[돌출입] 돌출입
스마일라인치과 Date. 2016-10-10 Hit. 12857

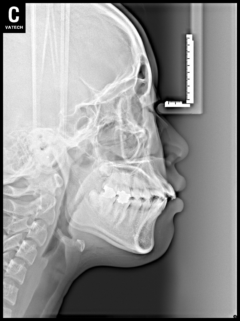
치료 전 사진입니다.

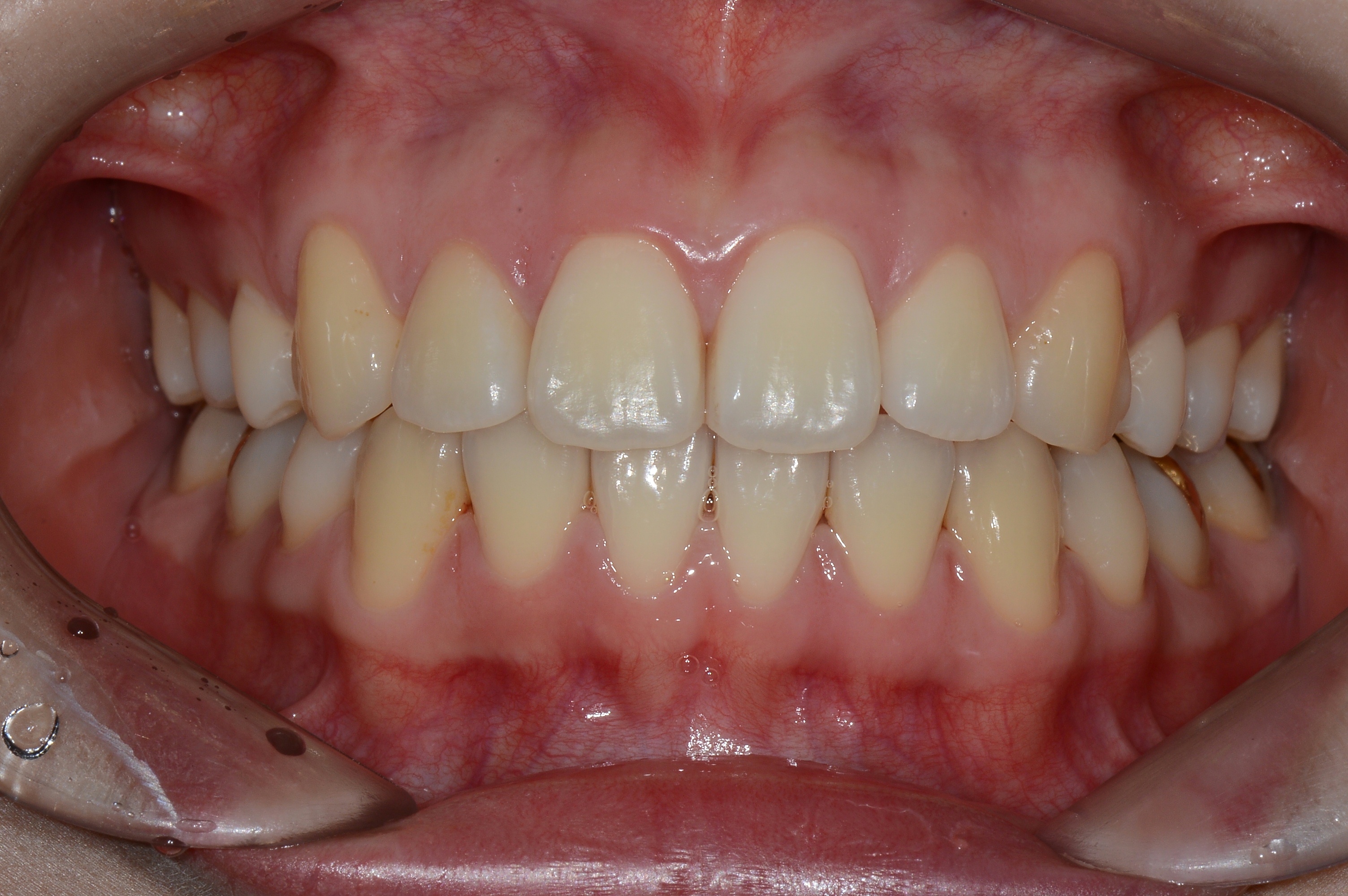
치료 후 사진입니다.

