스마일라인치과 Date. 2016-11-29 Hit. 11241

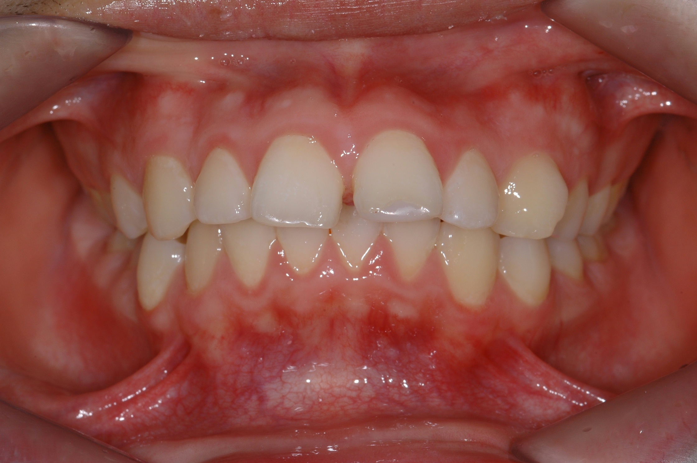
치료 전 사진입니다.

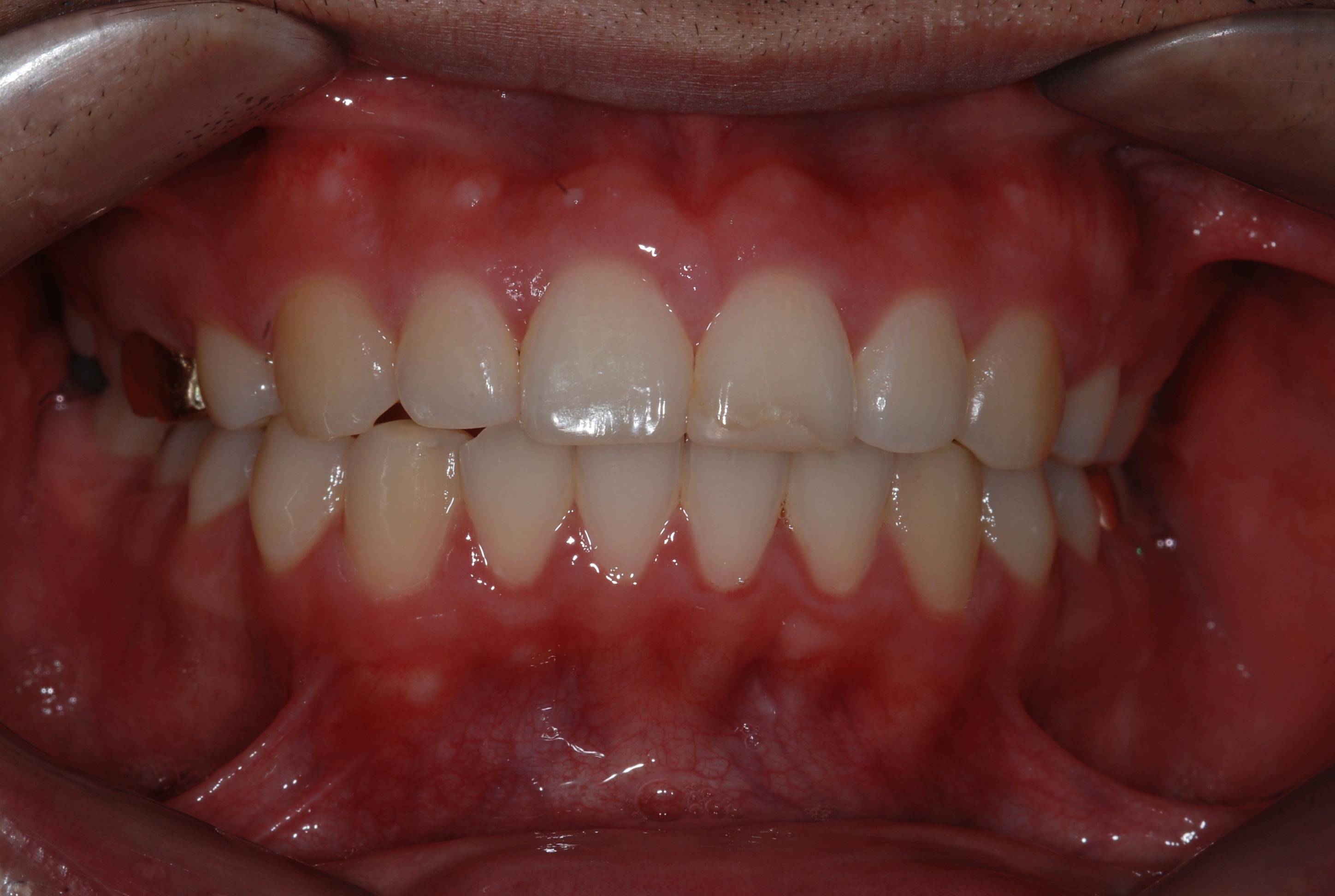
치료 후 사진입니다.

치료 전 사진입니다.

치료 후 사진입니다.

치료 전 사진입니다.

치료 후 사진입니다.