[안면비대칭] 비대칭,반대교합
스마일라인치과 Date. 2016-08-17 Hit. 11599

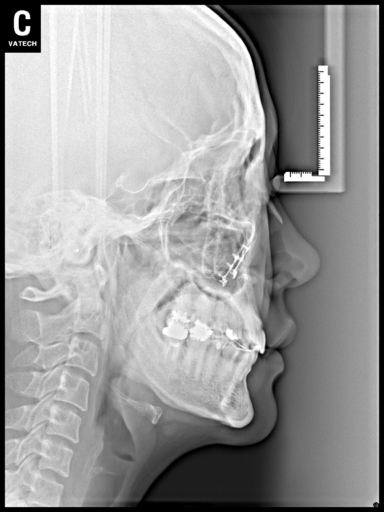
치료 전 사진입니다.

치료 후 사진입니다.

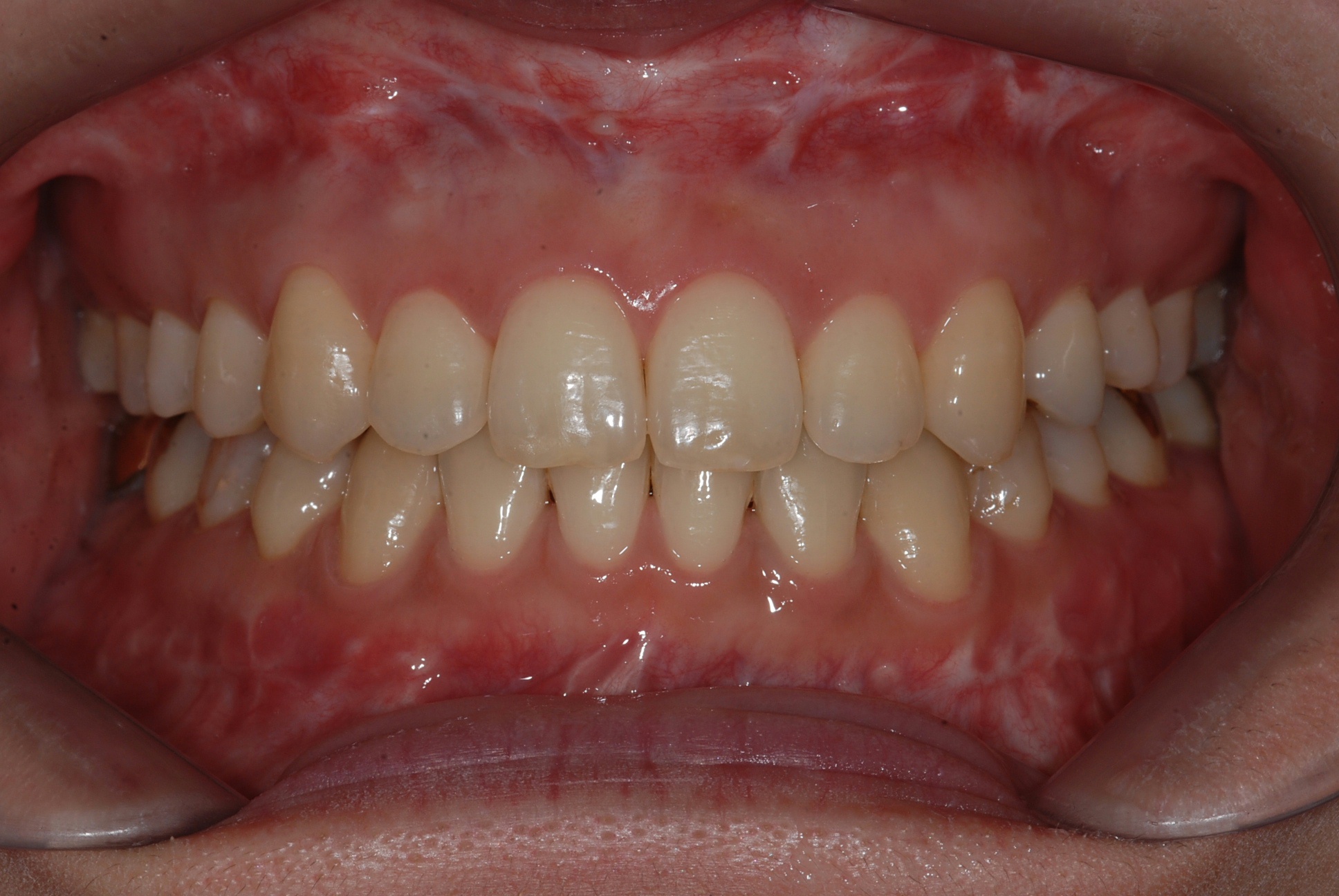
치료 전 사진입니다.

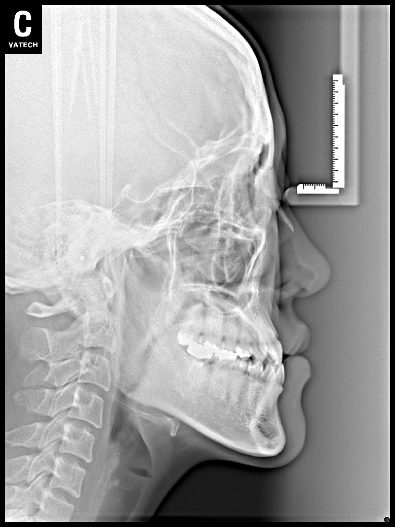
치료 후 사진입니다.

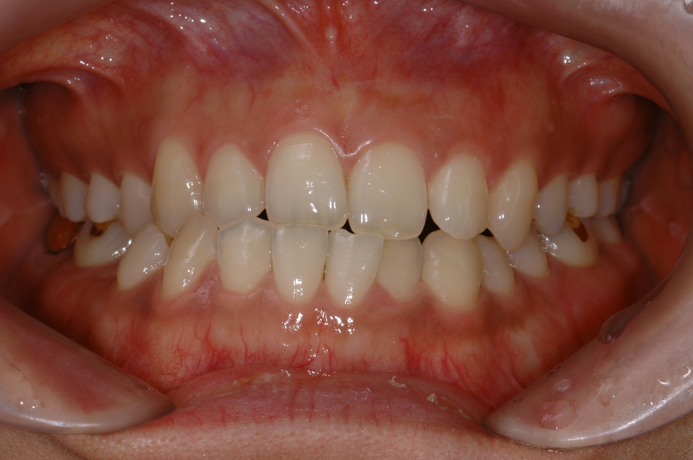
치료 전 사진입니다.

치료 후 사진입니다.