[개방교합] 개방교합
스마일라인치과 Date. 2016-11-02 Hit. 12082

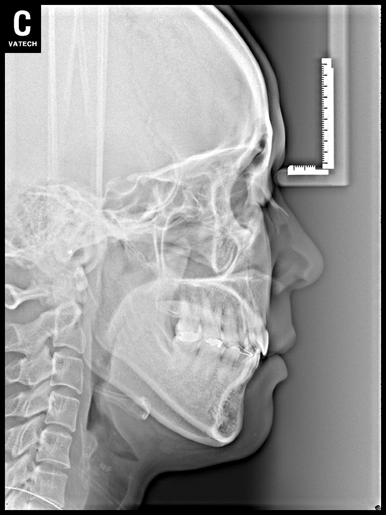
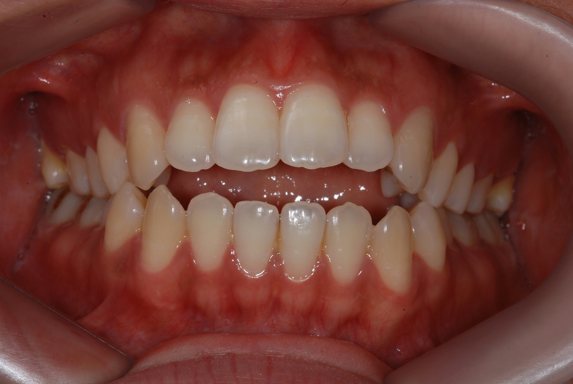
치료 전 사진입니다.

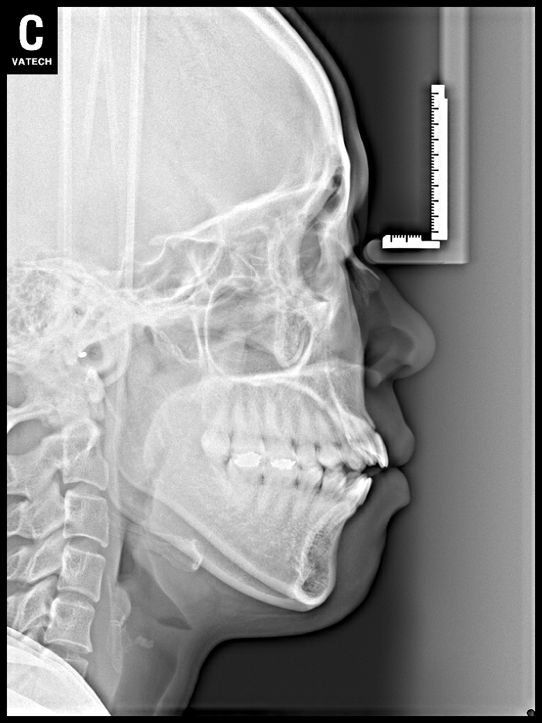
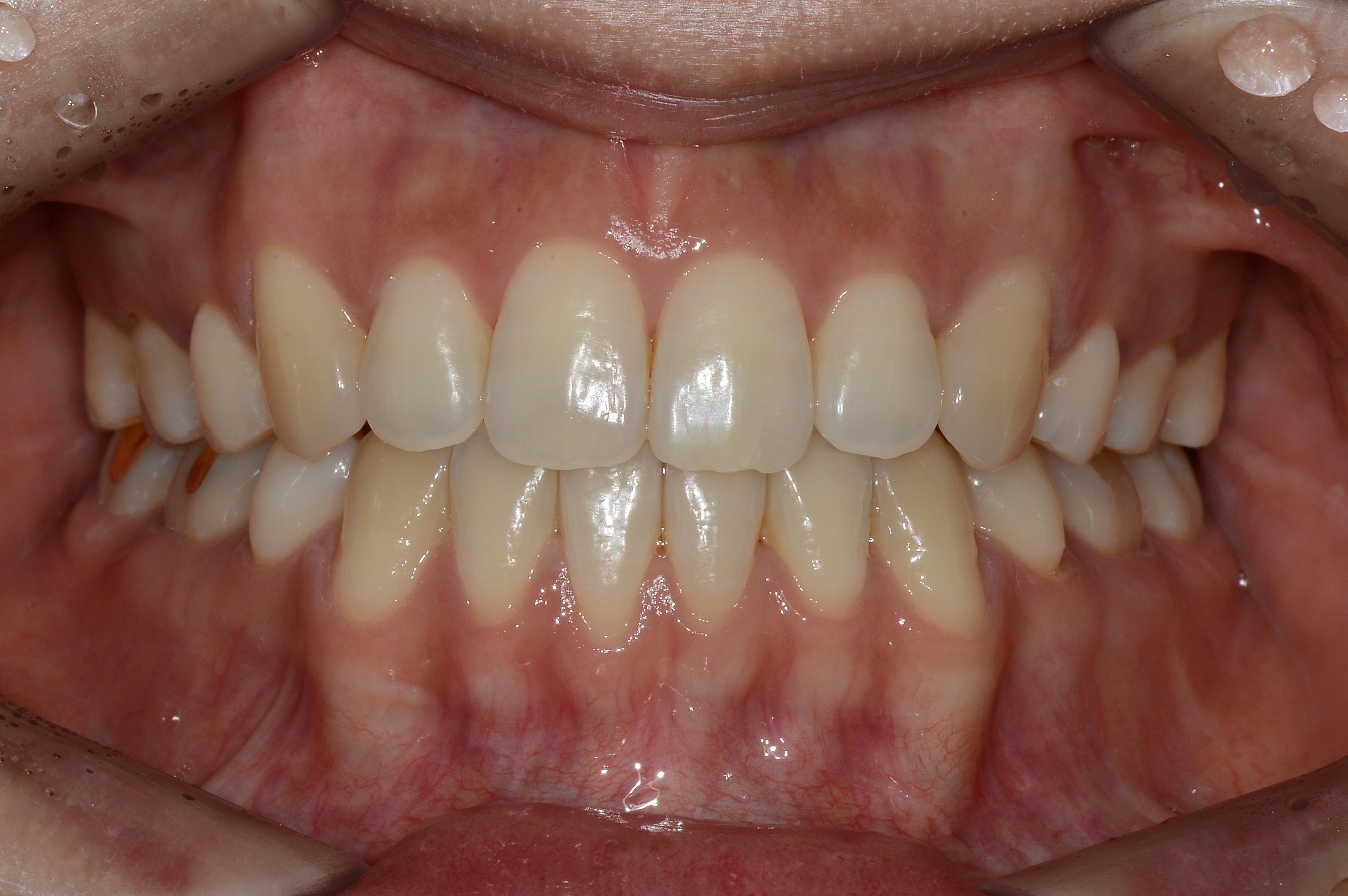
치료 후 사진입니다.

치료 전 사진입니다.

치료 후 사진입니다.

치료 전 사진입니다.

치료 후 사진입니다.