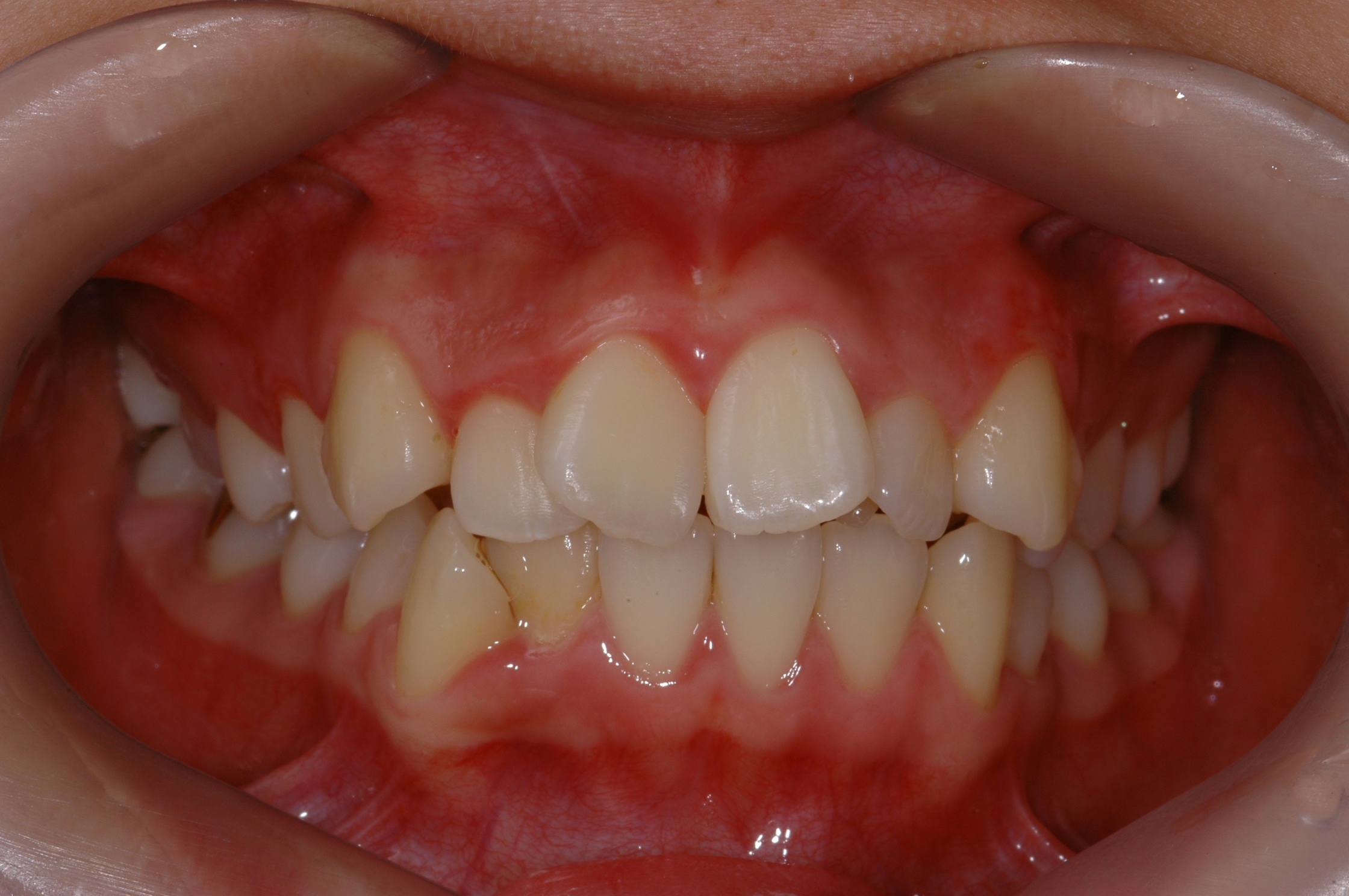
치료 전 사진입니다.

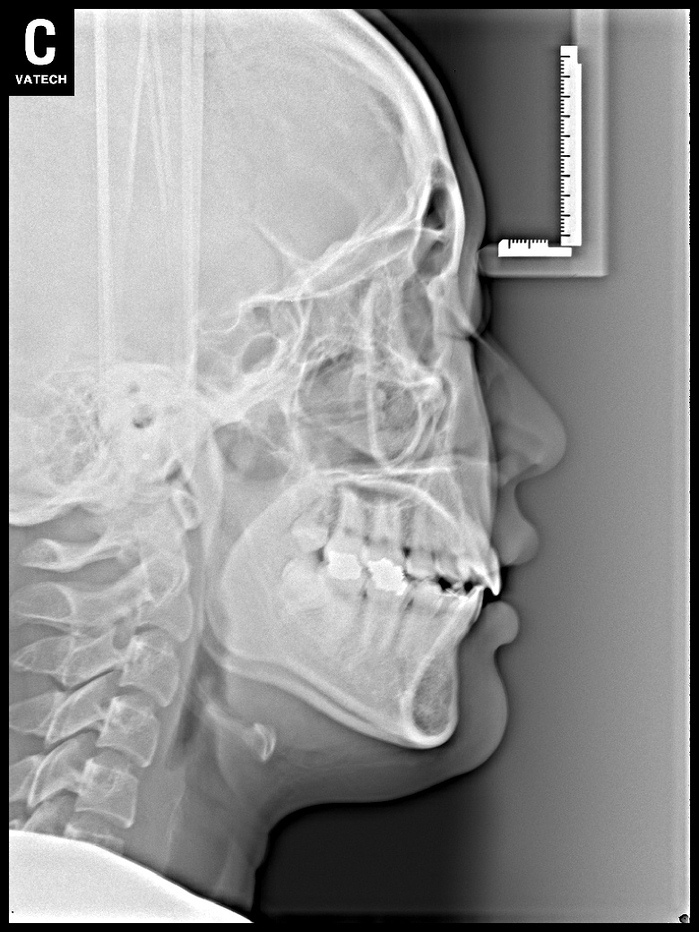
치료 후 사진입니다.

치료 전 사진입니다.

치료 후 사진입니다.